Ответить
|
Re: Сравнение долгосрочных результатов шевронной и scarf остеотомий
Александр Петрушин 10 Июль 2016, 20:51
|
Спасибо, интересно. Я так понял, что авторы статьи при шевронной остеотомии фиксировали фрагменты спицей Киршнера. Не слишком ли ненадежный способ фиксации, каково мнение специалистов?
|
[
Ответить ]
|
Re: Сравнение долгосрочных результатов шевронной и scarf остеотомий
Бережной Сергей 10 Июль 2016, 23:32
|
Точно выполненную шевронную остеотомию можно вообще не фиксировать, это демонстрируется во многих работах. И нужно учесть, что в статье анализируются 14-летние результаты. Тогда фиксация спицами была обычным делом. Зато наблюдений с таким сроком очень мало, в этом ценность работы.
|
[
Ответить ]
|
Re: Сравнение долгосрочных результатов шевронной и scarf остеотомий
Виталий 11 Июль 2016, 00:30
|
Огромное спасибо!! Сча почитаем!
|
[
Ответить ]
|
Re: Сравнение долгосрочных результатов шевронной и scarf остеотомий
Сергей 11 Июль 2016, 16:46
|
Спасибо!
|
[
Ответить ]
|
Re: Сравнение долгосрочных результатов шевронной и scarf остеотомий
Ниязов Нияз 11 Июль 2016, 18:17
|
Никогда не понимал популярность scarf остеотомии. Как после широкой мобилизации плюсневой, удаления экзостоза, Z остетомии плюсневой, потом ещё состригания краев после ротации заживает кость?!
Может кто нибудь поведать? Спасибо.
|
[
Ответить ]
|
Re: Сравнение долгосрочных результатов шевронной и scarf остеотомий
Ниязов Нияз 11 Июль 2016, 18:19
|
Никогда не понимал популярность scarf остеотомии. Как после широкой мобилизации плюсневой, удаления экзостоза, Z остетомии плюсневой, потом ещё состригания краев после ротации, остеосинтеза заживает кость?!
Может кто нибудь поведать? Спасибо.
|
[
Ответить ]
|
Re: Сравнение долгосрочных результатов шевронной и scarf остеотомий
Виталий 12 Июль 2016, 12:02
|
Делаю только scarf где то 3-5 в неделю, как и любой методикой нужен опыт и нужно владеть! Scarf это инструмент который позволяет сделать с m1все что нужно! Скелетирование не обязательно! Зависит опять же от опыта! Проксимально его почти нет! Очень стабильная остеотомия! Срастается хоть кортикал на кортикал ставь! Минус- нищета Российских больниц - нужен спец инструментарий, и винты! Конечно, в руках такого мастера как Бережной шеврон может и уступать! Scarf прощает ошибки, шеврон нет!
|
[
Ответить ]
|
Re: Сравнение долгосрочных результатов шевронной и scarf остеотомий
Отправитель: Виталий 12 Июль 2016, 12:03
|
Имел ввиду в руках мастера шеврон может и не уступать scarf!
|
[
Ответить ]
|
Re: Сравнение долгосрочных результатов шевронной и scarf остеотомий
Отправитель: Ниязов Нияз 12 Июль 2016, 17:24
|
Любой метод по своему хорош когда им хорошо владеют, а при равных условиях(опыт,инструменты возраст пациента и другие ) ? . Но опять же как в рекламе получается про стиральный порошок, оба порошка хороши но зачем платить больше. Я так и не понял метод стал популярен благодаря тому что могут быть нивелированы ошибки за счёт собственно методики?!
|
[
Ответить ]
|
Re: Сравнение долгосрочных результатов шевронной и scarf остеотомий
Отправитель: Виталий 12 Июль 2016, 17:49
|
Если брать сферическую операцию на 1 луче при наличии неограниченных имплантов, пил, фрез и прочего мне видится предпочтительным scarf.
По причине: выше стабильность, больше есть вариантов для коррекции, для смещений- больше плечо остеотомии, остеотомия с " замкнутым контуром" Лично у меня scarf заклинивает отлично даже без винтов думаю, даже на 1 винте держаться будет очень очень стабильно. Длинное плечо позволяет прогнозируемые повороты головки, позволяет дозированное прогнозируемое смещение, в тч плантаризацию, плюс 2 винта плюс большая плоскость контакта= быстрое сращение с надежным результатом. Выполенный шеврон с 2-3 степенью деформации большим ima не раз видел сваливание головки, вторичное смещение, нарушение коррекции! Субьективно пациенты лучше переносят scarf! С шевроном лично у моих пациентов выражены боли под головкой 1 плюсны! scarf как только уходят неприятные ощущения после операции они свободно ходят -максимум неделя. И еще на "шевроне" скорректировать тот же PASA нужен гораздо больший опыт! На scarf мне проще дается коррекция!
И насчет ошибок- головку развалите на шевроне, все. конец истории! На скарфе цеплять винтами всегда есть где!
Это лично мое ИМХО на опыте лечения данных пациентов.
И еще раз повторюсь все методы лечения хороши в руках автора и в руках того кто этим серьезно занимается!
Это очередной раз доказала данная статья! В моих руках , думаю, результат scarf был бы лучше чем шеврон моих же руках! То есть- делай то чем лучше владеешь как всегда пишет Сергей Юрьевич!
|
[
Ответить ]
|
Re: Сравнение долгосрочных результатов шевронной и scarf остеотомий
Отправитель: Ниязов Нияз 12 Июль 2016, 20:05
|
Спасибо понятно
|
[
Ответить ]
|
|
Re: Сравнение долгосрочных результатов шевронной и scarf остеотомий
Максим Попогребский 13 Июль 2016, 00:22
|
Допустим исследование рандомизированное. Но как авторы статьи собирали данные? Получается в лечении почти 80 больных в течении 15 лет методика остеотомии определялась на вскидку? И это при том, что абсолютно все корифеи всегда рекомендовали при меньших углах шеврон, а при больших - скарф...
Совершенно не представляю как можно шевроном повлиять на IMA около 20 градусов, как заявлено у авторов.
|
[
Ответить ]
|
Re: Сравнение долгосрочных результатов шевронной и scarf остеотомий
Бережной Сергей 13 Июль 2016, 03:43
|
Примеры (Word docx, 211 Kb)
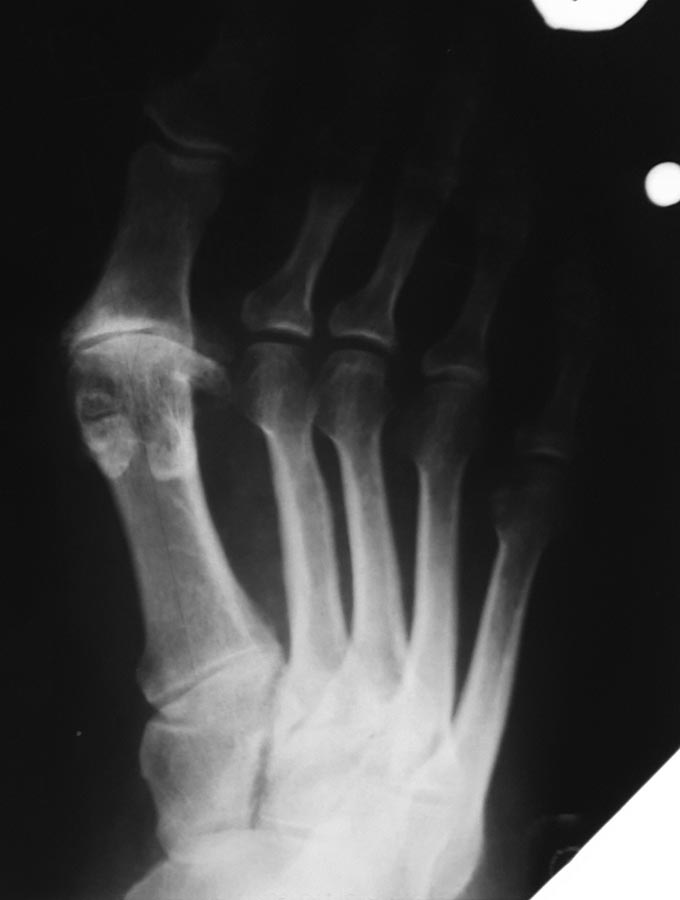
Не думал, что статья вызовет какую-то дискуссию. Просто выложил, как другие участники форума выкладывают ссылки на книжки, руководства и т.п. Но тема действительно актуальная. Вот Виталий (к сожалению, отчество не указано) пишет, что делает в среднем 3-5 скарфов в неделю. Выходит за 160 в год. И ничего больше? То есть при любом М1М2 - scarf? Это же ужасно. Ладно если угол больше 14-15 гр. Но М1М2 11-12 гр. и scarf? Из пушки по воробьям. Как бы мы хорошо не оперировали, всегда будет какой-то процент осложнений. Нагноения, краевые некрозы, повреждения нерва, послеоперационные гематомы, склонность к образованию ярких или гипертрофических рубцов - больше доступ, выше вероятность. Комплексный регионарный болевой синдром. Почти не зависит от нашего умения. А от операционной травмы зависит напрямую. Пусть и редкое осложнение, но тяжелое. Я с ним на консультациях регулярно встречаюсь. А пожилые пациенты с диабетом, варикозной болезнью, венозной недостаточностью? Тут за каждый сантиметр разреза переживаешь. И тоже всем scarf? Конечно, если в совершенстве владеешь какой-то техникой, показания к ней можно расширять. Но не до бесконечности. У нас сегодня scarf делают почти все. Технически операция сложная, с длинной кривой обучения. С осложнениями приходится встречаться постоянно. Особенно обидно видеть осложнения у пациентов с маленькими М1М2.
А насчет дизайна исследования (это уже Максиму). Речь в работе идет об оперированных 15 лет и больше назад пациентах. А не об оперированных в течение 15 лет. Средний срок наблюдения 14 лет. И задача исследования как раз состояла в том, чтобы сравнить эффективность двух видов остеотомий у одинаковых групп пациентов. А не подтвердить мнение "всех корифеев" о большем корригирующем потенциале scarf. Насчет рекомендаций корифеев тоже спорный вопрос. К примеру, в 2011 г. на III Международном конгрессе по малоинвазивной хирургии стопы в Брюгге целый симпозиум в рамках конгресса назывался "Шевронная остеотомия при XXXL деформациях". И еще, что за такой ориентир 20 гр.? Вполне средний угол. Особенно если речь идет о короткой и толстой М1. Я уже давно не делаю ни шевронные остеотомии, ни scarf. Но в качестве примера возможностей шевронной остеотомии во вложении - собственное наблюдение 7-летней давности. М1М2 25 гр. Пациентке 73 г. Послеоперационная рентгенограмма сделана через 2.5 мес., когда срослись остеотомии. А снимок стопы через 9 мес. А второй случай - пример относительности значения первого межплюсневого угла. Пациентка 67 лет. Гнойная рана на фоне рецидива деформации. Были выполнены хирургическая обработка раны с ушиванием наглухо и чрескожный артродез первого плюснеклиновидного сустава. М1М2 уменьшился с 31 до 19 гр. Этого оказалось достаточно для получения отличного косметического результата. И функционального. Фото стопы сделано через 18 мес. после операции. Выходит, что даже при М1М2 19 гр. стопа может выглядеть вполне симпатичной.
|
[
Ответить ]
|
Re: Сравнение долгосрочных результатов шевронной и scarf остеотомий
Виталий 13 Июль 2016, 08:48
|
У меня остаётся немало вопросов по техникам и планированию операций особенно при короткой М1 длинной фланге 1 пальца! На малых пальчиках делаю мини! На М1 мини шеде - да! Мини Эйкин да! Пробовал ляпиду не вышло)) занимаюсь всего пару лет так что больных только за сотню! Сейчас их много больше чем было раньше! И да, выходит всем скарф)!
|
[
Ответить ]
|
Re: Сравнение долгосрочных результатов шевронной и scarf остеотомий
Максим Попогребский 13 Июль 2016, 09:24
|
Сергей, по Вашей ссылке в случае Шеврона оказалась прилично укорочена М1.. PASA на вскидку около 40.. может для пожилого человека с нарушенной трофикой это и выход...
У пожилых кроме того есть трудности с фиксацией при малых остеотомиях, при скарфе фиксация гораздо надежней.
|
[
Ответить ]
|
Re: Сравнение долгосрочных результатов шевронной и scarf остеотомий
Виталий 13 Июль 2016, 21:21
|

По просьбам трудящихся)) сегодня сделан шеврон Эйкин 3dmmo!)) остеотомия вышла стабильно! Накосячил с параболой , не дал достаточного укорочения m1! Нужен опыт!))
|
[
Ответить ]
|
Re: Сравнение долгосрочных результатов шевронной и scarf остеотомий
Отправитель: Виталий 13 Июль 2016, 21:24
|

Фото до
|
[
Ответить ]
|
Re: Сравнение долгосрочных результатов шевронной и scarf остеотомий
Отправитель: Виталий 13 Июль 2016, 21:26
|
Пациентку беспокоила центральная метатарзалгия! Деформация 1 пальца по только поскольку
|
[
Ответить ]
|
|
Re: Сравнение долгосрочных результатов шевронной и scarf остеотомий
Максим Попогребский 14 Июль 2016, 12:59
|
Вы 2 раза выложили фото "после".
|
[
Ответить ]
|
Re: Сравнение долгосрочных результатов шевронной и scarf остеотомий
Бережной Сергей 15 Июль 2016, 03:14
|
Шеврон получился отлично. А вот интересно какова причина центральной метатарзалгии при отсутствии hallux valgus? У пациентки первая плюсневая кость длиннее остальных (один из самых частых предрасполагающих к развитию артроза факторов), признаки артроза первого плюснефалангового сустава 2-3 степени. Наверняка имелась выраженная тугоподвижность ПФС1. Может с этим была связана метатарзалгия? С переносом нагрузки на наружный край стопы из-за ограничения подвижности и болезненности сустава большого пальца? В этом случае вполне можно было ограничиться укорачивающей остеотомией М1 или каким либо вмешательством на ПФС1.
И чтобы закончить тему scarf "по любому случаю" - рентгенограмма с вчерашней консультации.

Пациентка оперирована 5 лет назад известным хирургом. Scarf при маленьком М1М2 (при отсутствии первичных снимков это легко представить по ориентации основания М1 и углу наклона суставных поверхностей первого плюснеклиновидного сустава). Одно из последствий операции - неоартроз между головками М1 и М2. Я такое впервые увидел.
|
[
Ответить ]
|
Re: Сравнение долгосрочных результатов шевронной и scarf остеотомий
Отправитель: Виталий 15 Июль 2016, 10:47
|
А как Вы относитесь к лечению метатарзалгии мортона dmmo?! Сейчас проталкивается такой тренд?!))
|
[
Ответить ]
|
|
Re: Сравнение долгосрочных результатов шевронной и scarf остеотомий
Бережной Сергей 15 Июль 2016, 23:06
|
Не знаю, о каком сегодняшнем тренде вы говорите. В книжке де Прадо 2003 г. "Чрескожная хирургия стопы" этот метод описывается в разделе предпочтения автора. Выходит, такие операции делались уже в конце прошлого века. Остеотомии наряду с рассечением межплюсневой связки. На мой взгляд, если речь идет о компрессионной или тракционной нейропатии нерва без его утолщения, т.е., без образования собственно невромы, такое лечение может помочь. Но если уже образовалась неврома - ее нужно удалять. А отличить друг от друга эти два состояния не просто. Я стараюсь всегда сделать открытый доступ - двух-сантиметровый тыльный разрез не более травматичен, чем 2 чрескожные остеотомии. Если нахожу неврому, то удаляю ее и на этом заканчиваю. Если нет - выполняю через этот же доступ остеотомии соответствующих плюсневых. Но здесь еще один вопрос возникает. Если пересечь только М3-4, не приведет ли это к метатарзалгии под головкой М2? А если пересекать М2-4 - не избыточно ли травматична такая операция? Работ, которые бы сравнивали результаты остеотомий М2-3 с результатами остеотомий М2-4 при лечении болезни Мортона я не встречал. Поэтому остеотомии плюсневых резервирую только на сомнительные случаи.
|
[
Ответить ]
|
Re: Сравнение долгосрочных результатов шевронной и scarf остеотомий
Отправитель: Виталий 17 Июль 2016, 11:14
|
Спасибо большое за ответ! Не о сегодняшнем тренде! А о том что сейчас проталкивается у нас в крае!
И еще небольшой вопрос! Литература о плантарном фасциите что почитать?! Что делать со стойким болевым синдромом при пяточных шпорах, когда стельки не помогают уже!
Например плосковальгусная стопа и стойкая боль под пяткой!
|
[
Ответить ]
|
Re: Сравнение долгосрочных результатов шевронной и scarf остеотомий
Отправитель: Ниязов Нияз 17 Июль 2016, 12:03
|
Из за этой дискуссии купил монографию А.А.Карданова Хирургическая коррекция деформаций стопы. Там написано про SCARF обладает максимальными возможностями коррекции многоплоскостных деформаций среди всех остеотомий диафиза М1 и так далее. Но в то же время там написано в каких случаях следуют применять ту или иную технику.
Получается всем подряд делать SCARF нецелесообразно. Я знаю многих оперирующих докторов, которые легкомыслено относятся к Халлюкс вальгус делаю только одну технику при всех случаях. Не видел их результаты, поэтому не могу их судить но перечитав две диссертации и две монографии, много статей и дискуссии на форуме понял что немалая это хирургия переднего отдела стопы и относится нужно серьёзно))))))
Советую всем купить эту монографию.
|
[
Ответить ]
|
Re: Сравнение долгосрочных результатов шевронной и scarf остеотомий
Отправитель: Бережной Сергей 17 Июль 2016, 13:52
|
Не готов.
|
[
Ответить ]
|
Re: Сравнение долгосрочных результатов шевронной и scarf остеотомий
Отправитель: Виталий 17 Июль 2016, 16:05
|
5 баллов)))!
Если не трудно поделитесь пожалуйста информацией насчёт плантарного фасциита сообщение выше!
|
[
Ответить ]
|
Re: Сравнение долгосрочных результатов шевронной и scarf остеотомий
Отправитель: Ниязов Нияз 17 Июль 2016, 19:33
|
Только я не понял насчёт не готов?!
Не готовы покупать или не готовы относиться серьёзно?
Там в книге между прочим и Ваш отзыв о книге (информация для тех кто ещё не приобрел эту книгу)
Книга интересная, а самое главное легко читаемая и написано много мелочей. Для человека который в силу специфики отделения раз в пол года оперирует Халюкс вальгус эти мелочи играют важную роль.
До этого читал заграничную монографию про хирургию переднего отдела, многих так называемых мелочей нет, поэтому трудно взять после книги пациента на стол прооперировать.
И вообще на русском языке мало посвящённой хирургии так называемой малой хирургией. Вот сейчас человека интересует плантарный фасциит, а на английском много.
|
[
Ответить ]
|
Re: Сравнение долгосрочных результатов шевронной и scarf остеотомий
Отправитель: Виталий 17 Июль 2016, 21:18
|
Стопа да тема очень и очень сложная! Как начинал заниматься не представлял куда выведет, счас вообще смотрю на первые свои результаты и в ужасе как эти люди еще ходят!
Что то доделал у своих первых пациентов! Начинал кстати с Майерсена читать! У меня нет свободного владения английским потому помогал переводить товарищ))! Насчет фасциита вот пишут что 90% излечиваются консервативно ортезированием!
На русском не встречал узко специализированной литературы с этим фасциитом вопросов полно!
Действительно нельзя относится к патологии стопы легко и делать всем одно и то же да еще и с наскоку!
Но здесь вели речь о дистальных остеотомиях М1! А вот тут можно выбрать и делать хорошо что то одно!
Плюс под каждую стопу добавлять к остеотомии М1 что нужно!
Кстати все скарфы уже дома, шеврон лежит что -то заживает не очень- мацерация, но думаю все разрешится ближайший день два.
Очень большое спасибо что старшие коллеги Сегей Юрьевич, Алексей Витальевич помогают разобраться подсказывают! Самому очень сложно бывает!
Еще для себя понял что очень важен анализ деятельности смотреть исходы не отпускать пациентов, активно приглашать на явки иметь обратную связь!
|
[
Ответить ]
|
Re: Сравнение долгосрочных результатов шевронной и scarf остеотомий
Отправитель: Бережной Сергей 17 Июль 2016, 19:39
|
Не туда ответ поместил. Не готов коротко ответить на Ваш вопрос. И литературу так сходу не назову. А книжку Карданова знаю, хорошая. Там мое предисловие, так что прочитал внимательно.
|
[
Ответить ]
|
Re: Сравнение долгосрочных результатов шевронной и scarf остеотомий
Отправитель: Бережной Сергей 17 Июль 2016, 19:47
|
Да нет, поместил туда. Какая-то на сайте засада. Второй раз размещает ответ в конце, а не под сообщением, на которое отвечаю.
|
[
Ответить ]
|
|
( Ответить )
|
|