AOTRAUMA.ORG Центр Илизарова  

Ортопедия и травматология Общие вопросы/General questions Help Информационные технологии в медицине
 вверх
 отправить
 поиск
 админ
 главная


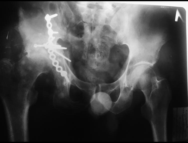
Перелом вертлужной впадины.
Ортопедия и травматология Отправлено Марат Кадиев 28 Март 2016, 14:18 ГБУ " Городская Клиническая Больница 1" отделение сочетанной травмы г. Махачкала
Уважаемые коллеги помогите определиться с дальнейшей тактикой лечения.
Из анамнеза: травму пациент получил в результате ДТП 12 месяцев назад. Сочетанная травма ЗЧМТ. Сотрясение головного мозга. Трансвертлужный перелом. Центральный вывих бедренной кости (первоначальные снимки предоставить не могу). 2 месяца лечился методом скелетного вытяжения.

Через 4 месяца после травмы поступил в наше отделение. Пациенту выполнена операция : реконструкция вертлужной впадины с костной аутопластикой с гребня подвздошной кости ( дефект заднего края с полным лизисом костных отломков ). Фиксация пластиной Матта. На сегодняшний день ( через 7 месяцев после реконструкции впадины) отмечается лизис головки бедренной кости и укорочение абсолютной длины правой нижней конечности на 5 см. Есть сомнения на счёт сращения аутокости. Как быть в данной ситуации ? Спасибо

<  |  >

 

  • Сообщения о Ортопедия и травматология
  • Также Марат Кадиев
  • Связаться с автором
  • Ответить

    Re: Перелом вертлужной впадины.
    Сергей 28 Март 2016, 16:59
    Сделайте КТ и это должно решить вопрос о сращении, а дальше решать вопрос об эндопротезировании с применением специализированных фиксаторов.
    [ Ответить ]

    Re: Перелом вертлужной впадины.
    Юрий Алексеевич Булахтин 29 Март 2016, 04:55
    Единственный выход - эндопротезирование. Все остальное, в такой ситуации, глумление над...

    С уважением, Юрий Алексеевич Булахтин

    Камчатский Военно - морской госпиталь
    [ Ответить ]

    Re: Перелом вертлужной впадины.
    Сергей 30 Март 2016, 17:20
    Ну это понятно, что дело закончится протезированием!!! но надо дообследовать пациента в плане подготовки ко всем вариантам развития операции, а не сделать доступ, а не потом сделать доступ и увидев ж*пу - начинать импровизировать.
    [ Ответить ]

    Re: Перелом вертлужной впадины.
    Anatoly Lazarev 01 Апрель 2016, 03:08
    Естественно эндопротезирование с укрепляющим кольцом.
    Это следует рассматривать как костнопластическую реконстркцию, по возрасту пациента ему
    обязательно будет ревизия.
    В настоящий момент головка бедра находится в положении задне-верхнего вывиха с дефектом
    задней стенки и крыши. В настоящий лизиса головки нет? есть закономерный лизис задней стенки.
    Мы перестали делать реконструкцию в данные сроки.
    Головка цела ее очень хорошо использовать для пластики дефекта под укрепляющее кольцо ЭСИ
    Головку лучше взяит вместе с шейкой - т.е. с кортикалом шейки - перевернуть ее кверху ногами, кортикал, фиксировать к надацетабулярной зоне, а головку опустить во впадину и расшарошить под кольцо.
    В последующем под кольцом в результате комюинированной костной пластики сформируется отличный костный конгломерат, и при последующей ревизии можно использовать методики бесцементной фиксации ацетабулярного компонента.
    Удачи/ ЛАФ.
    [ Ответить ]

    Re: Перелом вертлужной впадины.
    Коваленко А.Н. 01 Апрель 2016, 13:32
    Высылайте КТ (шаг срезов 0.5 - 1.0мм), поможем с планированием.

    С уважением, Коваленко А.Н.
    [ Ответить ]


    ( Ответить )

    Powered by Zope  Squishdot Powered MedLink
    Посетитель: 0388360
      "По форме правильно, а по существу - издевательство" В.И.Ленин
    ©2001-2019Orthoforum Coordinator.
    [ Главная | Отправить сообщение | Поиск | Админ ]