Ответить
|
Re: Клинический разбор пациентки с ложным суставом шейки правой бедренной кости
Alexander Chelnokov 15 Февраль 2016, 01:28
|
Без рентгенограмм какие тут могут быть обсуждения-мнения? Только недоумение может появиться.
|
[
Ответить ]
|
Re: Клинический разбор пациентки с ложным суставом шейки правой бедренной кости
Alexander Konovalov 15 Февраль 2016, 08:43
|
Нет R-грамм - нет проблемы.
|
[
Ответить ]
|
Re: Клинический разбор пациентки с ложным суставом шейки правой бедренной кости
Александр,Киев 15 Февраль 2016, 15:33
|
Конечно без снимков сложно судить о патологии.Но такое укорочение за счет бедра или голени?Детализируйте пожалуйста и представьте снимки, и если имеется ложный сустав то наверное в плане дообследования было бы неплохо добавить КТ.
|
[
Ответить ]
|
Re: Клинический разбор пациентки с ложным суставом шейки правой бедренной кости
Дмитрий Ефремов 15 Февраль 2016, 23:52
|

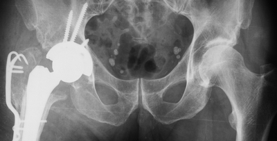
Коллеги прошу прощения, технические неполадки. Вот первый снимок без нагрузки.
КТ конечно было сделано. И вот результаты.
Обзорная рентгенография нижних конечностей.
Функция отведения.
|
[
Ответить ]
|
Re: Клинический разбор пациентки с ложным суставом шейки правой бедренной кости
Отправитель: Alexander Chelnokov 16 Февраль 2016, 13:04
|
Функция отведения.
Это вместе с тазом, так что это "функция" за счет позвоночника.
|
[
Ответить ]
|
Re: Клинический разбор пациентки с ложным суставом шейки правой бедренной кости
Отправитель: Сергей 16 Февраль 2016, 15:04
|
Скажите, а что там с поясничным отделом? Есть боли? Нестабильность?
|
[
Ответить ]
|
|
Re: Клинический разбор пациентки с ложным суставом шейки правой бедренной кости
Николай 16 Февраль 2016, 16:53
|
В данном случае первоначально положить скелетное вытяжение сроком на 4-5 недель (груз постепенно увеличивать), тем самым постараться достичь плавного растяжения мышц. А в последующем эндопротезирование.
|
[
Ответить ]
|
Re: Клинический разбор пациентки с ложным суставом шейки правой бедренной кости
Отправитель: Ниязов Нияз 16 Февраль 2016, 17:49
|
Артродез в данном случае будет сделать не просто, а не то что эндопротез. ИМХО Артродез это вариант возможно нужна будет дистракция бедра на аппарате перед вмешательством, так и неравенство длины вы намного устраните. Есть ещё операциия Шанца по созданию упора. Но вот в плане родов последующих тут вопрос???
Любой эндопротез даже при компьютерной подгонке его на КТ (на какой то конференции видел) не проживет больше 10 лет, а потом что!? Ревизия и замена?! Трибология сегодня к сожалению не так совершенна как хотелось бы.
|
[
Ответить ]
|
|
Re: Клинический разбор пациентки с ложным суставом шейки правой бедренной кости
Николай 16 Февраль 2016, 17:53
|
В данном случае первоначально положить скелетное вытяжение сроком на 4-5 недель (груз постепенно увеличивать), тем самым постараться достичь плавного растяжения мышц. А в последующем эндопротезирование.
|
[
Ответить ]
|
Re: Клинический разбор пациентки с ложным суставом шейки правой бедренной кости
Alexander Artemiev 17 Февраль 2016, 00:45
|
Мне кажется, я знаю, о ком речь...
Неделю назад эта пациентка была у меня на консультации.
Сделал ей КТ.
С удивлением узнала, что перелом в области шейки у неё не сросся, хотя на рентгенограмме тех лет так оно и есть.
Поверила на слово врачам - сказали, что срослось. Слово - лечит:))
КТ - во вложении.
Поскольку основная жалоба на укорочение конечности, то я ей предложил удлинить голень. Величину удлинения обсудили - в пределах 4 см.
Она решила пойти по "большому кругу" в плане консультаций. Думаю, еще где-нибудь всплывет.
Не стал бы называть случай интереснейшим, но не совсем типичный, это да...
Интересна функциональная адаптация - практически полная функция того, что раньше было тазобедренным суставом.
--
С уважением
Александр Артемьев
|
[
Ответить ]
|
Re: Клинический разбор пациентки с ложным суставом шейки правой бедренной кости
Anatoly Lazarev 17 Февраль 2016, 00:55
|
Первично "ревизионное" эндопротезирование в 2 этапа - кепамическая пара трания.
1. вариант аппарат таз-бедро - низведение проксимального бедра до уровня впадины - эндопротез
2. вариант установка бедренного компонента. мобилизация проксимального бедра - постепенное низведении
можно вытяжением можно в аппарате - достаточно 2-х недель - установка бедренного компонента.
Возможны вариации на предложенную тему. Стратегия - восстановление биомеханики сустава за счет эндопротеза.
Пара трения керамика керамика - розовая Biolox
Удачи. ЛАФ.
|
[
Ответить ]
|
Re: Клинический разбор пациентки с ложным суставом шейки правой бедренной кости
Отправитель: Alexander Larionov 17 Февраль 2016, 09:57
|
+ 1 ЛАФ без особых других вариантов.
|
[
Ответить ]
|
|
Re: Клинический разбор пациентки с ложным суставом шейки правой бедренной кости
Виталий 17 Февраль 2016, 12:37
|
АВФ таз-бедро, низведение, эндопротез. Насчёт сохранной функции это преувеличение. Пациентке " повезло" - таз не кривой, впадина хорошая. Но тбс на противоположенной стороне уже начинает рушиться. Оперировать не оттягивая и не ожидая родов. После родов значительно искривится таз и позвоночник и обречен второй сустав. Функция тбс бывает очень хорошая у пациентов с двусторонним врожденным вывихом и подвздошнобедренным неоартрозом, даже гипермобильность, но заметна спец походка и гиперлордо
|
[
Ответить ]
|
Re: Клинический разбор пациентки с ложным суставом шейки правой бедренной кости
Djoldas Kuldjanov 17 Февраль 2016, 23:56
|
Паллиативные реконструктивные операции по созданию опоры (операция Шанца) были популярны до прихода тазобедренных протезов. Подвертельная остеотомия бедренной кости с фиксацией отломков и создание упора в седалищную кость под углом, была визитной карточкой тех, кто занимается методом Илизарова. Но чрезмерный вальгус создавал трудности походки, и больные психологически трудно переносили результат. При наличии безальтернативных протезов, вряд ли молодые больные согласятся на необычную деформацию скелета!
Большинстве предпочитают низведение до нужного уровня в двух этапах, но Рашид Тихилов докладывал протезирование по методу Paavolainen?, где обходили меньшими затратами.
В зависимости от желания метод низведения может быть скелетным или вытяжение аппаратом таз-бедро. Но некоторые коллеги отошли от традиционных методов, удлиняют бедро стержнем! Возможно такая техника подойдет не всем, но как вариант стоит ознакомится с методом, которую доложили коллеги из Германии на последней конференции LLRS (ASAMI) в Майами.
Что сперва установить, ацетабулярный или бедренный компонент, наверное, имеет значение. Для облегчения немецкие коллеги установили ацетабулярный компонент во время установки гвоздя, и под него подвели бедро..
Djoldas Kuldjanov, M.D.
|
[
Ответить ]
|
Re: Клинический разбор пациентки с ложным суставом шейки правой бедренной кости
Anton Kovalenko 19 Февраль 2016, 17:37
|

Возможно лечение в один этап техникой Паавилайнен, остаточное укорочение 2-3 см. В приложении пример лечения ложного сустава с укорочением 6 см
С уважением, Коваленко А.Н.
|
[
Ответить ]
|
Re: Клинический разбор пациентки с ложным суставом шейки правой бедренной кости
Отправитель: Виталий 19 Февраль 2016, 17:49
|
Грубовато и функцию потеряет существенно, а дама молодая...
|
[
Ответить ]
|
Re: Клинический разбор пациентки с ложным суставом шейки правой бедренной кости
Отправитель: Савранский Александр 20 Февраль 2016, 16:11
|
А в чем грубовато? И почему должна быть потеря функции?
|
[
Ответить ]
|
Re: Клинический разбор пациентки с ложным суставом шейки правой бедренной кости
Отправитель: Виталий 20 Февраль 2016, 18:30
|
Очень мало расстояния между вертелами и тазом, чашка вертикализирована, бедро низведено незначительно, это скорее паллиатив - что то между эндопротезированием и артродезом для создания опоры. Объем движений теряется существенно, хотя конкретно в этом случае решение удовлетворительное. Но для молодой женщины не вариант.
|
[
Ответить ]
|
Re: Клинический разбор пациентки с ложным суставом шейки правой бедренной кости
Отправитель: Савранский Александр 20 Февраль 2016, 21:38
|
пожалуй не соглашусь с Вами- если сравнивать снимки до и после операции, то вертел упирался в таз выше впадины, а после- стал ниже впадины на несколько сантиметров, оставшееся укорочение 2-3 см не является значимым, чашка не вертикализирована, а наоборот установлена в более горизонтальной позиции по-видимому в данной ситуации вынужденно для предупреждения вывиха головки. Насчет паллиатива- все-таки эндопротез куда как более функционален по сравнению с артродезом.
|
[
Ответить ]
|
Re: Клинический разбор пациентки с ложным суставом шейки правой бедренной кости
Отправитель: Виталий 20 Февраль 2016, 23:48
|
Насчёт чашки да оговорился, имел в виду что горизонтально стоит. Такое положение само по себе скрадывает движения плюс ещё близость вертелов.
|
[
Ответить ]
|
|
Re: Клинический разбор пациентки с ложным суставом шейки правой бедренной кости
Maxim Agalakov 18 Март 2016, 18:54
|
На мой взгляд, здесь есть ряд вопросов, которые требуют уточнения. Чего хочет сама пациентка и какой ценой? Она собирается рожать детей "вообще", или у нее есть муж? У нее имеется опорная и безболезненная конечность, укорочение ее беспокоит косметически? Мешает познакомиться с мужчинами, заниматься сексом и т.д.? В таком возрасте это важные вопросы. Если пациентка отдает себе отчет о возможных рисках, и готова на них пойти - надо оперировать.
В отношении удлинения голени - я очень против, это мне напоминает пошлый анекдот про удлинение члена путем откусывания ног. Наверное этому есть место, когда на уровне т/б проблему никак не решить.
В этом случае для протезиста с солидным опытом - это не проблема космического масштаба. Можно "стянуть" аппаратом (есть тонкости в компоновке), к сожалению, это часто приводит к гетеротопической оссификации (2 из 3-х), так не делаем лет 6-7. Можно выполнять различные варианты остеотомий, нам больше нравится подвертельная. анатомическое укорочение бедра больная даже не почувствует, напротив, ей будет казаться, что нога длиннее здоровой (за 20 лет сформировались определенные стереотипы). Остеотомия, на мой взгляд, хороший компромисс между желаемой анатомией и функцией.
|
[
Ответить ]
|
( Ответить )
|