вверх
отправить
поиск
админ
главная
|
Вопрос Бережному С.Ю. и "стоповикам" |
 |
 |
 |
Отправлено Виталий 27 Апрель 2016, 21:52
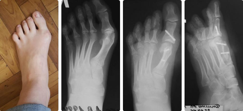
Прошу обсудить результаты операции!Всех кто в теме стопы)) Вопрос следующего характера 70-я юбилейная операция на стопах и хирурга понесло))) Оперировал девочку с выраженным египетским типом стопы. Год назад ей в другой клинике проведено оперативное лечение – операция Шеде с рецидивом. Диагноз: вальгусная деформация 1 п 2 степени. рецидив. Молоткообразная деформация 2,4 пальцев, подлежащий 3 палец. При осмотре омозолелость под головкой 1 плюсневой. Омозолеость по внутренней части основной фаланги, пальпаторно низкое расположение головки 4 плюсневой кости, глоловка прямо под кожей. Клинически этот же палец молоткообразный.2 палец тоже деформирован но не как молоток а не достигается подошвенное сгибание и вершина деформации как бы на уровне плюснефалангового сустава, плюс отклонен кнаружи. 3 и 4 пальцы как бы перекрещены На фото пальцы она расправила, как стала на стопу.План был такой scarf Akin + tilt up4, остеотомия основания 4 основной фаланги. Закрытая тенотомия разгибателей и поверхностного сгибателя 4п.В Итоге ,изначально, после завершения работы на 1 луче получилась хорошая квадратная стопа.После dmmo 4 имхо нужно было заканчивать…И еще очень сильно плантаризировал плюсневую ( чем может грозить?) Зачем- не скажу, сам не понял как так распилил. И это пол беды, далее что то так сказать увлекся радикализмом. Мысль изначально была такова- засчет dmmo устранить отклонение малых пальцев, и, учитывая что хоть на 3 ей плюсневой и нет деформации по снимкам она длинновата В итоге выполнил остетомии dmoo 2,3,4 плюсневых. Тенотомии 2,3,4 разгибателей. Остетотомию основной фаланги 4 пальца Итог- та же египетская стопа только с ровным пальцем((((! Чем может грозить? Давайте обсудим !
<
|
>
|
|
Ответить
|
Re: Вопрос Бережному С.Ю. и "стоповикам"
Бережной Сергей 29 Апрель 2016, 02:29
|
>Диагноз: вальгусная деформация 1 п 2 степени. рецидив.
Вряд ли правильно называть рецидивом сохранение hallux valgus после операции Шеде. Ведь при этой операции отклонение пальца кнаружи не устраняется.
>подлежащий 3 палец.
За подлежащий палец спасибо.
>египетская стопа только с ровным пальцем! Чем может грозить?
В самой по себе египетской стопе ничего особенного нет. Если длина первого пальца слишком сильно преобладает над длинами других пальцев, это может мешать при выборе обуви или восприниматься как косметический дефект. В данном случае вроде первый палец не такой уж длинный. Еще египетская стопа часто сопутствует избыточно длинной относительно латеральных первой плюсневой кости - одному из пусковых механизмов развития hallux rigidus. На дооперационном снимке первая плюсневая длиннее второй. Но там был hallux valgux, а это, своего рода, защитная реакция организма: при отклонении пальца кнаружи давление суставных поверхностей друг на друга снижается. После операции первая плюсневая укоротилась, но все-таки сохранилось преобладание ее длины над длинами латеральных плюсневых. Да еще вальгуса не стало. Можно предположить, что вероятность развития артроза в ПФС1 увеличилась. При этом плантаризация головки может оказаться и положительным моментом. Артрозу ПФС1 часто сопутствует не только слишком длинная М1, но и metatarsus primus elevatus. Так ли это в данном случае мы не знаем, боковой проекции под нагрузкой нет ни до ни после операции. Но если предположить, что головка М1 была расположена выше других, то плантаризация может сыграть положительную роль.
|
[
Ответить ]
|
Re: Вопрос Бережному С.Ю. и "стоповикам"
Отправитель: Виталий 29 Апрель 2016, 12:16
|
Спасибо за развернутый ответ!
В общем мне что еще интересно, нужно ли было трогать м2,3? если не было явной деформации 3 п ? Была незначительная деформация 2 пальца. хотя при помощи dmmo удалось повернуть малые пальцы параллельно 2-му. и это положительный момент. А отрицательный что dmmo вызвало укорочение малых лучей.
Вот снимок 2 день на перевязке. Кончик ногтевой фаланги засчет плантаризации м1 задран((!
|
[
Ответить ]
|
Re: Вопрос Бережному С.Ю. и "стоповикам"
Отправитель: Береженой Сергей 02 Май 2016, 22:30
|
Для меня основным показанием к DMMO чаще всего является наличие симптомов центральной метатарзалгии или боязнь получить центральную метатарзалгию при операции на относительно короткой М1. Особенно, если имеется бессимптомный натоптыш под головкой М2 (реже - М3). Здесь этого не было. Но в данном случае мы, по большому счету, имеем дело с отклонением кнутри не только первой, но и латеральных плюсневых костей. В такой ситуации нефиксированные остеотомии латеральных плюсневых костей могут помочь устранить отклонение кнаружи малых пальцев. В том числе, за счет смещения кнаружи головок центральных плюсневых костей. Так что, возможно, решение и было правильным. Время покажет. А насчет укорочения М2-3. Работ, доказывающих значение длинной М1 в развитии hallux rigidus много. А вот работ, показывающих, что после укорачивающей остеотомии М1 вероятность развития артроза сохраняется на прежнем уровне в случае, если одновременно были укорочены М2-3, мне не встречалось. Собственных подобных наблюдений у меня тоже нет. Готовая тема если не для диссертации, то для интересной статьи.
|
[
Ответить ]
|
Re: Вопрос Бережному С.Ю. и "стоповикам"
Отправитель: Коваленко А.Н. 01 Май 2016, 23:04
|
Сергей Юрьевич, как вы считаете, такая медиальная скошенность первого плюснеклиновидного сустава является в данном случае фактором риска рецидива и варизации первой плюсневой или только вкупе с ее гипермобильностью (если она есть)?
Спасибо.
--
С уважением, Коваленко А.Н.
|
[
Ответить ]
|
Re: Вопрос Бережному С.Ю. и "стоповикам"
Отправитель: Бережной Сергей 02 Май 2016, 22:53
|
Формально, конечно, является. Но если подойти к вопросу не формально, а отталкиваться от опубликованных работ, то основным фактором риска рецидива является гипермобильность первого плюснеклиновидного сустава. Рентгенологически гипермобильности чаще всего сопутствует короткая М1 (здесь длинная), утолщенный медиальный кортикал М2 (в данном случае М2 совсем тонкая), закругленная (здесь плоская) суставная поверхность медиальной клиновидной кости и угол наклона суставной щели более 30 гр. (на дооперационной рентгенограмме у меня получилось больше, а на послеоперационной - меньше - разные проекции). Какой угол получился у Вас? Думаю, что по имеющимся данным вероятность рецидива за счет дальнейшего отклонения кнутри М1 крайне мала и показаний для артродеза первого плюснеклиновидного сустава здесь не было.
|
[
Ответить ]
|
Re: Вопрос Бережному С.Ю. и "стоповикам"
Отправитель: Коваленко А.Н. 03 Май 2016, 01:47
|
Спасибо, Сергей Юрьевич.
|
[
Ответить ]
|
|
Re: Вопрос Бережному С.Ю. и "стоповикам"
Виталий 05 Май 2016, 19:38
|
Спасибо за ответы и участие! Пациентка приходила на перевязку нога выглядит клинически хорошо ток подъем высоковат( плантаризация )! Дальше время покажет!
|
[
Ответить ]
|
( Ответить )
|
|