Ответить
|
Re: температура
Ислам 30 Март 2016, 10:13
|
температура не спускается
|
[
Ответить ]
|
Re: температура
Ислам 30 Март 2016, 10:39
|
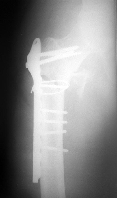
после операции
гемоглобин 63
|
[
Ответить ]
|
Re: температура
Ислам 30 Март 2016, 10:43
|
до
|
[
Ответить ]
|
Re: температура
Иван Кравченко "Киржачская РБ" 30 Март 2016, 14:26
|
Ничего не понял. А что беспокоит?
|
[
Ответить ]
|
Re: температура
Ислам 30 Март 2016, 15:16
|
температура не снижается ?
|
[
Ответить ]
|
Re: температура
дмитрий 30 Март 2016, 23:59
|
Тут как в машине, если хороший стук, то вылезет, а так температура не критична, позвольте поинтересоваться почему выбран данный метод фиксации, а не PFN?
|
[
Ответить ]
|
Re: температура
Отправитель: Ислам 31 Март 2016, 10:44
|
опыт не позволяет
|
[
Ответить ]
|
Re: температура
Отправитель: Ислам 31 Март 2016, 10:51
|
30.03.2016 температура. 38,7
31.03. 38,0
30.03 оак РОЭ 6 . гемогл 90 лейко 5,1
лейкоформула пал 2% cer 59 мон 4% лимф 35%
оам в норме
|
[
Ответить ]
|
Re: температура
Отправитель: Савранский Александр 31 Март 2016, 12:39
|
Важными маркерами воспаления являются СОЭ и С-реактивный белок, причем последний лучше определять не в плюсах, а в единицах. В целом представленные показатели крови вроде бы неплохие. Надо выяснять, что дает температуру. Что местно? Гиперемия, отек, боли в месте вмешательства могут быть симптомами раннего нагноения, тогда- ревизия. Иногда длительную температуру дают гематомы, тромбофлебиты. Чтобы исключить пневмонию желательно сделать качественные снимки легких и пригласить терапевта. В любом случае есть необходимость в пролонгированной антибиотикотерапии.
|
[
Ответить ]
|
|
Re: температура
Alexander Chelnokov 31 Март 2016, 15:00
|
Хотелось бы посмотреть на свежий снимок оперированного отдела бедра. Может, там все развалилось уже, и это и есть причина лихорадки?
А пунктировать не пробовали с посевом? Гематома?
|
[
Ответить ]
|
Re: температура
Ислам 31 Март 2016, 18:09
|

после
|
[
Ответить ]
|
Re: температура
Отправитель: Станислав Дмитриев 31 Март 2016, 19:13
|
Если есть возможность сделать УЗИ зоны операции - сделайте. Наши УЗИсты в ряде подобных случаев находят очень интересные вещи. Отрицательный результат УЗИ - опять же, не показатель.
И не надо себя обманывать: лихорадка спустя 3 недели после операции - вероятнее всего нагноение. И "первичное" заживление раны - не всегда показатель. Мы в таких случаях идем на ревизию (ибо много раз "накалывались") через минидоступ. Если получаем подозрительное содержимое - расширяемся. Удачи вам!
|
[
Ответить ]
|
|
Re: температура
Чернов Константин 01 Апрель 2016, 19:27
|
А все ли в порядке со стулом у пациента? после такого кол-ва антибиотиков причиной температуры может быть и псевдомембранозный колит. тогда это совсем другая история -бак. посев на токсин клостридий, гастроэнтерологог и т.д.
тромбоз глубоких вен - тоже может быть одной из причин.
ищите....
|
[
Ответить ]
|
Re: температура
Василий86 02 Апрель 2016, 00:45
|
В сожалению остеосинтез у Вас получился нестабильным, это, опосредованно, может стать причиной лихорадки. Полностью согласен с постом про УЗИ и ревизию. Хочу добавить, что в случае отсутствия гнойного процесса, можно провести в проксимальный отломок более длинные винты.
|
[
Ответить ]
|
Re: температура
Alexander Larionov 02 Апрель 2016, 00:46
|
Да, надо делать УЗИ, и, возможно, диагностическую пункцию.
ААЛ
|
[
Ответить ]
|
Re: температура
Ислам 04 Апрель 2016, 21:57
|
КТ
|
[
Ответить ]
|
( Ответить )
|