AOTRAUMA.ORG Центр Илизарова  

Ортопедия и травматология Общие вопросы/General questions Help Информационные технологии в медицине
 вверх
 отправить
 поиск
 админ
 главная


эхинококкоз
Ортопедия и травматология Отправлено Нагмет Мурсалов 16 Февраль 2016, 15:07
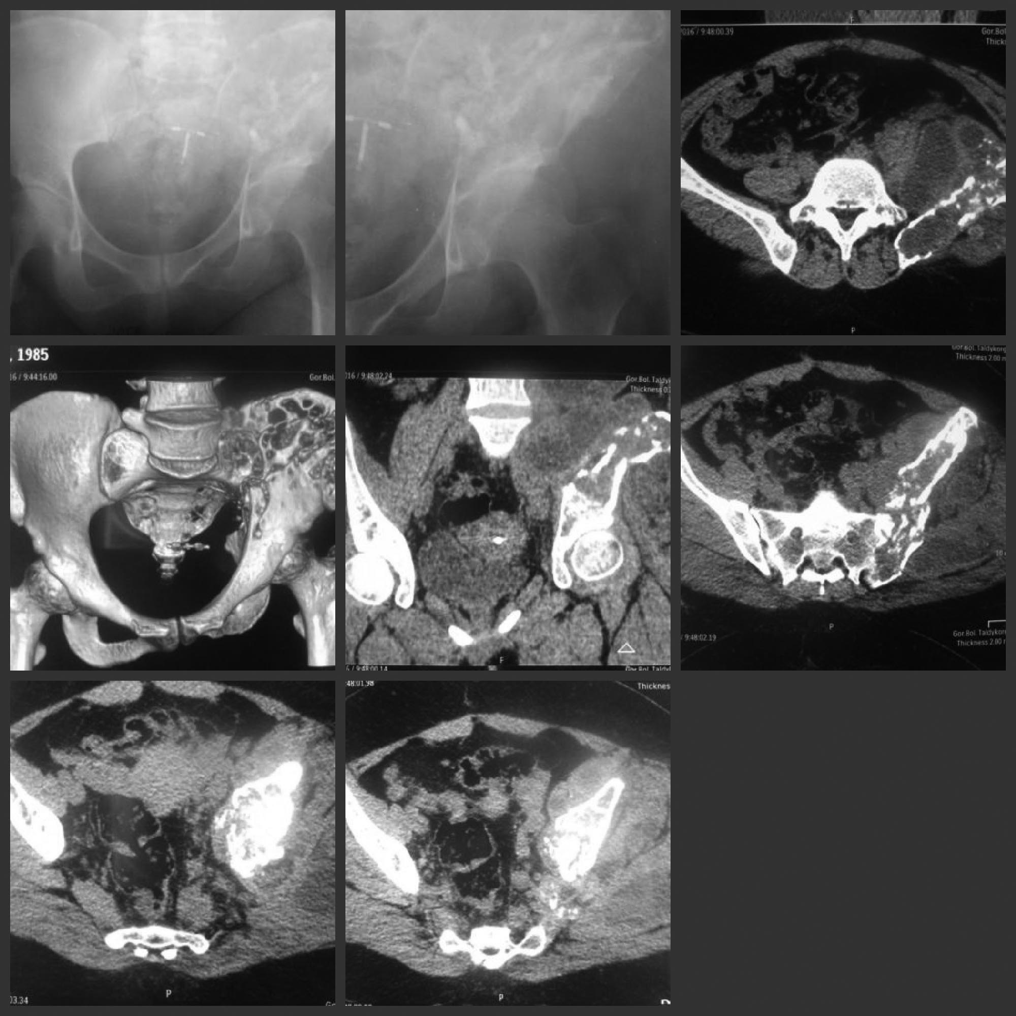
Здравствуйте. Нужна помощь в лечении эхинококкоза костей таза, 5 поясничного позвонка, левого бедра.
Больная 31 г. Жалуется на боли в области таза, хромоту.
Из анамнеза: Больным себя считает в течении 6 лет, когда появилась боль в поясничной и ягодичной областях. В 2013 году перенесла операцию по поводу эхинококкоза печени, забрюшинного пространства. В 2014 году иссекали эхинококковую кисту с прямой мышцы бедра слева. В данное время беспокоит боль в области таза слева.
Локально: при ходьбе пользуется тростью, хромает на левую ногу. При пальпации в поясничной, ягодичной областях, по передней поверхности левого бедра имеются плотные образования, не спаянные с подлежащими тканями; безболезненны.
Рентгенограмму и КТ-таза прилагаю.
Гистология: в препарате стенки кист, состоящие из хитиновых оболочек.
ИФА: IgG эхинококкоз положителен.
Что можем сделать?

<  |  >

 

  • Сообщения о Ортопедия и травматология
  • Также Нагмет Мурсалов
  • Связаться с автором
  • Ответить

    Re: эхинококкоз
    Дедок Михаил 16 Февраль 2016, 20:04
    Оно, конечно, напрашивается на операцию, но площадь поражения велика. Если рожала, то может облучение? Если нет, тот стандарный путь, с вскрытием кист, обработка спиртом и остеопластика доступнымитметодами.
    [ Ответить ]

    Re: эхинококкоз
    Нагмет 16 Февраль 2016, 23:23
    Да, рожала. Имеет двух детей.
    [ Ответить ]

    Re: эхинококкоз
    Королев Максим 17 Февраль 2016, 17:23
    В моей практике был аналогичный случай, пошли на операцию вместе с хирургами(у них побольше опыта в данной патологии), удалили эхиннококовые кисты, только полости надо обрабатывать не спиртом, а формалином концентрированным. И самое главное, это хирурги подскажут, надо самым тщательным образом обложить раны салфетками, вплоть до простынями, чтоб ни малейшего обсеменения раны не было. Эхиноккоковые кисты очень ранимы и при их вскрытии выделяется огромное число их мелких паразитов. Если не дай попадут дальше в рану лечить и оперировать будите до второго пришествия.
    [ Ответить ]

    • Re: эхинококкоз
      Отправитель: Дедок 17 Февраль 2016, 21:13
      А вот я и о том же. Гамма тарапию бы... Все сдохнет и все. Но это моя мысль.. Надо погуглить...

      [ Ответить ]
      • Re: эхинококкоз
        Отправитель: Дедок 17 Февраль 2016, 21:23
        А нашёл. Вот, например. http://www.sciencedirect.com/science/article/pii/S1201971215000090
        Но как то .....

        [ Ответить ]
    Re: эхинококкоз
    Зельский Илья Александрович 19 Февраль 2016, 15:28
    Уважаемый Нагмет! не могли бы Вы скинуть побольше КТ изображений, или вообще архив dicom (мне на почту) - патология редкая, выглядит костный экинококкоз совсем не так, как висцеральный и это очень важно в плане дифференциальной диагностики со злокачественными опухолями, для обучения врачей лучевой диагностики.
    Заранее признателен, Зельский И.А., врач рентгенолог Уральского института травматологии и ортопедии им.Чаклина
    [ Ответить ]


    ( Ответить )

    Powered by Zope  Squishdot Powered MedLink
    Посетитель: 0000059
      "По форме правильно, а по существу - издевательство" В.И.Ленин
    ©2001-2019Orthoforum Coordinator.
    [ Главная | Отправить сообщение | Поиск | Админ ]