вверх
отправить
поиск
админ
главная
|
После вправления вывиха бедра |
 |
 |
 |
Отправлено Сергей 25 Июль 2016, 09:37
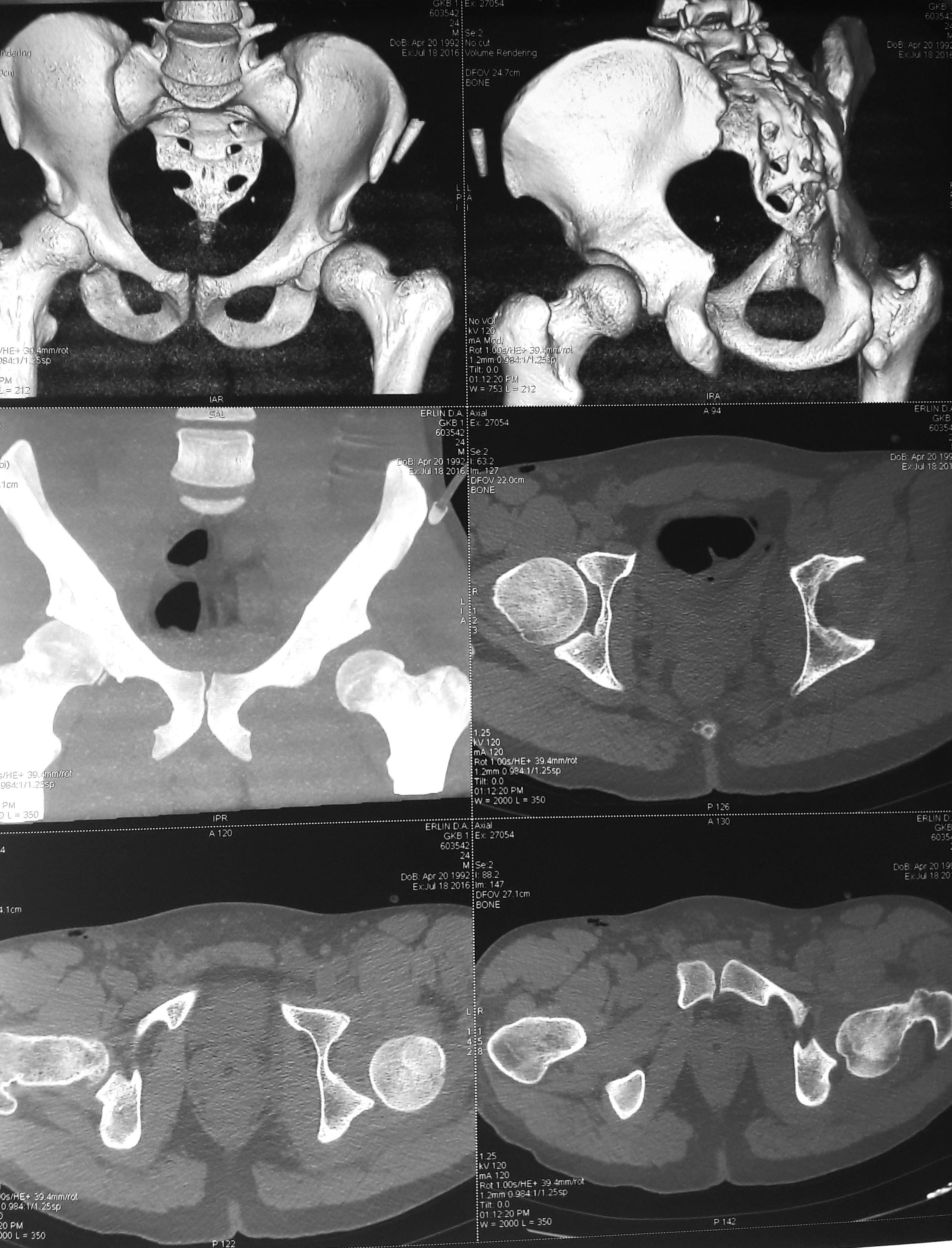
Уважаемые коллеги!Пациент, 24 года, автодорожная травма, неделю назад. Закрытый вывих бедра слева, рваная рана промежности, гематома мошонки. При поступлении вправление вывиха, пхо раны. Деротационная шина.На следующий день-на контроле-повторный вывих повторное вправление, скелетное вытяжение. Rn-граммы и КТ высылаю. Это недовправленный вывих, интерпозиция м/тканей или парез мышц,участвующих в позиционировании головки? Пока на ваытяжении. Что дальше с ним делать? Спасибо.
<
|
>
|
|
Ответить
|
Re: После вправления вывиха бедра
СK 26 Июль 2016, 19:24
|
непосредственно после репозиции снимки не делали?
|
[
Ответить ]
|
Re: После вправления вывиха бедра
Отправитель: Сергей 27 Июль 2016, 08:24
|
После вправления снимки делали, такая же картина как на 1 Rn- грамме. а на утро- вывих в деротационной шине. Поэтому скелетное вытяжение сделали.
|
[
Ответить ]
|
|
Re: После вправления вывиха бедра
СK 26 Июль 2016, 19:24
|
непосредственно после репозиции снимки не делали?
|
[
Ответить ]
|
Re: После вправления вывиха бедра
Бережной Сергей 26 Июль 2016, 22:00
|
Случай не самый обычный. Выраженная дисплазия вертлужной впадины. Покрытие головки недостаточное. Того, к чему мы привыкли, когда вправленную головку так просто снова не вывихнешь, здесь не будет. Она и до травмы во многом держалась за счет мягких тканей, которые теперь повреждены. Может и парез каких-то мышц есть, по снимкам не скажешь. Что делать дальше? Наверное снять вытяжение. Какова его цель в данном случае? Если есть ЭОП можно было бы посмотреть, что происходит при вправлении. Действительно ли головка вправляется и в каком положении ноги удерживается в суставе? Если удерживается, попробовать зафиксировать ногу в этом положении (АВФ?). А если не вправляется, думать об открытом вправлении с последующей фиксацией. И что за рана в промежности? Насколько обширная, как заживает, позволяет ли оперировать? И еще, нет ли у пациента разрыва крестцово-подвздошного сочленения?
|
[
Ответить ]
|
Re: После вправления вывиха бедра
Отправитель: Сергей 27 Июль 2016, 11:49
|
Рана 10 см., заживает. Швы планируем в ближайшие дни снять. Разрыва кпс нет, посмотрели на КТ повторно, все симметрично во всех проекциях.
|
[
Ответить ]
|
Re: После вправления вывиха бедра
Отправитель: Бережной Сергей 28 Июль 2016, 00:24
|
Если рана спокойная и позволяет оперировать то мне добавить нечего: попытка вправления под ЭОПом. Если вправилось и не вывихивается самопроизвольно - хорошо. Если вывихивается только при определенных движениях или положениях ноги - придать ноге стабильное положение и зафиксировать каким-нибудь из нехирургических способов. Если вправилось, но вывих легко рецидивирует - вправить и зафиксировать в АВФ. А если не вправляется - открывать, устранять возможное препятствие вправлению. Дальше - как и при закрытом вправлении.
|
[
Ответить ]
|
Re: После вправления вывиха бедра
Отправитель: Виталий 28 Июль 2016, 02:34
|
Простите а где Вы здесь увидели ВЫРАЖЕННУЮ дисплазию. Конечно философски можно любой сустав назвать диспластичным, но ... Ну незначительная может и присутствует не более, я бы назвал это вариантом. Прост за живое задело, раздражает когда слишком часто и необоснованно коллегами выставляется дисплазия тазобедренных суставов. А случай конечно неординарный. Думаю здесь имеет место полный отрыв губы с возможным односторонним разрывом мышц. Прогноз неблагоприятный суставу несомненно не жить. Но в среднесрочной перспективе здесь достаточно простое протезирование, а сейчас конечно открывать и артропластика.
|
[
Ответить ]
|
Re: После вправления вывиха бедра
Отправитель: Бережной Сергей 29 Июль 2016, 02:21
|
Смешно написали. Разве это достаточный повод для раздражения? Чтобы о нем всем сообщать. А может быть Ваши коллеги правы? Расчертили бы на снимке референтные линии и показали убедительно, что никакой дисплазии тут нет. А впустую раздражаться...
|
[
Ответить ]
|
|
Re: После вправления вывиха бедра
Абдуев В.Б. 27 Июль 2016, 00:21
|
Интерпозиция, требуется устранить открыто. С Ув. АВБ
|
[
Ответить ]
|
Re: После вправления вывиха бедра
Отправитель: Виталий 27 Июль 2016, 09:34
|
А интерпозиция чего там может быть?
|
[
Ответить ]
|
Re: После вправления вывиха бедра
Отправитель: Андрей Волна 27 Июль 2016, 11:15
|
Вкладыша, наверное..:)
Я бы вправлял под контролем с помощью С-дуги. Для того, что бы убедиться, что вывих действительно вправлен, первое, и, второе, насколько стабильно (а по всем основаниям должно быть стабильно) вправление. Ну, а дальше решение уже зависит от этого вправления и одновременно теста
|
[
Ответить ]
|
Re: После вправления вывиха бедра
Отправитель: Абдуев В.Б. 27 Июль 2016, 23:46
|
Капсула, возможно сорванный хрящ с головки, вместе со связкой головки. Поэтому, не стоит играться с дополнительными закрытыми вправлениями.
|
[
Ответить ]
|
|
Re: После вправления вывиха бедра
Сергей 28 Июль 2016, 11:08
|
Аналогичный случай был недавно. Все попытки закрытого вправления, в том числе под наркозом с помощью ЭОПа, безуспешны. На открытом вправлении стало понятно, что капсула с частью отслоившейся губы просто вворачивалась внутрь головкой и создавала неустранимую интерпозицию. Выкроили окно в капсуле, устранили вывих, по мере возможностей постарались закрыть головку. Иммобилизация в деротационке с отведением. Прогноз для головки бедра, скорее всего, после вправления неблагоприятен и пациент об этом предупрежден. Посмотрим как скоро..
|
[
Ответить ]
|
Re: После вправления вывиха бедра
Сергей 29 Июль 2016, 13:37
|
Спасибо за совместное обсуждение. Больному швы сняли? Рана промежности зажила. Планируем в понедельник ревизию и вправление вывиха головки левой бедренной кости.
|
[
Ответить ]
|
Re: После вправления вывиха бедра
Сергей 29 Июль 2016, 19:11
|
Спасибо за совместное обсуждение. Больному швы сняли. Рана промежности зажила. Планируем в понедельник ревизию и вправление вывиха головки левой бедренной кости,пластику местными тканями.
|
[
Ответить ]
|
Re: После вправления вывиха бедра
Отправитель: Андрей 30 Июль 2016, 14:18
|
Спасибо большое Сергей, желаю удачи.
Напишите пожалуйста как все прошло!
|
[
Ответить ]
|
|
Re: После вправления вывиха бедра
Сергей 02 Август 2016, 13:18
|
Rn-грамма и фото после операции. Со слов коллег( сам не участвовал) была интерпозиция фрагмента мышцы, больше кзади. Еще раз всем спасибо за активное обсуждение.
|
[
Ответить ]
|
( Ответить )
|
|