AOTRAUMA.ORG Центр Илизарова  

Ортопедия и травматология Общие вопросы/General questions Help Информационные технологии в медицине
 вверх
 отправить
 поиск
 админ
 главная


Новообразование стопы
Ортопедия и травматология Отправлено Олег 23 Июнь 2016, 01:34
Уважаемые коллеги помогите пожалуйста поставить диагноз.
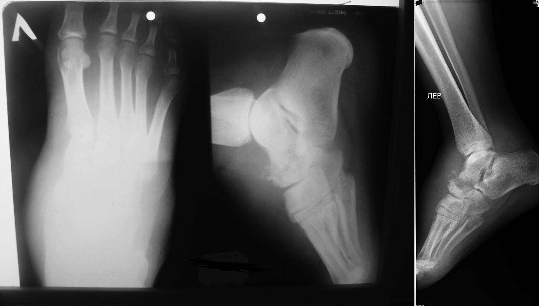
Пациент с жалобами на боль в стопе, усиливающуюся при ходьбе, объемное образование тыла стопы 6,0*6,0 см. Болеет около 1 года. Осмотрен онкологом онкодиспансера - без онкопатологии ( по результатам биопсии). Консультация тубостеолога - ТБС не обн. При исследовании обнаружили новообразование дистального метаэпифиза большеберцовой кости и бедренной кости. Помогите пожалуйста определиться с диагнозом и методом лечения.

<  |  >

 

  • Сообщения о Ортопедия и травматология
  • Также Олег
  • Связаться с автором
  • Ответить

    Re: Новообразование стопы
    Бен Эльайфар М. 23 Июнь 2016, 22:56
    Если онкологии нет, делайте ортродез.
    [ Ответить ]

    Re: Новообразование стопы
    Бережной Сергей 23 Июнь 2016, 23:15
    А все-таки что в биопсии? Каким способом она выполнялась? Нет онкологии, но что-то же есть? Сколько лет пациенту? Страдает ли сахарным диабетом? Есть ли симптомы периферической нейропатии? Ведь при такой деструкции не очень-то походишь, если только не нарушена чувствительность. Что за объемное образование: плотное, болезненное, подвижное? Может быть стоит прислать фото стопы и КТ бедренной кости? И томограммы стопы разбить на несколько частей, уж больно маленькие.
    [ Ответить ]

    • Re: Новообразование стопы
      Отправитель: Олег 23 Июнь 2016, 23:44
      Биопсия выполнялась дважды в онкодиспансере (как не знаю), в условиях отделения - троакаром. Результат: клетки крови с преобладанием лимфоцитов, единичные фиброциты, некротические массы, немного межуточного оксифильного вещества. Элементов злокачественного новообразования не обнаружено. Пациенту 50 лет. Из сопутствующей патологии гипотиреоз, анемия неясного генеза. СД нет. Новообразование умеренно плотное, не спаяно с кожей, не подвижное, безболезненное при пальпации. КТ бедренной кости нет. Рг-коленного сустава и детальноМРТ выложу чуть позже. Может быть есть какие-нибудь предположения?.

      [ Ответить ]
    Re: Новообразование стопы
    botsman 24 Июнь 2016, 10:11
    Обычная биопсия ничего не покажет!!!,хоть 10 биопсий сделать, нужно делать иммуногистохимический анализ, нужно срочно направить пациента в профильное учреждение!!
    [ Ответить ]

    • Re: Новообразование стопы
      Отправитель: Олег 24 Июнь 2016, 15:01
      А какие варианты возможны?

      [ Ответить ]
    Re: Новообразование стопы
    botsman 24 Июнь 2016, 21:58
    Вполне может быть диффузная B-крупноклеточная лимфома например, тем более есть анемия, направьте пациента в РОНЦ Блохина, там занимаются костными опухолями плотно, в любом случае без постановки диагноза какие либо операции делать нельзя!!
    [ Ответить ]


    ( Ответить )

    Powered by Zope  Squishdot Powered MedLink
    Посетитель: 0386317
      "По форме правильно, а по существу - издевательство" В.И.Ленин
    ©2001-2019Orthoforum Coordinator.
    [ Главная | Отправить сообщение | Поиск | Админ ]