Ответить
|
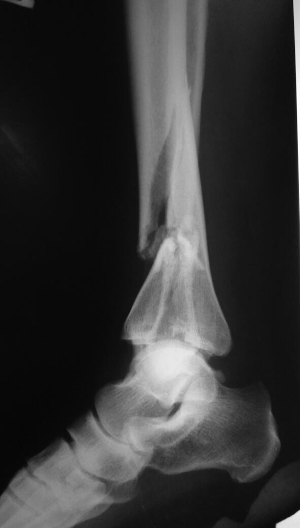
Re: перелом типа "Пилон".
Иван Кравченко "Киржачская РБ" 30 Март 2016, 14:19
|
Роман, как то сложно что-то сказать по одной Рг-грамме. и еще можно сделать Кт (могут быть приятные или не очень неожиданности).
|
[
Ответить ]
|
Re: перелом типа "Пилон".
роман 30 Март 2016, 17:14
|

добавляю прямой. КТ к сожалению нет.
|
[
Ответить ]
|
Re: перелом типа "Пилон".
Николай 31 Март 2016, 15:23
|
Синтезировать малоберцовую кость нужно первой (очень важно восстановить ее длину). А вторым этапом переходить на остеосинтез большеберцовой кости с использованием пластины с угловой стабильностью типа "лист клевера".
|
[
Ответить ]
|
Re: перелом типа "Пилон".
Отправитель: Alexander Chelnokov 31 Март 2016, 15:46
|
Начет малоберцовой первой при переломах пилона - это предрассудки 60-х годов, т.е. додистракторной эпохи. Ее вообще можно не синтезировать. Вот недавняя статья на эту тему.
Kurylo J. et al. "Does the Fibula Need to be Fixed in Complex Pilon Fractures?" - JOT, 2015 (pdf, 128 Kb)
|
[
Ответить ]
|
|
Re: перелом типа "Пилон".
Иван Кравченко "Киржачская РБ" 31 Март 2016, 15:50
|
Всем добрый день!после ноложения дистрактора, я бы использовал передне-латеральный доступ, далее аккуратно заглянул под передний отломок бб кости, увидел бы под ним импрессированный участок суставной поверхности, восстановил его (возможно потребуется костная пластика), далее собрал бы в кучу все отломки, посадил на спицы и после Рг-контроля использовал Пластину передне-наружную большеберцовую (у остеомеда и синтеза она есть) ( не реклама). данное высказывание-ИМХО, если что-то не так прошу поправить. спасибо
|
[
Ответить ]
|
Re: перелом типа "Пилон"
Виталий 01 Апрель 2016, 01:19
|
Полностью с Вами согласен на счёт передне-латеральной пластины, и она есть не только у перечисленных Вами производителей а много у кого), пластика вряд ли понадобится, а насчёт малоберцовой исчерпывающе написал Александр Николаевич.Медиальная пластина тут ничего держать не будет.
|
[
Ответить ]
|
Re: перелом типа "Пилон".
Не молодой и не старый 01 Апрель 2016, 23:24
|
Ребят, классика. Не надо изобретать велосипед. 1-пластина на МБК+ пластина на ББК выше со сказанным согласен
|
[
Ответить ]
|
( Ответить )
|