вверх
отправить
поиск
админ
главная
|
Застарелый вывих полулунной кости |
 |
 |
 |
Отправлено Фарид 21 Февраль 2016, 19:05 Канашский ММЦ
Поступил пациент В, 49 лет. С жалобами: на ограничение движение в правом лучезапястном суставе, на жжение в пальцах правой кисти в ночное время. Анамнез: получил травму 25.12.2015 г. лечили амбулаторно перелом лучевой кости, наложена гипсовая лонгета. После снятие гипса легча не стало. Амбулаторные снимки прилагаются. Выполнили КТ DS: признаки вывиха полулунной кости, срастающийся перелом лучевой кости дистального эпифиза, трехгранной кости. Нужна помощь в тактике лечения.
<
|
>
|
|
Ответить
|
Re: Застарелый вывих полулунной кости
Скребцов Владимир 22 Февраль 2016, 14:30
|
Мы бы поступили так: Дистракция в АВФ, затем открытое вправление. АВФ оставить на 4 недели как иммобилизацию и с целью предотвратить гиперпрессию
|
[
Ответить ]
|
Re: Застарелый вывих полулунной кости
Отправитель: Фарид 25 Февраль 2016, 19:53
|
Каким доступом? Вы осуществили бы вправление?
|
[
Ответить ]
|
|
Re: Застарелый вывих полулунной кости
Бережной Сергей 22 Февраль 2016, 16:15
|
По этому единственному снимку больше на вывих ладьевидной похоже. Одного снимка маловато.
|
[
Ответить ]
|
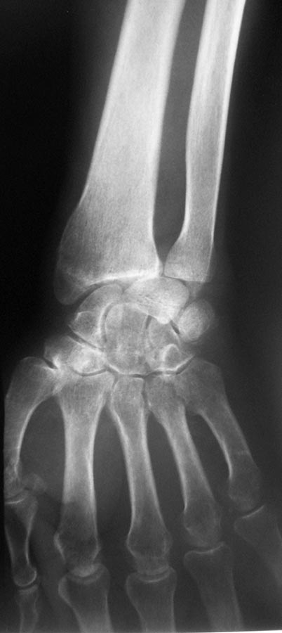
Re: Застарелый вывих полулунной кости
Фарид 24 Февраль 2016, 09:47
|

Извиняюсь, вот от 20.02.2016 снимки.
|
[
Ответить ]
|
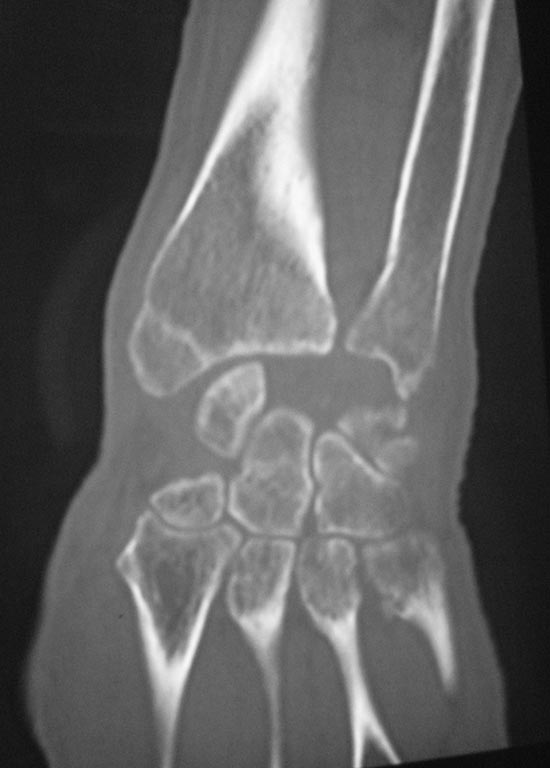
Re: Застарелый вывих полулунной кости
Отправитель: Фарид 24 Февраль 2016, 09:56
|

Вот КТ
|
[
Ответить ]
|
|
Re: Застарелый вывих полулунной кости
Сергей 25 Февраль 2016, 00:33
|
Открытое вправление вывиха полулунной кости (тыльный доступ, почистить деликатно все рубцы), аппарат я бы не применял (даже дистрактор не нужен), еще не столь велик срок.... и фиксация спицами. Ну и конечно же гипсовая повязка на 6 недель с дальнейшей деликатной разарботкой движений.
|
[
Ответить ]
|
Re: Застарелый вывих полулунной кости
Шихалева Наталья 03 Март 2016, 14:30
|
Всем доброго времени суток!
Позвольте выразить свое мнение.
Данный пациент сложный. Помимо имеющегося застарелого ладонного вывиха полулунной кости, консолидирующегося внутрисуставного перелома эпифиза лучевой кости, уже сейчас имеется нейропатия срединного нерва. В связи с этим лечение данного пациента откладывать нельзя.
В нашем отделении РНЦ «ВТО» им. Илизарова в данных случаях мы бы на первом этапе произвели закрытый остеосинтез аппаратом Илизарова предплечья и кисти, при этом необходимо так провести спицы, чтобы дальше не растянуть межзапястные суставы. Далее идет дистракция, в течение которой проводим нейротропную терапию и контролируем состояние срединного нерва (жалобы на чувствительность, боль, можно УЗИ). Скорость дистракции вариабельна, но это уже другая история.
После получения диастаза с запасом выполняем открытое вправление. У данного пациента я бы это сделала с ладонной поверхности, причем в условиях растяжения лучезапястного сустава. Плюс одновременно ревизия срединного нерва, при необходимости - рассечение связки карпального канала. Возможен также двусторонний доступ. Разрез с тыла обоснован необходимостью удаления рубцов на месте полулунной и выполнением пластики связок.
Далее – продолжаем фиксацию в аппарате еще 4-5 недель. Потом - физио- и ЛФК реабилитация.
Примерно так.
|
[
Ответить ]
|
Re: Застарелый вывих полулунной кости
Отправитель: SAGo 03 Март 2016, 20:37
|
Если позволите, то несолько ремарок.
...в данных случаях мы бы на первом этапе произвели закрытый остеосинтез аппаратом Илизарова предплечья и кисти..
- Я,наверное, не очень понимаю слово "остеосинтез". Какие кости в данном случае надо синтезировать?
Далее идет дистракция, в течение которой проводим нейротропную терапию и контролируем состояние срединного нерва
- Что такое "нейротропная терапия" при симптоматическом синдроме канала запястья? Она вообще-то кем-нибудь рекомендуется?
при необходимости - рассечение связки карпального канала.
- Что это за анатомическое образование - "связка карпального канала"?
Разрез с тыла обоснован необходимостью удаления рубцов на месте полулунной и выполнением пластики связок.
- Насколько я понял, то Вы выполняете пластику ладьевидно-полулунной связки. По какой методике?
Далее – продолжаем фиксацию в аппарате еще 4-5 недель.
- Фиксация только аппаратом? За счет чего, особенно в застарелых случаях, удерживается на месте полулунная кость? И почему такие небольшие сроки фиксации?
|
[
Ответить ]
|
Re: Застарелый вывих полулунной кости
Отправитель: Игорь Атманский 08 Март 2016, 14:40
|
Деловито! SAGo, а Вы книжки не пробовали писать?
|
[
Ответить ]
|
Re: Застарелый вывих полулунной кости
Отправитель: Alexander Chelnokov 08 Март 2016, 14:44
|
?
Вполне резонные вопросы коллега задал.
|
[
Ответить ]
|
Re: Застарелый вывих полулунной кости
Отправитель: SAGo 08 Март 2016, 19:05
|
Буду очень благодарен, если Вы ответите на все мои вопросы. Сможете? А вопросы ведь абсолютно не праздные. С уважением.
|
[
Ответить ]
|
Re: Застарелый вывих полулунной кости
Отправитель: Сергей 08 Март 2016, 22:26
|
При устранение вывиха буквально сразу уходит симптоматика срединного нерва!!! Зачем ладонный доступ??? Классического тыльного доступа вполне хватит!!! Фиксация спицами и поверх иммобилизация гипсовой или пластиковой повязки вполне хватит.. 8 недель и грамотная разработка!!
|
[
Ответить ]
|
Re: Застарелый вывих полулунной кости
Отправитель: SAGo 08 Март 2016, 23:26
|
Да, если синдром канала запястья - симптоматический, как в данном случае, то надо убирать причину компрессии, то есть устранять вывих полулунной кости. Тогда вполне возможно, что и клиника компрессии нерва регрессирует самопроизвольно.
Да, лучше начинать в застарелых случаях с тыльного доступа, чтобы убрать рубцы. Если не удается вправить через тыл, то осуществляется вариант с ладонным доступом. Я бы предварительно все же растянул сустав с помощью аппарата-"рамки": легче будет вправлять.
Да, очень сомнительно,что полулунная кость удержится только аппаратом. Спица надежнее.
Да, я бы тоже сохранил иммобилизацию на 6-8 недель.
|
[
Ответить ]
|
|
Re: Застарелый вывих полулунной кости
Пильников Сергей 31 Март 2016, 00:49
|
Коллеги, пожалуйста, покажите, где на снимке вывих полулунной кости. Я фиксирую 1 спицей, на 6 нелель, после открытого вправления. По букварю, необходима дистракция перед вправлением.
|
[
Ответить ]
|
Re: Застарелый вывих полулунной кости
Пильников Сергей 31 Март 2016, 01:17
|
Жжение в паьцах кисти. "синдром карпального канала???".
|
[
Ответить ]
|
Re: Застарелый вывих полулунной кости
Пильников Сергей 31 Март 2016, 01:29
|
Мое мнение: травматологический диагноз-здоров.
|
[
Ответить ]
|
( Ответить )
|
|