AOTRAUMA.ORG Центр Илизарова  

Ортопедия и травматология Общие вопросы/General questions Help Информационные технологии в медицине
 вверх
 отправить
 поиск
 админ
 главная


Тяжелая травма конечностей.
Ортопедия и травматология Отправлено Артем 05 Март 2016, 13:45
Уважаемые коллеги! Поступила пациентка после получения травмы в результате столкновения с препятствием.
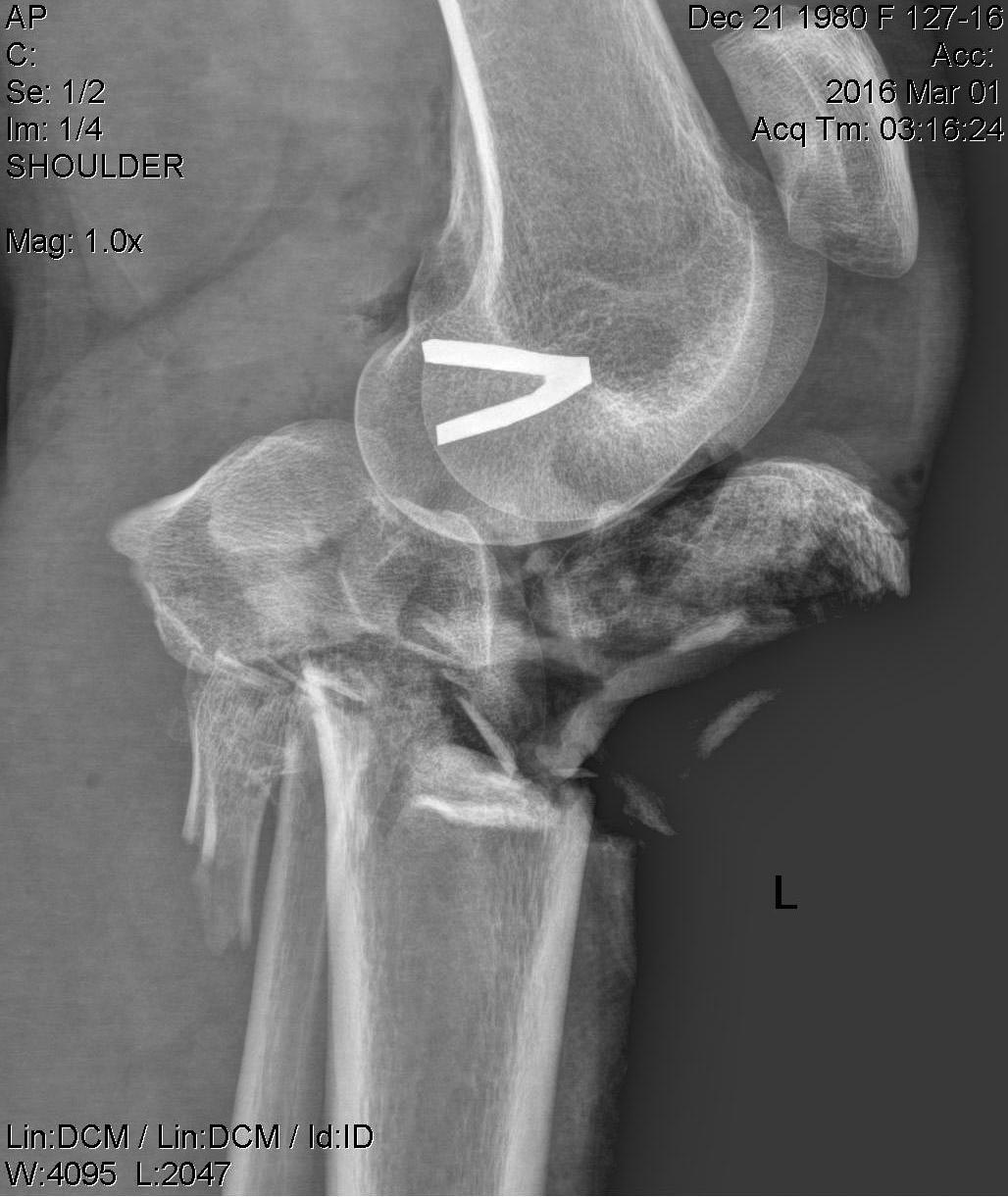
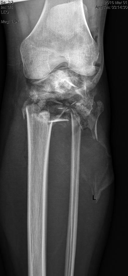
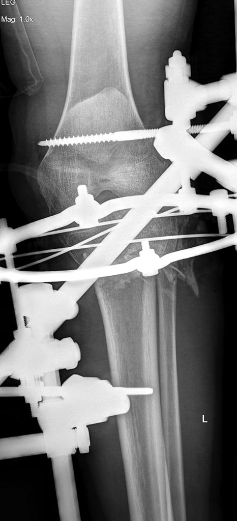
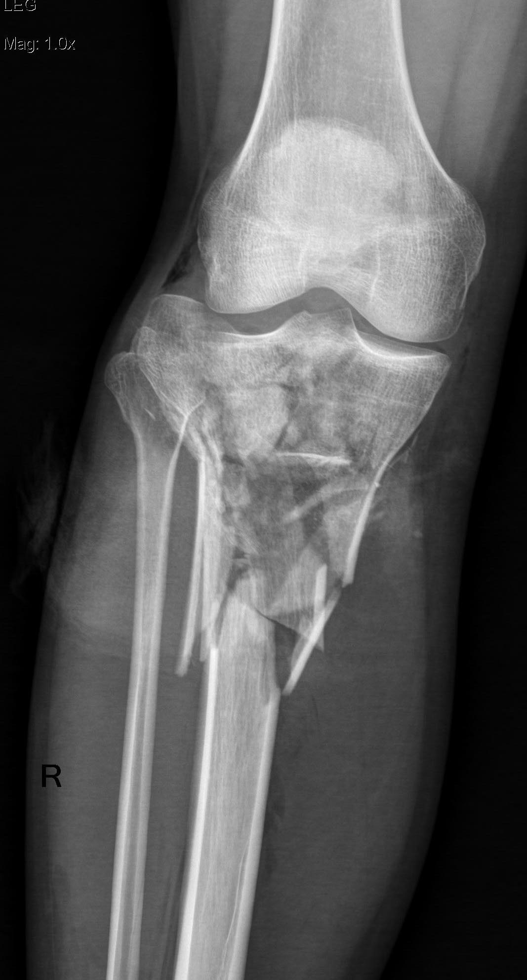
Имеется: Закрытый перелом диафиза левой локтевой кости. Закрытый оскольчатый перелом диафиза левой бедренной кости в средней трети. Открытые (3a-b) оскольчатые внутрисуставные переломы проксимального отдела обеих костей правой и левой голени. (см. снимки)
При поступлении выполнено: ПХО открытых перелом костей правой и левой голени, фиксация в аппаратах; фиксация перелома левой бедренной кости в аппарате; иммобилизация левого предплечья лонгетой.
Планируем: при неосложненном заживлении, остеосинтез правой большеберцовой кости пластиной; остеосинтез бедренной кости стержнем; локтевой кости пластиной.
Что делать с переломами костей левой голени пока не решили окончательно. Пока мнение коллег такое: оставить все как есть до заживления /консолидации и ортопедические проблемы с коленным суставом и укорочением (3-4 см) решать в отдаленном периоде – эндопротезирование (?).
Каково будет мнение участников форума? Спасибо!

<  |  >

 

  • Сообщения о Ортопедия и травматология
  • Также Артем
  • Связаться с автором
  • Ответить

    Re: Тяжелая травма конечностей.
    Виталий 05 Март 2016, 20:45
    А сколько лет пациентке и в каком состоянии левая голень? Может быть учитывая рентген картину, открытые переломы и множественную травму целесообразней ампутировать?
    [ Ответить ]

    • Re: Тяжелая травма конечностей.
      Отправитель: Артем 05 Март 2016, 22:37
      Пациентка - молодая женщина. В настоящее время показаний к ампутации нет. Слева сразу после травмы было снижение кровотока (видимо ангиоспазм, или сдавление отломками). Сейчас кровоснабжение конечности не нарушено, неврологических нарушений нет, даже малоберцовый нерв не пострадал.

      [ Ответить ]
      • Re: Тяжелая травма конечностей.
        Отправитель: Виталий 06 Март 2016, 01:44
        Учитывая совокупность, тяжесть травмы наличие множественных открытых переломов пациентка если и выживет, то функция левой нижней конечности ниже коленного сустава, даже если не будет инфекционных осложнений (учитывая общую слабость организма) и ожидания сращения этого перелома около года, все равно не будет удовлетворительной, после ампутации и больше вероятность выживания и функционально с протезом может в перспективе неплохо адаптироваться. Хотя если есть уверенность что выживет и вынесет то можно постараться сохранить с перспективой на онкологический протез.

        [ Ответить ]
    Re: Тяжелая травма конечностей.
    Бережной Сергей 05 Март 2016, 23:15
    Главное не вселять в пациентку несбыточных ожиданий. Ожидания должны быть реалистичными. Скорее - пессимистичными. Получится сохранить какую-то функцию - хорошо. Нет - тяжесть травмы. И постараться растянуть в аппарате, чтобы не было укорочения.
    [ Ответить ]

    Re: Тяжелая травма конечностей.
    Григорьев Максим 06 Март 2016, 08:49
    Добрый день. Пришлите фото конечности и описание неврологических нарушений. При отсутствии чувствительности на стопах.Можно думать об ампутации. Если она сохранена мы бы поступили так: стержневой аппарат Кст, ExFix. Первичный и вторичный дебриджмент, с промыванием раны 10_15 литрами растворов, потом в зависимости от загрязнения раны Вак повязка и пластика мышечным лоскутом из икроножной мышцы, или синтез пластиной, пластика икроножной мышцей с аутодерпластикой расщепленным кожным перфорированным трансплантатом, и Вак на него. Противогангренозная сыворотка и 3 антибиотики в послеоперационном периоде
    [ Ответить ]

    Re: Тяжелая травма конечностей.
    Григорьев Максим 06 Март 2016, 08:49
    Добрый день. Пришлите фото конечности и описание неврологических нарушений. При отсутствии чувствительности на стопах.Можно думать об ампутации. Если она сохранена мы бы поступили так: стержневой аппарат Кст, ExFix. Первичный и вторичный дебриджмент, с промыванием раны 10_15 литрами растворов, потом в зависимости от загрязнения раны Вак повязка и пластика мышечным лоскутом из икроножной мышцы, или синтез пластиной, пластика икроножной мышцей с аутодерпластикой расщепленным кожным перфорированным трансплантатом, и Вак на него. Противогангренозная сыворотка и 3 антибиотики в послеоперационном периоде
    [ Ответить ]

    Re: Тяжелая травма конечностей.
    Григорьев Максим 06 Март 2016, 09:00
    Да забыл нюанс: все оставшиеся-костные полости заполняем бусами с антибиотиками. Но главное правильно оценить неврологический статус. "Слепую" ногу все равно предется ампутировать.
    С уважением 32ЦВМКГ

    [ Ответить ]

    Re: Тяжелая травма конечностей.
    alexandr erokhin 07 Март 2016, 12:42
    Вы и ваши коллеги всё сами знаете. Хотите слово поддержки- получите,согласен-)
    [ Ответить ]

    Re: Тяжелая травма конечностей.
    Николай 08 Март 2016, 09:43
    Лечение АВФ. Но сделать максимально возможную дистракцию для компенсирования данного укорочения, а также это позволит более-менее вывести данные осколки в нужное положение. Ну и дальше до полной консолидации.
    [ Ответить ]


    ( Ответить )

    Powered by Zope  Squishdot Powered MedLink
    Посетитель: 0390047
      "По форме правильно, а по существу - издевательство" В.И.Ленин
    ©2001-2019Orthoforum Coordinator.
    [ Главная | Отправить сообщение | Поиск | Админ ]