Ответить
|
Re: Разрыв межберцового синдесмоза
Анонс Бехтерев 23 Июль 2016, 14:52
|
Так оставлять нельзя. Нужно срочно брать пациента в операционную и устранять подвывих. Если есть тазовые репетиционные щипцы, то можно закрыто сдавить берцовые кости и через мини-разрез установить позиционный винт.L
|
[
Ответить ]
|
Re: Разрыв межберцового синдесмоза
Виталий 23 Июль 2016, 16:16
|
не вышло влепить позиционный так как пластина установлена спереди)!
Я стандартно делаю так: укладка больного полубок-подушка под ягодицы,чтобы нога ротировалась как мне удобно кнутри! Далее доступ репозиция отломков и - межфрагментарный шуруп!!! Все! Спокойно моделируется пластина и укладывается либо по наружной либо по задне-наружной поверхности! Так как шуруп уже надежно держит! Тогда попадается нормально винтом)!
Прошу прощения вроде банальности пишу да простят меня коллеги ну ничо такого!
А здесь можно под ЭОП или без через прокол поставить какой нить винт сзади наперед снизу вверх как нить под пластиной не через пластину в надсиндесмозе! Если конечно верхний винт из за избыточной длины не мешается между берцовыми костьми!
|
[
Ответить ]
|
Re: Разрыв межберцового синдесмоза
Кожемяка Максим 24 Июль 2016, 01:33
|
Для позиционирования МБК мы в клинике широко используем endobutton-фиксацию: вправляем подвывих , фиксируем в правильном положении "вилку" щипцами, проводим endobutton. Плюсы есть, минусов нет. )))
|
[
Ответить ]
|
Re: Разрыв межберцового синдесмоза
Отправитель: Дедок Михаил 24 Июль 2016, 06:47
|
Минус есть, и значимый. Цена endobutton...
Винт в разы дешевле. И бесплатен для пациента.
|
[
Ответить ]
|
|
Re: Разрыв межберцового синдесмоза
Алибек 24 Июль 2016, 06:44
|
Не помешала бы и КТ для исключения переднего подвывиха малоберцовой кости.
|
[
Ответить ]
|
Re: Разрыв межберцового синдесмоза
Алибек 24 Июль 2016, 06:57
|
Извините за,может быть, наивный уточняющий вопрос: Не смог поставить позиционный винт или не смог устранить межберцовый диастаз? И давность травмы?
|
[
Ответить ]
|
Re: Разрыв межберцового синдесмоза
Отправитель: Бек 24 Июль 2016, 10:43
|
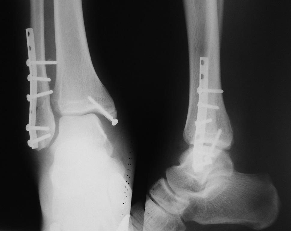
Не смог поставить позиционного винта
Так как отверсти пластины не совпадал перпендикулярно к ББК
|
[
Ответить ]
|
Re: Разрыв межберцового синдесмоза
Отправитель: Бек 24 Июль 2016, 10:46
|
ТРАВМА 15.07
Так то банальный перелом в этот раз не получилось стандартную операцию выполнять
|
[
Ответить ]
|
|
Re: Разрыв межберцового синдесмоза
Андрей 24 Июль 2016, 13:29
|
Взять повторно и установить винт , устранения подвывиха и все. Или даже болт стяжку на год. Что лучше и удобнее .
|
[
Ответить ]
|
Re: Разрыв межберцового синдесмоза
Алибек 24 Июль 2016, 17:38
|
A почему не поставить позиционный винт над пластиной? В данной ситуации это лучше чем ничего.
|
[
Ответить ]
|
Re: Разрыв межберцового синдесмоза
Алибек 24 Июль 2016, 17:47
|
Второй вариант- проволочная петля вокруг малоберцовой кости и пластины на уровне синдесмоза через два трансоссальных канала в ББК.
|
[
Ответить ]
|
Re: Разрыв межберцового синдесмоза
Бек 24 Июль 2016, 19:03
|
Спасибо, хорошое предложение
Завтра попробую убрать верхний винт и провести позиционный винт или над пластиной, если получится .
А данном случае под местной анестезией получится ли? Кто-нибудь не пробовал?
|
[
Ответить ]
|
Re: Разрыв межберцового синдесмоза
Бек 24 Июль 2016, 19:04
|
Спасибо хорошое предложение
Завтра попробоваю убрать верхнюю винта и провести позиционного винта или над пластиной если получется .
А данном случае под местной анестезии получется ли ? Кто небудь не пробовал?
|
[
Ответить ]
|
Re: Разрыв межберцового синдесмоза
Rt 24 Июль 2016, 19:57
|
А зачем болты-стяжки или проволока? Позиционный винт не обязательно через пластину проводить. В этом случае, пластина по передней поверхности, как и зачем-вопрос. Как суровый вариант, без реостеосинтеза, в повязка вилку сдавите.
|
[
Ответить ]
|
Re: Разрыв межберцового синдесмоза
Бережной Сергей 24 Июль 2016, 20:27
|
Позиционный винт на то и позиционный, что только фиксирует достигнутое во время операции удовлетворительное взаимоотношение дистальных концов берцовых костей или предотвращает подвижность их относительно друг друга в послеоперационном периоде. А здесь не устраненные диастаз и подвывих. Что изменит ведение позиционного винта? Нужно понять причину и устранить сохранившиеся после операции смещения.
|
[
Ответить ]
|
Re: Разрыв межберцового синдесмоза
Анатолий 25 Июль 2016, 15:06
|
Удалить 3 винт и через него ввести болт-стяжку или позиционный потоньше
|
[
Ответить ]
|
Re: Разрыв межберцового синдесмоза
Мракобез из Крыма 28 Июль 2016, 00:39
|
На мой взгляд, забавней всего будет такая тактика лечения данного случая:
1. Удалить проксимальный винт из пластины (через небольшой доступ) - он будет мешать при попытке стянуть аппаратом Илизарова межберцовый синдесмоз.
2. Наложить аппарат Илизарова, используя для стягивания межберцового синдесмоза спиц с напаем.
Аппарат - чтоб не травмировать лишний раз мягкие ткани.
P.S.Всем хорошего настроения.
|
[
Ответить ]
|
Re: Разрыв межберцового синдесмоза
Бек 28 Июль 2016, 14:17
|

Здравствуйте, коллеги
Через послеоперационную рану удалил проксимальный винт, откусил кусачками пару миллиметров
|
[
Ответить ]
|
Re: Разрыв межберцового синдесмоза
Бек 28 Июль 2016, 14:55
|
Смотрел на Первый снимок
Наверно здесь синдесмоз не разорван
Решил откусить винтика
|
[
Ответить ]
|
Re: Разрыв межберцового синдесмоза
Иван Савин 29 Июль 2016, 23:42
|
Так, не могу молчать. "Hot Heads"... Давайте (по памяти) освежу за что бьемся.
Синдесмоз на то и синдесмоз, а не синостоз. Эластичное соединение. Подвижно при шаге. Хоть и минимально, но это важно. Это эволюционное достижение двуногого примата, а не атавизм.
На этот сустав давит 50% веса тела при стоянии, 100% и более при шаге, беге, прыжке.
Идя на операцию, мы, коллеги, думаем о функции сегмента, а не о картинке на негатоскопе и прочем.
Так вот, если таран будет совершать не нужные, или не сможет совершать нужные микро и макро движения, тело ответит на это болями при ходьбе, обездвиживанием сустава разрастаниями и развитием крузартроза. Это всем понятно. Просто напомнил.
Поэтому на снимке, после остеосинтеза лодыжек, я не хочу видеть подвывих. Тем более явный.
Перелом 2 лодыжек говорит о грубом смещении тарана в момент травмы. Обычно либо ломается, либо рвется. Если на снимке перелом лодыжек, то коллатеральные связки и дельтовидная скорее всего целы и это они держась за таран и пяточную кость тягой сломали лодыжки. Если есть высокий перелом наружной лодыжки и нет перелома внутренней - я провожу ревизию вн. лодыжки и шов дельтовидной связки.
NB: Чем выше произошел перелом наружной лодыжки, тем вероятнее и грубее разрыв межберцового синдесмоза!!! Это потребует операции, даже при идеальной репозиции отломков и красивом снимке в гипсе. Даже если нет подвывиха тарана на первичном снимке.
В случае автора темы, перелом наружной лодыжки на уровне синдесмоза ( я называю это "чрезсиндесмозный" перелом лодыжки), и есть разрыв передней (по личному опыту) порции синдесмоза. Синдесмоз нестабилен, будет подвывих тарана. Это требует фиксации синдесмоза винтом. Винт проводится через малоберцовую кость в большеберцовую под углом 25-30* сзади наперед в фронтальной плоскости. Винт проводится горизонтально линии голеностопного сустава (я ее маркирую на коже). Обычно это делается через одно из отверстий пластины (бывает, что его приходится рассверлить до диаметра резьбы винта перед или в момент операции сверлом по металлу). Можно поставить винт вне пластины, используя шайбу или обрезок пластины с 1 отверстием (не выкидываю обрезки). Винт нужно стремиться расположить как можно ниже к суставу, но не ближе 1 см. Т.е. на уровне физиологичного синдесмоза.
Винт должен быть не зафиксирован в просверленном канале в малоберцовой кости, поэтому
берется винт с длинной шейкой или (если таковые не имеются вдруг) можно сделать канал в малоберцовой кости шире, чтоб резьба у головки не фиксировалась в стенках канала. Это динамическая фиксация. Это важно. В большеберцовой кости всегда фиксация в противоположном кортикале, иначе винт мигрирует, естественно. Нужно точно подобрать длину винта.
Не нужно затягивать винт изо всех своих мужских сил. Это ПОЗИЦИОННЫЙ винт. Подвывих устранен, и хватит. Тут легко вырабатывается мышечная память у хирурга. (У меня есть удобная С-дуга, иногда пользуюсь в конце операции.)
Винт нужно обязательно удалить перед разрешением ходьбы с полной нагрузкой на оперированную конечность. Я это делаю через 1,5 - 2 месяца и разрешаю переход с костылей на трость. Rg контроль через 3 мес. от операции. Остальные импланты снимаю через 6-12 мес. от операции.
Думаю, Бек не стоит обманывать себя разглядывая снимки. Нужно было подготовится к второй операции и ставить позиционный винт, возможно вне пластины, или сняв ее и рассверлив (приходилось рассверливать и на пациенте, что плохо), но возможна деформация такой тонкой пластины на этом уровне после рассверливания в силу давления винта.
Пример по теме: Сегодня оперировал женщину 50 лет, ожирение 3-4, изолированный чрезсиндесмозный перелом наружной лодыжки в мае 2016 без смещения отломков и подвывиха тарана. Наши соседи по области упорно много лет лечат переломы лодыжек почему-то лишь ЗАДНИМИ гипсовыми лонгетами на 2-3 мес. Мы настаиваем на U-образных. Пациентка честно 2 месяца носила гипс и не нагружала ногу. Перелом отлично консолидирован, на контроле через 1 и 2 мес – явный подвывих тарана. «Ничего..!», сказали ей. Она поехала к нам. Как и многие граждане ее района. Учитывая выраженное ожирение – крузартроз не за горами. Гипс выкинули, приготовили винты, шайбы, даже нашли винт с гайкой и шайбами. Ибо возраст начальной менопаузы, ожирение и 2 мес. без нагрузки внушали тревогу за плотность кости и возможность фиксации винта в кортикале. Но все получилось при помощи толстого винта с неполной высокой резьбой и шайбой. ЭОП-контроль – фиксация хорошая, подвывиха нет. Думаю, к сожалению для пациентки, придется разгрузить ногу еще на 2 мес. (и никакого гипса!), потом снять винт и начальная нагрузка. Пока пусть разрабатывает суставы без нагрузки.
Простите, увлекся, нашло вдохновение. Написал пост больше, чем Джолдас Кульджанов. : ) Люблю его ответы читать.
|
[
Ответить ]
|
Re: Разрыв межберцового синдесмоза
Отправитель: Бережной Сергей 30 Июль 2016, 01:39
|

Чтобы зря не спорить, во вложении 2 странички из руководства Мюллера и Алльговера в переводе Королева. Книжка старенькая, но не думаю, что за прошедшие с ее выхода годы в обсуждаемом вопросе многое изменилось. В том числе, не изменилось понятие позиционного винта. А то, что Вы описываете - это стягивающий винт. Написали действительно увлеченно. Но вдохновение, похоже, нашло на камень. Точнее, на классическое руководство.
|
[
Ответить ]
|
Re: Разрыв межберцового синдесмоза
Отправитель: Иван Савин 30 Июль 2016, 02:10
|
Когда я, неопытный травматолог, пришел к своему Учителю и начал говорить, что "...вот мы сделали хорошо, но в Руководстве..."
Он меня перебил и сказал - "Нет догм." Посмотрел в глаза и повторил - "Нет.Догм."
Сергей, я знаю Вас и уважаю ваш опыт и авторитет. Спасибо за отзыв. Нет.Догм. Не нужна резьба в лодыжке. Разойдемся при своих :)
|
[
Ответить ]
|
Re: Разрыв межберцового синдесмоза
Отправитель: СK 30 Июль 2016, 18:40
|
ну это уже отсебятина какая-то
|
[
Ответить ]
|
|
Re: Разрыв межберцового синдесмоза
Бережной Сергей 31 Июль 2016, 23:44
|
Дело здесь вовсе не в догматизме, а в необходимости пользоваться в общении единой терминологией, позволяющей правильно понимать друг друга. То, что Вы написали, возможно и правильно с точки зрения тактики лечения. Это я не хотел никак оспаривать. Речь о другом. Если кто-то из нас пишет, что нужно использовать в процессе остеосинтеза кортикальный винт, другой соглашается, но представляет в голове вместо кортикального спонгиозный винт, а третий пишет, что кортикальный винт - это догма и на самом деле он стягивающий, то так мы будем просто напросто говорить на разных языках. А хотелось бы на одном.
Позиционные винты могут устанавливаться очень по-разному. На разном расстоянии от линии сустава, с захватом обоих кортикалов большеберцовой кости или (чаще) только одного. В последнее время некоторые травматологи ставят очень короткие позиционные винты, едва проходящие через ближний кортикал. Чтобы не удалять этот винт впоследствии. Аргументируют тем, что зона лизиса, образующаяся вокруг винта с началом активной ходьбы, позволяет ему не ломаться, а микроподвижность бессимптомна. Но как бы не устанавливался позиционный винт, основное остается неизменным: он только фиксирует достигнутое во время операции положение. Не стягивает берцовые кости, не устраняет подвывих.
|
[
Ответить ]
|
( Ответить )
|
|