вверх
отправить
поиск
админ
главная
|
сложный перелом плеча - перелом плеча после неправильно сросшегося перелома |
 |
 |
 |
Отправлено роман 22 Март 2016, 16:08
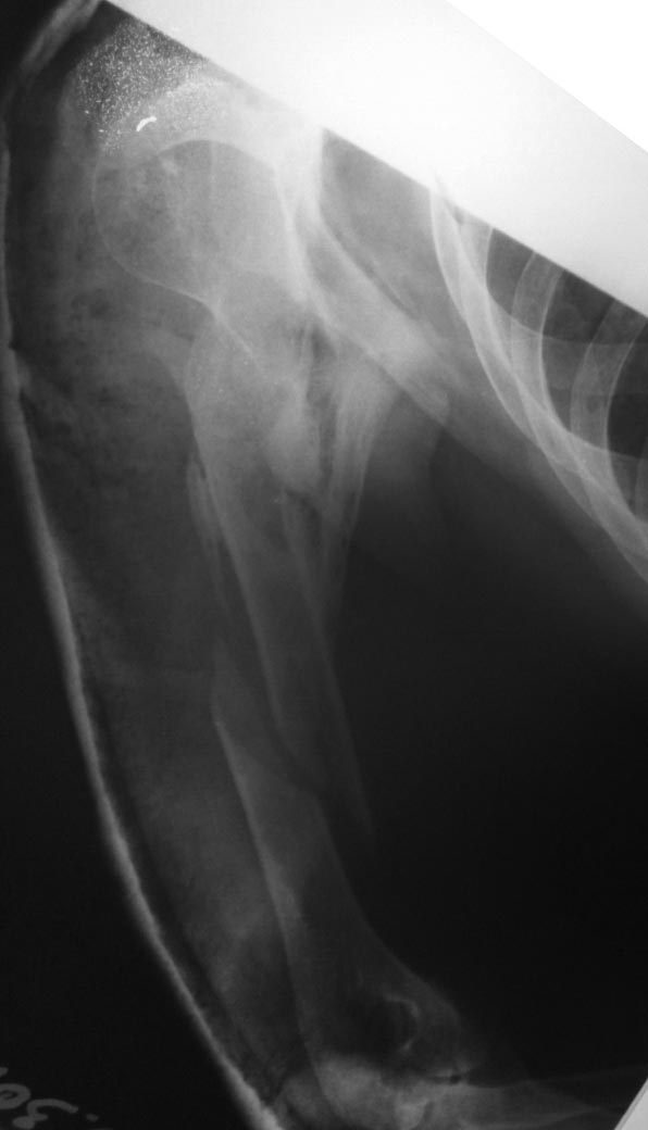
Больной в 2014 году находился на лечении в одной из Московских клиник. Диагноз: ТСТ.Перелом черепа Ушиб головного мозга. Диффузное аксональное повреждение. Длительное время находился на ИВЛ. Фрагментарный перелом плеча - консервативное лечение. Перелом голени - остеосинтез АНФ. На данный момент больной лежит в кровати. Речь понимает, отвечает односложно. Самостоятельно мог поворачиваться в пределах кровати. Поднимает нижние конечности, сгибание в коленных суставах и суставах стоп отсутствуют. При выполнении ЛФК - получен винтообразный перелом плечевой кости. У коллег прошу совета: есть мысль попробовать выполнить корригирующую остеотомию на уровне в\3 плечевой кости с последующим остеосинтезом переломов длинным гвоздем. Или выполнить остеосинтез ретроградным штифтом для дальнейшей возможности корригирующей операции, Т.к опыта таких операций нет.
<
|
>
|
|
Ответить
|
Re: сложный перелом плеча - перелом плеча после неправильно сросшегося перелома
роман 22 Март 2016, 16:23
|

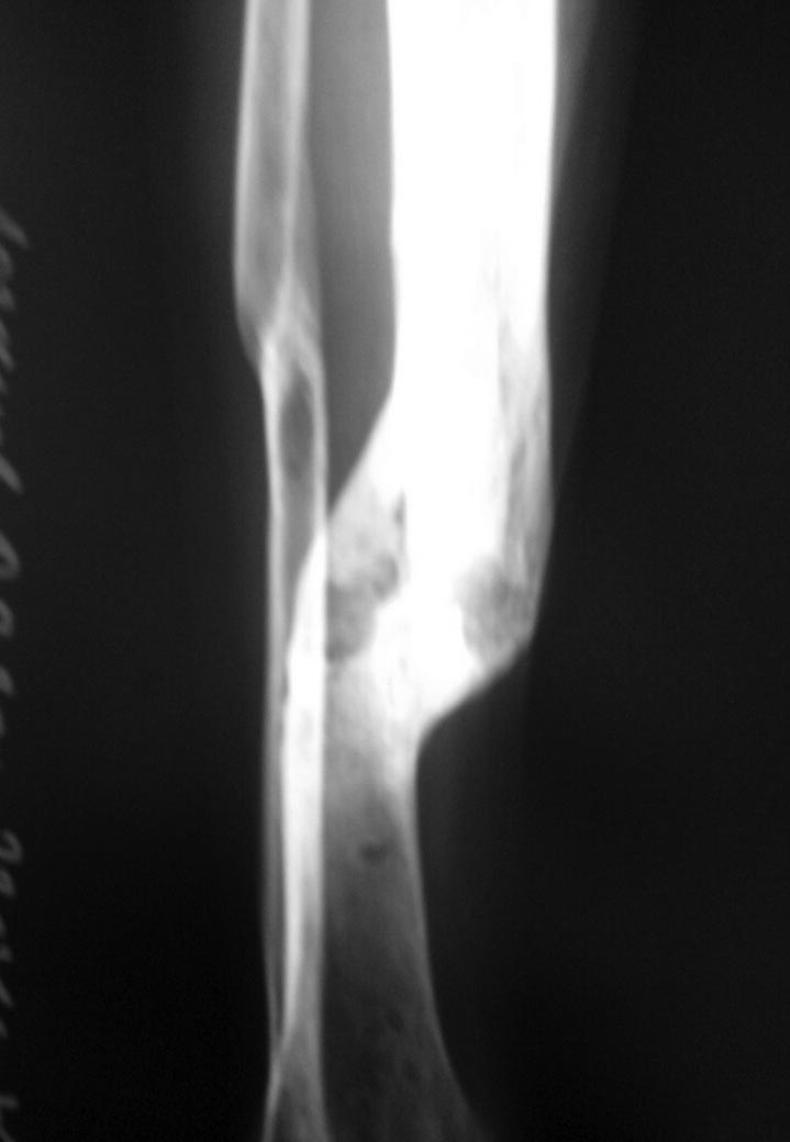
добавлю снимки голени
|
[
Ответить ]
|
Re: сложный перелом плеча - перелом плеча после неправильно сросшегося перелома
Кирилл 22 Март 2016, 20:23
|
ИМХО Накостный остеосинтез свежего перелома, места для пластины достаточно.
|
[
Ответить ]
|
Re: сложный перелом плеча - перелом плеча после неправильно сросшегося перелома
роман 23 Март 2016, 19:05
|
Вчера несколько на эмоциях написал на форум. Более детально познакомился с пациентом. Является лежачим больным более 1.5 года, последние 3 месяца делал успехи в плане реабилитации(стал самостоятельно поворачиваться в постели, поднимает нижние конечности). Правая верхняя конечность отведение 80 гр, приведение полностью, небольшая сгибательная контрактура в локтевом суставе, сгибательная контрактура кисти и пальцев.. При выполнении ЛФК в домашних условиях 10.03.16г получен винтообразный перелом. Мягкие ткани - в подмышечной ямке кпереди по краю дельтовидной мышцы подкожно пальпируется в виде гребня костной плотности образование, кожа над ним фиксирована, а также в толще мышц избыточная костная мозоль. Первая мысль была сделать красивую рентген картинку. С учетом сниженной функциональной активности пациента, достаточно хорошей функции при таком сросшимся переломе правой верхней конечности, характером перелома(длинный винт). Выполнили сегодня остеосинтез перелома пластиной.
IMG_20160323_151835_HDR.jpg
481KB (492875 bytes)
|
[
Ответить ]
|
Re: сложный перелом плеча - перелом плеча после неправильно сросшегося перелома
Alexander Chelnokov 24 Март 2016, 11:02
|
Мысль насчет корригирующей остеотомии интересная. Но тут не только ренгенограмма важна, но и состояние окружающих тканей, в т.ч. сосудов и нервов, впаявшихся в рубцы и костную мозоль. Так что если делать корригирующую остеотомию чрескожно - по одной рентгенограмме не угадать, возможна ли одномоментная коррекция.
А так - тут возможны все варианты ведения, и функциональный брэйс, и накостный остеосинтез, и аппарат.
|
[
Ответить ]
|
( Ответить )
|
|