вверх
отправить
поиск
админ
главная
|
Отправлено Михаил 28 Февраль 2016, 18:55
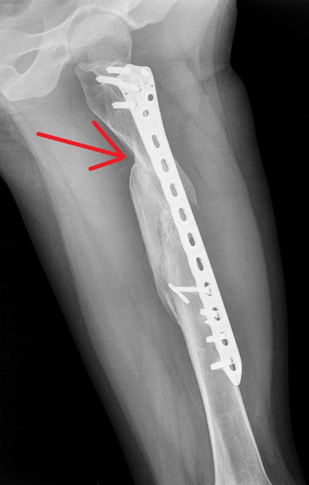
Доброго времени суток, уважаемые коллеги!Просим помощи. Пациентка 24 г. Травма 2 года назад, операция- малоинвазивный остеосинтез бедренной мыщелковой пластиной. В настоящий момент пациентка намерена удалить пластину (мешает). Смущает участок, отмеченный стрелкой- выдержит ли полную нагрузку. Стоит ли удалять пластину? Спасибо!
<
|
>
|
|
Ответить
|
Re: Удаление пластины
Михаил 02 Март 2016, 20:14
|

Еще прямая проекция
|
[
Ответить ]
|
Re: Удаление пластины
Отправитель: Дедок 02 Март 2016, 22:33
|
Выдержит, если не толстуха. Если есть сомнения на костылики её на месячишко с дозированной нагрузкой. К вопросу о дискуссии про свёрла: их тоже планируете убрать :) ? Или на память?
|
[
Ответить ]
|
Re: Удаление пластины
Отправитель: Иван 02 Март 2016, 23:16
|
Не могли бы уточнить каким образом "мешает" пластина пациентке.
|
[
Ответить ]
|
|
Re: Удаление пластины
Михаил 03 Март 2016, 00:29
|
Насчет сверел- если технически будет возможно- уберем. Мешает (скорее психологически) проксимальная часть пластины, хотя при приведении конечности-отчетливо контурируется под кожей вместе с вертелом (пациентка далеко не толстая).
|
[
Ответить ]
|
Re: Удаление пластины
Paul 03 Март 2016, 09:21
|
Не без участия врачей пластина с угловой стабильностью сделала своё дело. Учитывая геометрию полученного сращения склоняюсь к предположению, что пластина до сих пор участвует в распределении векторов силы действующих на кость. В связи с этим имеются два предложения:
1. Не удалять пластину.
2. Удалить с аутокостной пластикой (по Бруну или т.п.), в послеоперационном периоде (по возможности) бондаж или шарнирный аппарат или жесткие ограничения в использовании конечности (костыли. ограниченный объём движений...) на 2 мес с рентгенконтролем
|
[
Ответить ]
|
Re: Удаление пластины
Юрий Ряполов 03 Март 2016, 10:16
|
Удалить можно. Раз есть сомнения, то постепенное увеличение нагрузки. Пациентке такую схему стоит рассказать, что бы она приняла окончательное решение.
|
[
Ответить ]
|
Re: Удаление пластины
Djoldas Kuldjanov, M.D. 04 Март 2016, 21:05
|
Обычно, глубоко расположенные имплантаты не удаляются, но выступающие или раздражающие мягкие ткани являются исключением. Наличие пластины как распорки мешает репаративному процессу, а без пластины увеличивается шанс на восстановление бедра до оригинального диаметра!
Главным критерием для удаления пластины является вес и процесс вовлечения диафиза бедра! На рентгенограмме контур мягких тканей не говорит об избыточном весе, и вовлечение поперечнике диафиза на самом тонком месте, где указано стрелкой, не превышает 40%. Это цифра принята для расчета нужды в дополнительной фиксации при вовлечении диафиза в патологический процесс. Если имеется дефект диафиза больше, чем 40% диаметра кортекса, тогда рекомендуется профилактическая фиксация, гвоздем или пластиной!
При отсутствии интрамедуллярной техники применена идеальная-перкутанная техника, но сломанные сверла или прокрученные винты говорят о технических трудностях во время первичной операции. Поэтому во время удаления надо проявить осторожность, потому что "сюрпризы" могут привести к новым осложнениям!
Набор для удаления сломанных винтов облегчит работу по удалению“cold welded” винтов или сломанных сверл. http://www.injuryjournal.com/article/S0020-1383(10)00854-5/abstract
Кстати, у молодых твердость кости отличается, и не всегда требуется блокирующая техника. Любая блокирующая пластина имеет возможности применения двух вариантов, блокирующих или обычных винтов. Можно было применить обычную технику, хотя бы в дистальном отделе!
При удалении можно применить перкутанную технику, а стресс тест под ЭОП поможет определить нужду в фиксации. Если имеется слабость в диафизе, тогда менее агрессивная пластина 3.5 мм сделает профилактику, которую не надо удалять и даст возможность нагружать с первого дня!
|
[
Ответить ]
|
Re: Удаление пластины
Василий Бузин 20 Март 2016, 01:04
|
Всем привет! Что и как в голове у пациентке вам видней по поводу ее желания удалить пластину, а по R-граммам пластину удалить можно вокруг винтов проксимального отломка имеется резобция а значит она уже ходит на сросшемся переломе!
|
[
Ответить ]
|
( Ответить )
|
|