Ответить
|
Re: Реостеосинтез плеча. Что дальше...?
Виталий 02 Июль 2016, 03:55
|

"первичный" снимок
|
[
Ответить ]
|
Re: Реостеосинтез плеча. Что дальше...?
Виталий 02 Июль 2016, 03:57
|
после неудачного реостеосинтеза
|
[
Ответить ]
|
Re: Реостеосинтез плеча. Что дальше...?
Виталий 02 Июль 2016, 04:00
|

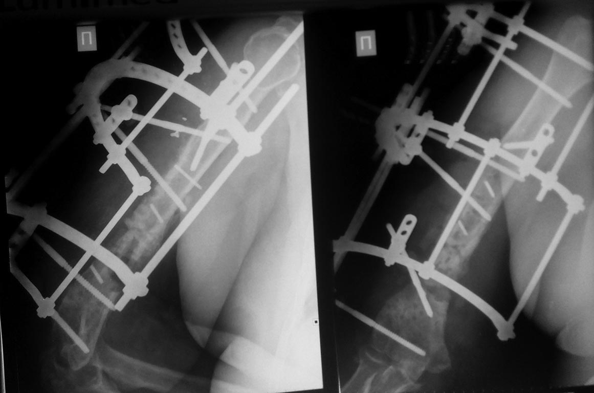
2 месяца с АВФ
|
[
Ответить ]
|
Re: Реостеосинтез плеча. Что дальше...?
Виталий 02 Июль 2016, 04:04
|

5 месяцев с АВФ
|
[
Ответить ]
|
Re: Реостеосинтез плеча. Что дальше...?
Виталий 02 Июль 2016, 04:06
|
5 месяцев с АВФ боковая
|
[
Ответить ]
|
Re: Реостеосинтез плеча. Что дальше...?
Виталий 02 Июль 2016, 04:07
|
внешний вид сейчас
|
[
Ответить ]
|
Re: Реостеосинтез плеча. Что дальше...?
Дедок Михаил 02 Июль 2016, 16:33
|
Потренируйте мозоль..
|
[
Ответить ]
|
Re: Реостеосинтез плеча. Что дальше...?
Павел Свешников 03 Июль 2016, 19:12
|
Как вариант, перкутанно по Бэку сделать Илизаровскими спицами, чтобы кость не горела и давить 1 мм/неделя+заставить человека взять в руки трость и ходить опираясь на трость, на Биосе прокатывает, по типу динамизации получается. Особенность верхней конечности, что она не опорная, искуственно это создать.
|
[
Ответить ]
|
Re: Реостеосинтез плеча. Что дальше...?
Отправитель: Павел Свешников 03 Июль 2016, 19:21
|
+ если не получится за 6 недель, дополнить костной пластикой из гребня на аппарате.
|
[
Ответить ]
|
Re: Реостеосинтез плеча. Что дальше...?
Отправитель: Виталий 03 Июль 2016, 22:52
|
Да в общем то это все делалось и давили и перфорировали, только разве что без трости.
А насчет гребня сейчас если открывать то это опять все сначала, пациент психологически не выдержит.
Это уж если после демонтажа АВФ пат подвижность появится то куда деваться, но и тогда уже и с гребнем вряд ли решение.
|
[
Ответить ]
|
|
Re: Реостеосинтез плеча. Что дальше...?
Виталий 03 Июль 2016, 23:06
|
Вопрос в том ждать ли еще пару месяцев, есть ли смысл, учитывая что пациент уже устал от аппарата а динамики за это время судя по всему не будет, или снимать сейчас?
|
[
Ответить ]
|
Re: Реостеосинтез плеча. Что дальше...?
Дедок Михаил 04 Июль 2016, 01:50
|
Тренировка мозоли " аккордным" методом ! Возьмите старые методички КНИИКОТ.
|
[
Ответить ]
|
Re: Реостеосинтез плеча. Что дальше...?
Андрей 04 Июль 2016, 14:04
|
Я бы тоже попробовал по тренировать костную мозоль в течении месяца . Чередовать компрессию с дистракцией.
|
[
Ответить ]
|
Re: Реостеосинтез плеча. Что дальше...?
Максим Попогребский 04 Июль 2016, 16:51
|
Виталий, если есть мостик и нет подвижности при расслаблении аппарата - компрессия с дистракцией ничего не дадут. Края кости там прилично склерозированы, ждать от них особенно нечего, на мой взгляд. Я бы готовил больного к костной пластике на аппарате. То что все зажило - уже не совсем плохой результат!
|
[
Ответить ]
|
Re: Реостеосинтез плеча. Что дальше...?
Отправитель: Максим Попогребский 04 Июль 2016, 16:52
|
ПС имел ввиду: совсем не плохой результат )
|
[
Ответить ]
|
Re: Реостеосинтез плеча. Что дальше...?
Отправитель: Виталий 04 Июль 2016, 23:18
|
Да вот это то и пугает, опять пластика и снова АВФ... Поэтому и задаюсь этим вопросом - снять сейчас и дать ему хоть несколько месяцев отдохнуть от аппарата?
|
[
Ответить ]
|
|
Re: Реостеосинтез плеча. Что дальше...?
Павел К. 14 Июль 2016, 01:25
|
Костный трансплантат лучевой кости на сосудистой ножке. Способ фиксации можно сохранить.
|
[
Ответить ]
|
Re: Реостеосинтез плеча. Что дальше...?
Paul 21 Июль 2016, 14:54
|
Я попробовал бы методику описанную в одном из Российских журналов: внутрипсевдоартрозное введение хемотрипсина на 2% лидокаине. Побочное действие - боль, потребуется дополнительное обезболивание. Можно ввести PRP как в область псевдоартроза, так и по периферии.
|
[
Ответить ]
|
( Ответить )
|