AOTRAUMA.ORG Центр Илизарова  

Ортопедия и травматология Общие вопросы/General questions Help Информационные технологии в медицине
 вверх
 отправить
 поиск
 админ
 главная


Тактика лечения проксимального перелома бедра
Ортопедия и травматология Отправлено Шепета Олег 31 Май 2016, 19:31 Евромед
Чрезвертельный или базальная шейка?
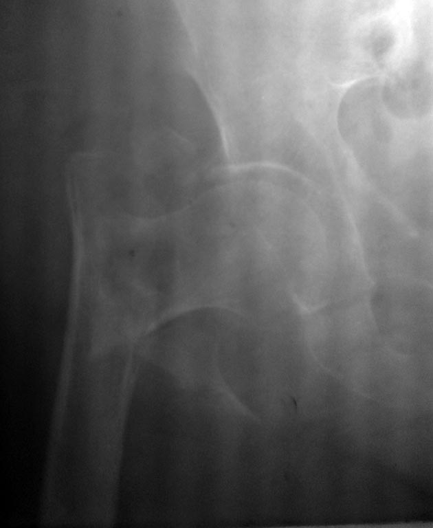
Пациентка 1922 г.р., не тучная, без отягощенной соматической патологии, бытовая травмаГоспитализирована. Не определена тактика лечения ввиду сложности оценки типа перелома и, соответственно, тактики леченияЕсли это чрезвертельный перелом, то вариантов выбора может стать PFN или угловая пластинаЕсли это базальный (латеральный перелом) шейки - то, очевидно, стоит рекомендовать эндопротезирование сустава (масса до 100 кг)Помогите оценить ситуациюСпасибо за все ответы

<  |  >

 

  • Сообщения о Ортопедия и травматология
  • Также Шепета Олег
  • Связаться с автором
  • Ответить

    Re: Тактика лечения проксимального перелома бедра
    Савранский Александр 01 Июнь 2016, 13:38
    думаю возможны оба варианта лечения- эндопротез даст возможность более ранней нагрузки. Еще один плюс за ЭП- выраженный остеопороз судя по снимкам. Если все же ставить гамму, то предусмотреть возможность интраоперационной аугментации шейки костным цементом.
    [ Ответить ]

    Re: Тактика лечения проксимального перелома бедра
    Alexander Chelnokov 01 Июнь 2016, 18:02
    Чтобы было меньше сложностей с оценкой типа перелома, надо не лениться вывести конечность из наружной ротации при рентгенографии. Если условия позволяют, можно и сделать и КТ.
    Перелом тут вполне для остеосинтеза, эндопротез избыточен. Насчет аугментации - если доступна, не помешает. В любом случае - надо хорошо потянуть (традиционно - тракционный стол, или можно дистрактор "крыло таза - дистальное бедро", если видели). Точка входа - медиальнее верхушки вертела. Шеечный винт - максимальной длины, до хряща буквально, и не выше центра шейки. Диастаз устранить сразу до контакта компрессией по оси шеечного винта.
    [ Ответить ]

    • Re: Тактика лечения проксимального перелома бедра
      Отправитель: Олег Шепета 02 Июнь 2016, 18:54
      Понятие указанного дистрактора мне знакомо из Ваших великолепных методичек, представленных на форуме, а также презентаций (последняя по "Замаливанию грехов синтеза проксимального отдела бедра" просто великолепна). Касательно аугментации - не знаю, как технически она производится.
      Догадываюсь, что перед введением лаги цемент вводится в обработанный канал, либо прямо внутрь канюлированной лаги? Поправьте меня в технике аугментирования. Спасибо за дельные советы

      [ Ответить ]
    Re: Тактика лечения проксимального перелома бедра
    Молодой специалист 01 Июнь 2016, 20:10
    А мне кажется, что это не базальная шейка и даже не чрезвертельный, а межвертельный перелом бедра с отрывом латерального края большого вертела. Что то похожее - на картинке.
    По тактике, согласен с Александром Николаевичем.
    Кликните для загрузки файла image.jpg
    2951KB (3022442 bytes)

    [ Ответить ]

    Re: Тактика лечения проксимального перелома бедра
    Андрей 01 Июнь 2016, 20:54
    Классический базальный перелом шейки.
    [ Ответить ]

    Re: Тактика лечения проксимального перелома бедра
    Савранский Александр 02 Июнь 2016, 01:29
    В руках такого мастера как А.Н. остеосинтез в данном случае вполне достаточен. Вам же стоит выбрать то, чем лучше владеете- не раз сталкивался с тем, что эндопротезисты не умеют или не хотят ставить стержни. Важен также вопрос цены- эндопротез дороже. С другой стороны не совсем точно установленный стержень приведет к повторному смещению, а значит к еще одной операции.
    [ Ответить ]

    • Re: Тактика лечения проксимального перелома бедра
      Отправитель: Олег Шепета 02 Июнь 2016, 18:35
      Спасибо за комментарий. Владею синтезом PFN или Gamma, опыта протезирования нет - собственно из этого и исходил в организационном подходе - отдать (на протезирование) или лечить самому (синтез).
      По сути, с аугментацией дела никогда не имел (хотя тоже к ней склоняюсь, учитывая возраст и рентген-картину), поэтому не представляю технической реализации - хотел бы почитать чье то руководство или спросить совета

      [ Ответить ]
    Re: Тактика лечения проксимального перелома бедра
    Савранский Александр 02 Июнь 2016, 01:56


    пример перелома, который можно сравнить с Вашим.

    [ Ответить ]

    • Re: Тактика лечения проксимального перелома бедра
      Отправитель: Савранский Александр 02 Июнь 2016, 01:58
      вид после, нагрузка с 3 дня

      Кликните для загрузки файла 20150408_084936.jpg
      966KB (989683 bytes)

      [ Ответить ]
      • Re: Тактика лечения проксимального перелома бедра
        Отправитель: Бережной Сергей 02 Июнь 2016, 21:59
        Странное какое-то "после"

        [ Ответить ]
      • Re: Тактика лечения проксимального перелома бедра
        Отправитель: Андрей 03 Июнь 2016, 00:46
        Забыли навигацию снять со стержня и цапки после операции!!!

        [ Ответить ]
        • Re: Тактика лечения проксимального перелома бедра
          Отправитель: Молодой специалист 03 Июнь 2016, 01:33
          Снимок похож на интраоперационный, исходя из чего можно предположить, что оперировали без ЭОП.

          [ Ответить ]
    Re: Тактика лечения проксимального перелома бедра
    Иван Кравченко "Киржачская РБ" 03 Июнь 2016, 01:21
    и ничего страшного. зато представьте сколько человек денег на площади заработал, демонстрируя это чудо, из ноги торчащее))))
    [ Ответить ]

    Re: Тактика лечения проксимального перелома бедра
    Иван Кравченко "Киржачская РБ" 03 Июнь 2016, 01:21
    и ничего страшного. зато представьте сколько человек денег на площади заработал, демонстрируя это чудо, из ноги торчащее))))
    [ Ответить ]

    Re: Тактика лечения проксимального перелома бедра
    Иван Кравченко "Киржачская РБ" 03 Июнь 2016, 01:22
    и ничего страшного. зато представьте сколько человек денег на площади заработал, демонстрируя это чудо, из ноги торчащее))))
    [ Ответить ]

    Re: Тактика лечения проксимального перелома бедра
    Лубенец Александр 04 Июнь 2016, 02:46
    Коллеги, я дико извиняюсь, но зачем тролить Савранского за представленный интраоперационный снимок? ,получилось кстати неплохо)))
    Если есть ЭОП - хорошо, а если нет-это не повод дразнить кого либо за снимки. площадь не площадь... не стыдно?
    С уважением Лубенец Александр
    [ Ответить ]

    Re: Тактика лечения проксимального перелома бедра
    Андрей 04 Июнь 2016, 03:04
    Не стыдно! Все же понимают что мы по доброму шутим!!! Ничего здесь нет такого предосудительного! Всё там хорошо, молодец, особенно если на боковой проекции винт где нужно.
    [ Ответить ]

    Re: Тактика лечения проксимального перелома бедра
    игорь 04 Июнь 2016, 12:17
    Ну если снимок как образец представляешь, то мог бы винт докрутить в головку то, не идеально имхо
    [ Ответить ]

    Re: Тактика лечения проксимального перелома бедра
    Лубенец Александр 05 Июнь 2016, 03:56
    На мой взгляд нормально. И вообще если обратиться к Кемпбелу и рассчитать ТAD( tip- apex distance) то все на снимке ок. Конечно при выраженном остеопорозе иногда приходиться располагать винт субхондрально, но это частные случаи. И еще... может уважаемый Игорь покажет что нибудь из своей практики ? ну как надо то..? А то критиковать знаете ли не сложно)))
    С уважение Лубенец Александр
    Кликните для загрузки файла TAD.jpg
    53KB (54383 bytes)

    [ Ответить ]

    Re: Тактика лечения проксимального перелома бедра
    Савранский Александр 05 Июнь 2016, 15:31
    Пока был на конференции- сколько комментов. Спасибо коллегам за специфический ортопедический сарказм, а Лубенцу Александру за поддержку. Снимки действительно интраоперационные, выложил что было под рукой, в телефоне. Оперирую без ЭОПа. По поводу пациентки не переживайте- давно ходит. Интересно все же, что получилось у топикстартера. Всем хорошего настроения!
    [ Ответить ]

    • Re: Тактика лечения проксимального перелома бедра
      Отправитель: Олег Шепета 06 Июнь 2016, 22:10
      Ровным счетом не получилось ничего. Не настроены ни пациентка, ни родственники к операции. Высокий болевой порог, способна к вертикализации (переворачивается в постели, садится с посторонней помощью) - это все не в сторону операции, да еще и сомнения у родственников все больше и больше к показаниям. Вообщем, наверное, не судьба. Спасибо за поддержку и все ответы

      [ Ответить ]
      • Re: Тактика лечения проксимального перелома бедра
        Отправитель: Савранский Александр 07 Июнь 2016, 00:33
        все что происходит- к лучшему- в 94 года рисков немало. будут другие пациенты :)

        [ Ответить ]
    • Re: Тактика лечения проксимального перелома бедра
      Отправитель: Юрий Кавецкий 22 Июнь 2016, 20:22
      Доброго дня! Александр а как без ЭОПа оперируете?)) В нашем доме здоровья тоже нет ЭОПа((. Научите!!

      [ Ответить ]
    Re: Тактика лечения проксимального перелома бедра
    Андрей Волна 14 Июнь 2016, 23:49
    Обращаю внимание, что Tip Apex distance (TAD) рассчитана Баумгартнером в 1993 (опубликовано 1995) для винта DHS. К гвоздям (их винтам, лезвиям) это вообще никакого отношения не имеет. Там иная физика.
    [ Ответить ]


    ( Ответить )

    Powered by Zope  Squishdot Powered MedLink
    Посетитель: 0391973
      "По форме правильно, а по существу - издевательство" В.И.Ленин
    ©2001-2019Orthoforum Coordinator.
    [ Главная | Отправить сообщение | Поиск | Админ ]