Ответить
|
Re: Перелом (ложный сустав?) ладьедидной кости правой кисти
Бетерев Антон 20 Март 2016, 13:18
|
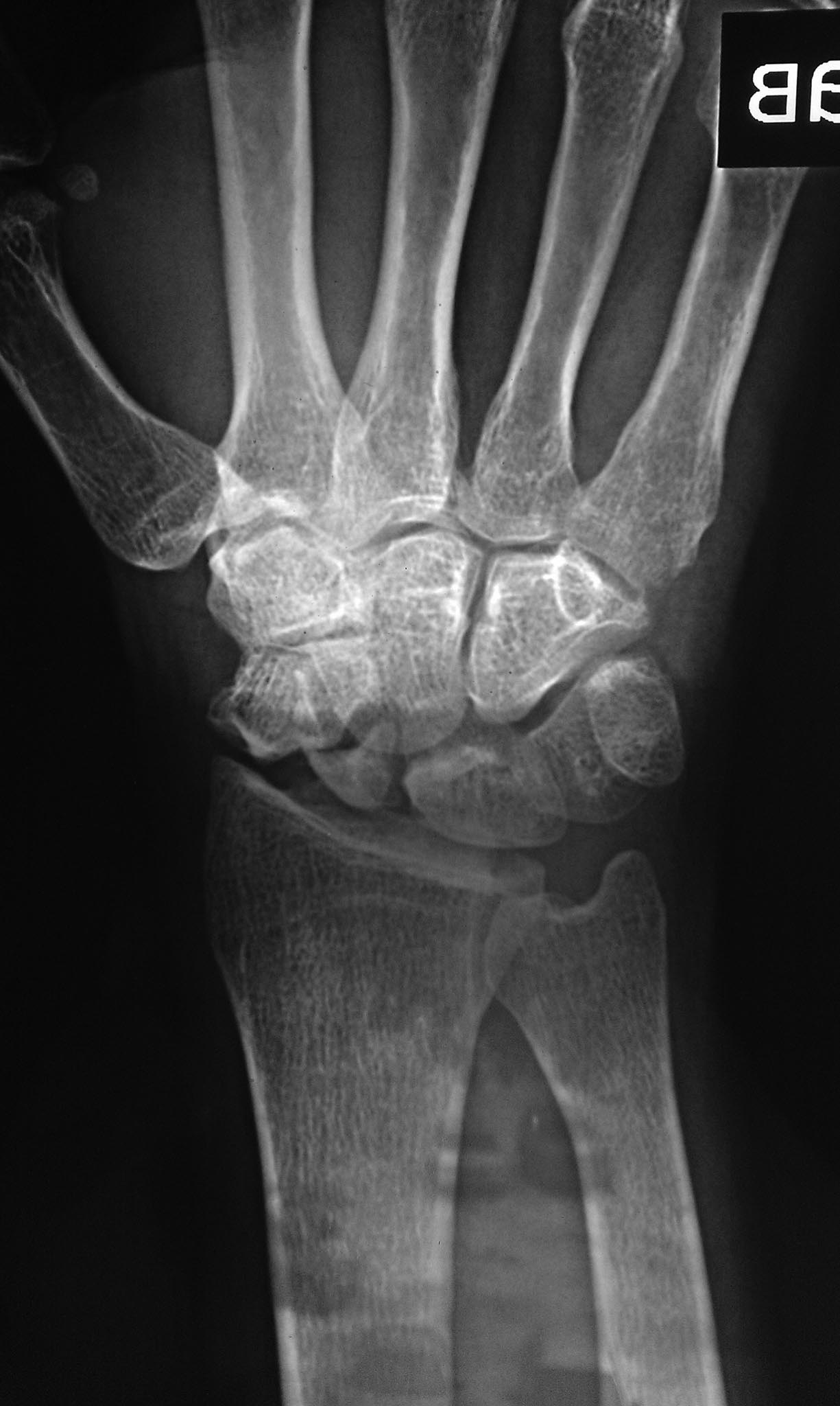
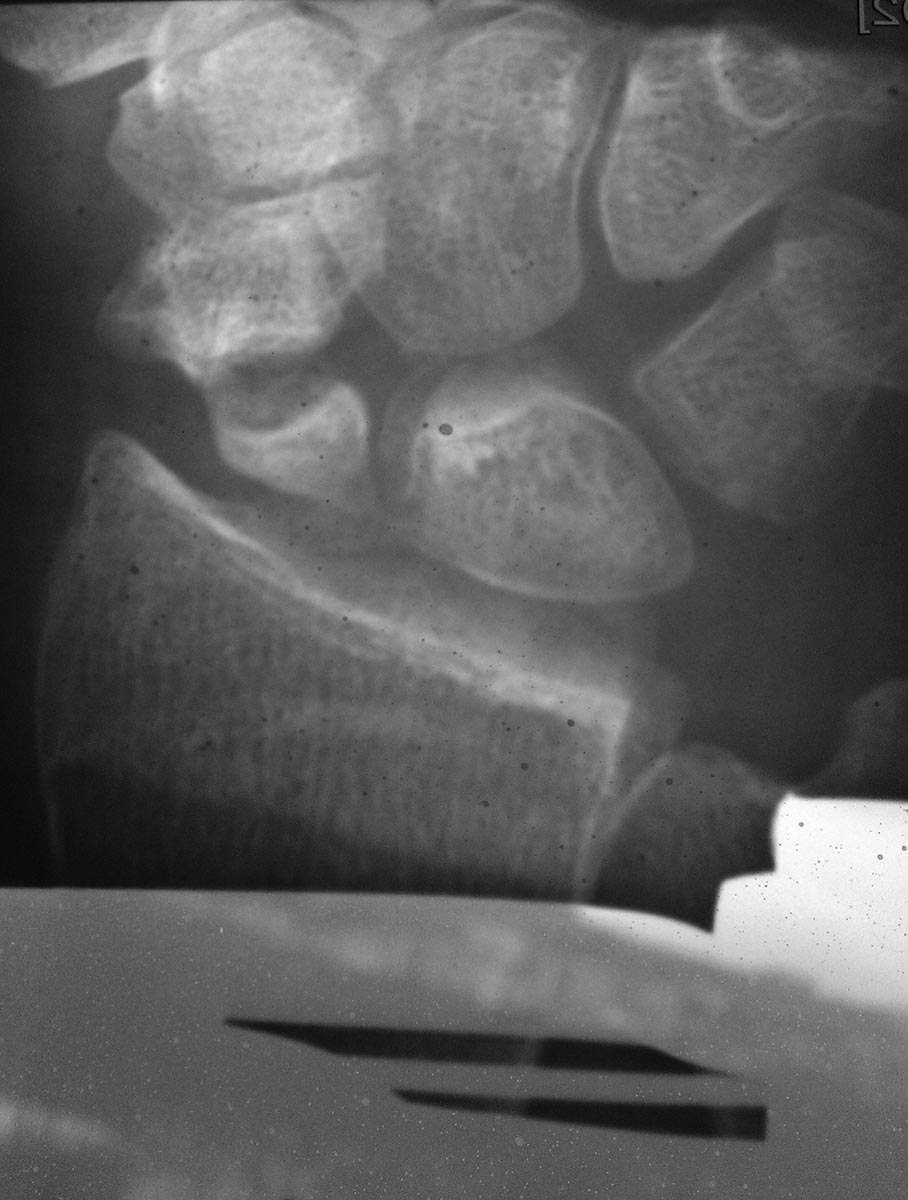
Сомнения есть, что написано доктором. Травматолог предоставил бы диагностические Rg-граммы в двух проекциях после репозиции, озадачился бы компьютерной топографией запястья. А, у травматологов в ординаторской есть негатоскоп и фото рентгенограмм лучше выполнять с него, чтобы не изучать припаркованные машины за окном. Судя по снимку: что-то с ладьевидной костью.
|
[
Ответить ]
|
Re: Перелом (ложный сустав?) ладьедидной кости правой кисти
Андрей Дремин 20 Март 2016, 13:52
|

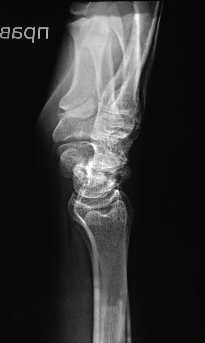
Остальные рентгенограммы сразу не загрузились, попробую ещё раз. А негатоскопа у нас в ординаторской к большому сожалению нет, поэтому приходится довольствоваться естественным светом.
Снимок от 18.03.16 после закрытой репозиции на аппарате Илизарова.
|
[
Ответить ]
|
Re: Перелом (ложный сустав?) ладьедидной кости правой кисти
Р.В. 20 Март 2016, 16:33
|
Свежего перелома не вижу. Есть несросшийся перелом ладьевидной кости. Также артроз л/зап. сустава уже есть, видимо травма старинная.
|
[
Ответить ]
|
Re: Перелом (ложный сустав?) ладьедидной кости правой кисти
Савранский Александр 20 Март 2016, 16:44
|
перелом явно старый, более 1 года. Сформировался ложный сустав, есть признаки артроза. Учитывая молодой возраст, возможно стоит рассмотреть остеосинтез винтами Герберта с костной аутопластикой. Надо зачистить шип на ладье, возможно удалить верхушку шиловидного отростка лучевой кости. Еще- в плане личного восприятия- снимки и репозиция все-таки делаются В АППАРАТЕ, а не НА.
|
[
Ответить ]
|
Re: Перелом (ложный сустав?) ладьедидной кости правой кисти
Алибек 20 Март 2016, 18:04
|
Ложный сустав ладьевидной кости не вызывает сомнений, причём до 4.02.2016 - без клинической манифестации. 4.02.2016-травма и подвывих на уровне ложного сустава.
Может быть попытаться вернуться к статус кво до последней травмы? Продержать, слегка ослабив дистракцию, в аппарате в течение 1 месяца, затем эластичная манжета на запястье. Спонгиопластику не поздно сделать и через 2-3 месяца,если будет необходимость. Вызывает сомнения прогноз после операции при небольшом склерозированном проксимальном отломке.
|
[
Ответить ]
|
Re: Перелом (ложный сустав?) ладьедидной кости правой кисти
Бехтерев Антон 21 Март 2016, 00:48
|
Прошу прощения за возможно резкий тон в моем предыдущим ответе. Судя по снимкам, имеет место ложный сустав ладьевидной кости. Требуется костная пластика перелома и стабильная его фиксация компрессионным канюлированным headless винтом.
|
[
Ответить ]
|
Re: Перелом (ложный сустав?) ладьедидной кости правой кисти
Андрей Дремин 21 Март 2016, 01:23
|
Огромное спасибо, уважаемые коллеги, за предоставленные комментарии!
|
[
Ответить ]
|
Re: Перелом (ложный сустав?) ладьедидной кости правой кисти
Юрий Алексеевич Булахтин 21 Март 2016, 07:45
|
Что это ложный сустав сомнений нет. Алибек предложил, на мой взгляд, наиболее рациональный план лечения. По операции, если встанет вопрос в перспективе, с учетом всех имеющихся данных - я бы удалил фрагмент, т.к. размер его и состояние делают очень маловероятной консолидацию, а вероятность проблем с питанием остеосинтезированной кости весьма велика...
С уважением, Юрий Алексеевич Булахтин
Камчатский Военно - морской госпиталь
|
[
Ответить ]
|
Re: Перелом (ложный сустав?) ладьедидной кости правой кисти
Отправитель: SAGo 21 Март 2016, 20:37
|
А какой фрагмент удалить?
|
[
Ответить ]
|
Re: Перелом (ложный сустав?) ладьедидной кости правой кисти
Отправитель: SAGo 29 Март 2016, 17:00
|
Проксимальный отломок удалять не имеет смысла, так как получим ситуацию "типа" SLAC, что еще более ухудшит ситуацию.
|
[
Ответить ]
|
|
Re: Перелом (ложный сустав?) ладьедидной кости правой кисти
Владимир 22 Март 2016, 00:10
|
Выполнить МРТ, оценить жизнеспособность фрагментов, сохранность сустаного хряща лучевой и ладьевидной костей. Возможно, бороться за ладьевидную кость уже бессмысленно и необходимы более радикальные методы (
|
[
Ответить ]
|
Re: Перелом (ложный сустав?) ладьедидной кости правой кисти
Андрей Дремин 22 Март 2016, 00:28
|
Думаю, что пойдём по пути предложенном Алибеком. Оставим на 1 мес. в аппарате, назначим "стимулирующую" терапию. Далее по результатам КТ можно будет судить о эффективности пластической операции. Радикальную операцию считаю "последней инстанцией", т.к. удалить фрагмент или оба фрагмента и "замкнуть" сустав успеть можно всегда. Предпочитаю не спешить с радикальными методами, а испробовать все возможные органосохраняющие способы.
Большое спасибо, уважаемые коллеги, за дискуссию!
|
[
Ответить ]
|
Re: Перелом (ложный сустав?) ладьедидной кости правой кисти
Отправитель: Alexander Chelnokov 22 Март 2016, 01:01
|
назначим "стимулирующую" терапию
Вряд ли есть нужда в дополнительной имитации бурной деятельности.
|
[
Ответить ]
|
Re: Перелом (ложный сустав?) ладьедидной кости правой кисти
Отправитель: SAGo 29 Март 2016, 17:11
|
- "Думаю, что пойдём по пути предложенном Алибеком. Оставим на 1 мес......" -
Я бы тоже повел себя именно таким ;t образом, когда уже наложен аппарат, тем более, что стояние отломков в аппарате улучшилось и вполне приемлемое. То есть можно попробовать "ликвидировать" ложный сустав так, как несколько десятилетий делается в отделении хирургии кисти 4-й градской больницы г. Москвы. Если не получится, тогда возможны другие варианты или вообще на определенное время оставить больного в покое, так как нередко ложные суставы "живут" довольно продолжительное время бессимптомно, но почти всегда заканчиваются артрозом.
|
[
Ответить ]
|
|
Re: Перелом (ложный сустав?) ладьедидной кости правой кисти
Сергей 22 Март 2016, 02:34
|
Ну о каком свежем переломе может идти речь??? Этому перелому уже 3-4-5 лет!!!! Сделайте компьютерную томографию и Вы поймете однозначно, что как проксимальный так и дистальный фрагменты нежизнеспособны и полны кист и никакая костная пластика их не спасет!!! Так же имеется грубые изменения в самом суставе!!! Диагноз - деформирующий артроз кистевого сустава III cт. на фоне псевдоартроза ладьевидной кости с фрагментацией и асептическим некрозом фрагментов ладьевидной кости SNAC (Scaphoid Nonunion Advanced Collapse). В данном случае есть 2 пути - 1 - провести консервативную терапию - гипсовую лонгету, НПВП, физ. методы и аппараты внешней фиксации здесь абсолютно не нужен!!! и беречь эту кисть "как зеницу ока", возвращаясь к такому лечению 2-3 раза в год!!! и 2 вариант более радикальный и более действенный (он остановит дальнейшее разрушение кистевого сустава, уберет боль, но оставит движения на таком же уровне) - эксцизия ладьевидной кости, четырехсуставной артродез с фиксацией специализированной пластиной Spider или же менее затратный вариант - винтами TwinFix или же винтами Герберта, частичная резекция шиловидного отростка лучевой кости кистевого сустава.
|
[
Ответить ]
|
Re: Перелом (ложный сустав?) ладьедидной кости правой кисти
Отправитель: Владимир 22 Март 2016, 18:56
|
Полностью согласен
|
[
Ответить ]
|
Re: Перелом (ложный сустав?) ладьедидной кости правой кисти
Отправитель: SAGo 29 Март 2016, 17:21
|
- "2 вариант более радикальный и более действенный (он остановит дальнейшее разрушение кистевого сустава, уберет боль, но оставит движения на таком же уровне) - эксцизия ладьевидной кости, четырехсуставной артродез с фиксацией специализированной пластиной Spider или же менее затратный вариант - винтами TwinFix или же винтами Герберта, частичная резекция шиловидного отростка лучевой кости кистевого сустава." -
1. Точно ли этот вид артродеза остановит развитие артроза?
2. Точно ли амплитуда движений не пострадает?
3. Есть ли другой, еще менее затратный, способ?
4. Бывают ли несращения-ложные суставы этого артродеза?
5. Зачем удалять шиловидный отросток?
|
[
Ответить ]
|
|
Re: Перелом (ложный сустав?) ладьедидной кости правой кисти
Василий Шишкин 23 Март 2016, 12:37
|
Учитывая молодой возраст пациента, не совсем ясную клиническую картину, имеет смысл прибегнуть к наиболее щадящей тактике оперативного лечения: во-первых, выполнить артроскопию луче- и среднезапястного суставов для уточнения характера изменений ладьевидной кости.
После проведенной оценки можно выполнить артроскопическую свободную аутопластику ладьевидной кости с транскутанной фиксацией спицами и последующей иммобилизацией кистевого сустава до 8 недель.
|
[
Ответить ]
|
Re: Перелом (ложный сустав?) ладьедидной кости правой кисти
Пильников Сергей 30 Март 2016, 02:31
|
Всем доброго времени суток. Мое мнение: остеосинтез ладьевидной кости винтом по типу Герберта с костной пластикой (учитывая возраст, можно не кровоснабжаемой). Вопрос: почему дистракция в аппарате, а не стандартная иммобилизация? По снимку, я думаю, можно говорить об асептическом некрозе.
|
[
Ответить ]
|
Re: Перелом (ложный сустав?) ладьедидной кости правой кисти
Мельников В.С. 30 Март 2016, 11:53
|
При таком сильном растяжение сустава, ждать консолидации, как в ГКБ №4 г. Москвы, я бы не стал, не срастётся. Изначально мы имеем ложный сустав ладьевидной кости и SNAC 1-й стадии. Вариант с 4-х угольным артродезом рановат, т.к. нет признаков асептического некроза проксимальной части ладьевидной кости поэтому есть шанс добиться консолидации.
1. Если рассматривать метод лечения с использованием дистракционного аппарата, то иммобилизация в нём в среднем занимает около 3-х месяцев, с минимальным растяжением кистевого сустава изначально и дальше дозированная дистракция производится по 0,25-0,5 оборота 2 раза в неделю. В данном конкретном случае, мне кажется аппарат не сильно поможет.
2. Вариант костной пластики: в связи с достаточно значимым имеющимся дефектом костной ткани и деформации по типу humpback уместна костная пластика трансплантатом с ладонной поверхности лучевой кости кровоснабжаемым карпальной артерией, популяризированный французским профессором Mathoulin, единственное использовал бы фиксацию спицами, а не винтом, т.к. уж очень нежный трансплантат.
3. Ещё один наиболее оптимальный, на мой взгляд, вариант костная пластика кровоснабжаемым трансплантатом из мыщелка бедренной кости.
Мельников В.С.
отделение хирургии кисти ГКБ №4 г. Москвы
|
[
Ответить ]
|
Re: Перелом (ложный сустав?) ладьедидной кости правой кисти
Отправитель: SAGo 31 Март 2016, 15:49
|
Еще раз повторюсь, что аппарат уже наложили, поэтому можно попробовать ликвидировать ложный сустав и таким способом. Странно было бы, если сначала сказали А ( монтаж аппарата) и без причины не сказали Б ( ни с того, ни с сего демонтировали аппарат). Надо все-таки попробовать: а вдруг. По поводу избыточной дистракции вопрос решается очень просто, так, как было написано в одной из самых ранних статей по лечению таким способом: выполняется компрессия до "удобоваримого" уровня.
Да, я тоже не вижу типичного асептического некроза проксимального отломка. Да, в книжках пишут, что наиболее эффективным способом костной пластики при таком варианте ложного сустава с небольшим проксимальным фрагментом является пластика кровоснабжаемым аутотрансплантатом.
|
[
Ответить ]
|
Re: Перелом (ложный сустав?) ладьедидной кости правой кисти
Отправитель: Мельников В.С. 31 Март 2016, 17:51
|
начинать лечение, не имея чёткого плана? Это как и главное зачем?
Про использование аппарата при данной патологии мне добавить нечего.
|
[
Ответить ]
|
Re: Перелом (ложный сустав?) ладьедидной кости правой кисти
Отправитель: SAGo 31 Март 2016, 21:21
|
Ну, вот доктора решили, что с помощью аппарата они смогут устранить смещение отломков. У них это получилось довольно неплохо, почти хорошо. Если бы это был не ложный сустав, то может быть перелом и сросся при наложенном аппарате и прекрасном стоянии отломков. Может быть и ложный сустав срастется, кто знает.
|
[
Ответить ]
|
|
Re: Перелом (ложный сустав?) ладьедидной кости правой кисти
Мельников В.С. 30 Март 2016, 11:53
|
При таком сильном растяжение сустава, ждать консолидации, как в ГКБ №4 г. Москвы, я бы не стал, не срастётся. Изначально мы имеем ложный сустав ладьевидной кости и SNAC 1-й стадии. Вариант с 4-х угольным артродезом рановат, т.к. нет признаков асептического некроза проксимальной части ладьевидной кости поэтому есть шанс добиться консолидации.
1. Если рассматривать метод лечения с использованием дистракционного аппарата, то иммобилизация в нём в среднем занимает около 3-х месяцев, с минимальным растяжением кистевого сустава изначально и дальше дозированная дистракция производится по 0,25-0,5 оборота 2 раза в неделю. В данном конкретном случае, мне кажется аппарат не сильно поможет.
2. Вариант костной пластики: в связи с достаточно значимым имеющимся дефектом костной ткани и деформации по типу humpback уместна костная пластика трансплантатом с ладонной поверхности лучевой кости кровоснабжаемым карпальной артерией, популяризированный французским профессором Mathoulin, единственное использовал бы фиксацию спицами, а не винтом, т.к. уж очень нежный трансплантат.
3. Ещё один наиболее оптимальный, на мой взгляд, вариант костная пластика кровоснабжаемым трансплантатом из мыщелка бедренной кости.
Мельников В.С.
отделение хирургии кисти ГКБ №4 г. Москвы
|
[
Ответить ]
|
Re: Перелом (ложный сустав?) ладьедидной кости правой кисти
Отправитель: Сергей 11 Апрель 2016, 21:23
|
По поводу лечения данного случая в АВФ полностью с Вами согласен - бесперспективно.
Вариант с использованием кровоснабжаемого трансплантата из мыщелка бедренной кости - относится к супермикрохирургии и мало где и кем выполняется и результатов по отдаленным результатам не так уж и много...
Ну а вот по поводу асептического некроза я бы с Вами поспорил, но наш спор может решить КТ или МРТ исследование кистевого сустава.
|
[
Ответить ]
|
|
Re: Перелом (ложный сустав?) ладьедидной кости правой кисти
Пильников Сергей 31 Март 2016, 00:22
|
На снимках перелом "далеко не свежий". Коллега, как оценить жизнеспособность отломков ладьевидной кости по данным КТ? Есть ли диагноз:артроз кистевого сустава? Коллега, что значит псевдоартроз ладьевидной кости? Жду ответа...
|
[
Ответить ]
|
Re: Перелом (ложный сустав?) ладьедидной кости правой кисти
Отправитель: SAGo 31 Март 2016, 16:12
|
Scaphoid pseudarthrosis - ложный сустав/псевдоартроз ладьевидной кости.
|
[
Ответить ]
|
Re: Перелом (ложный сустав?) ладьедидной кости правой кисти
Отправитель: Мельников В.С. 31 Март 2016, 17:47
|
1. Заподозрить асептический некроз проксимальной части ладьевидной кости можно и по данным рентгенографии, достоверно подтвердить только с помощью КТ с гадалинием.
2. Деформирующий артроз развившийся в результате патологии ладьевидной кости во всём мире называется scapho-nonunion advanced collaps или сокращённо SNAC,выделяют 4 стадии.
3. Ну а по повода псевдоартроза, думаю цепляться к словам других людей нет смысла, каждый использует тот термин который ему нравится или подходит больше.
|
[
Ответить ]
|
|
Re: Перелом (ложный сустав?) ладьедидной кости правой кисти
Пильников Сергей 31 Март 2016, 00:22
|
На снимках перелом "далеко не свежий". Коллега, как оценить жизнеспособность отломков ладьевидной кости по данным КТ? Есть ли диагноз:артроз кистевого сустава? Коллега, что значит псевдоартроз ладьевидной кости? Жду ответа.
|
[
Ответить ]
|
( Ответить )
|
|