AOTRAUMA.ORG Центр Илизарова  

Ортопедия и травматология Общие вопросы/General questions Help Информационные технологии в медицине
 вверх
 отправить
 поиск
 админ
 главная


Стопа
Ортопедия и травматология Отправлено Андрей 04 Август 2016, 17:27
Добрый день, уважаемые коллеги!

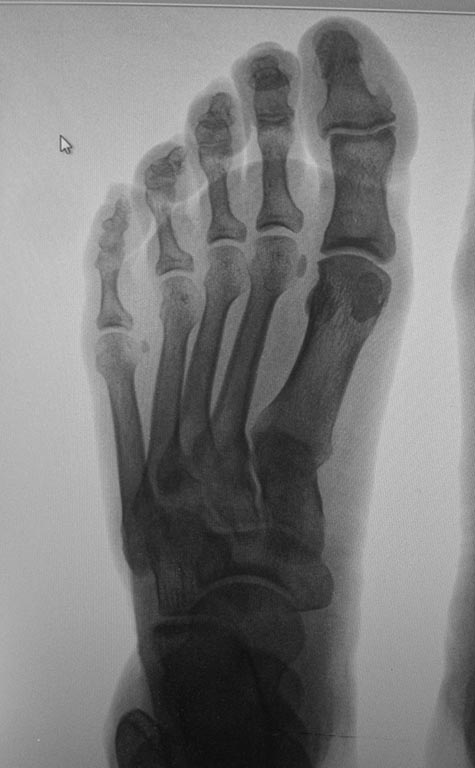
Обратилась женщина с жалобами на выраженную боль, натоптыши в области проксимальных межфаланговых суставов V пальцев стоп.
У больной имеется деформация Тейлора ( угол М4М5 11.5 с двух сторон под нагрузкой). В области пятого плюснефалангового сустава деформация. Боли, гиперемии нет.
Достаточно ли в данном случае остеотомии пятой плюсневой кости с нормализацией угла М4М5 и укорочением?

<  |  >

 

  • Сообщения о Ортопедия и травматология
  • Также Андрей
  • Связаться с автором
  • Ответить

    Re: Стопа
    Анатолий 05 Август 2016, 14:31
    зачем же оперировать пятую плюсневую кость, если "Тейлора" не проявляется клинически? Выровняйте 3,4 пп. открыто, или,если владеете техникой- чрескожно (что проще и лучше для пациента).
    [ Ответить ]

    Re: Стопа
    Андрей 05 Август 2016, 21:54
    Анатолий, вы имеете в виду удаление экзостозов или остеотомию 3,4 пальцев? Если остеотомию, то на каком уровне, какой угол устранять и чем фиксировать?
    [ Ответить ]

    Re: Стопа
    Максим Попогребский 06 Август 2016, 22:14
    Если Тейлора бессимптомная, не хотите просто основную фалангу 5го пальца укоротить?
    [ Ответить ]

    Re: Стопа
    Андрей 08 Август 2016, 23:31
    Спасибо за комментарии. Хотелось узнать мнение Бережного Сергея Юрьевича.
    [ Ответить ]

    Re: Стопа
    Виталий 10 Август 2016, 11:03
    Хотелось бы фото подошвы, увидеть что за натоптыши там!
    Когда с чего началось? Как проявляется усиливается нет? Раз пришла на операцию наверное беспокоит что то значимое!
    А вообще да, 5 плюсна опорная, нужно подумать надо / нет это вмешательство!
    [ Ответить ]

    Re: Стопа
    Андрей 10 Август 2016, 17:19
    На подошве натоптышей нет. Боли в области пятых пальцев беспокоят в течении 3 лет, усилились в течении года. На данный момент интенсивность болей такая,что "согласна на ампутацию мизинцев". Боли связаны с ношением обуви, смена обуви результатов не дала.

    [ Ответить ]

    • Re: Стопа
      Отправитель: Виталий 10 Август 2016, 23:29
      Ну ЧО)))) ждем Бережного, я чесслово не встречался!
      С чем связано непонятно. значит к чему приведет остеотомия М5 тож непонятно!

      [ Ответить ]
    Re: Стопа
    Бережной Сергей 18 Август 2016, 03:14
    Был в отпуске без доступа к интернету.
    Если еще актуально, то болезни портных тут не видно. А боль может быть связана с давлением на мозоли, образовавшиеся поверх выпуклостей на тыльнолатеральной поверхности головок основных фаланг пятых пальцев или оснований средних фаланг. Ситуация достаточно частая. Сориентироваться легко под ЭОПом. Или с помощью рентгена с метками, если нет ЭОПа. Можно инъекционную иглу воткнуть до упора в выпуклость и сделать снимок. Чтобы избежать позиционных искажений. А потом убрать эти выпуклости. Чрескожно или открыто, в зависимости от возможностей.

    [ Ответить ]

    • Re: Стопа
      Отправитель: Виталий 18 Август 2016, 21:18
      Спасибо! Актуально всегда! А попутно ещё вопрос как вы относитесь в чрескожному удалению #шпор# при фасциите? Насколько помогает?

      [ Ответить ]
      • Re: Стопа
        Отправитель: Бережной Сергей 19 Август 2016, 23:40
        Про-моему, уже давно стало почти аксиомой знание о том, что пяточные шпоры не участвуют в формировании болевого синдрома при подошвенном фасциите или состоянии, называемом "пяточной шпорой". Основной компонент операции - парциальная или тотальная фасциотомия. А шпору удаляют больше для пациента и врачей, не знакомых с природой болей при данном заболевании. Чтобы не было лишних вопросов. Я к оперативному лечению подошвенного фасциита отношусь скептически. Убежден, что в 99,9% случаев его можно вылечить консервативными методами: НПВС, блокады с кортикостероидами, каблук 4-5 см, упражнения на растяжение подошвенно-ахиллово-икроножного комплекса, стельки, физиотерапия, ударно-волновая, рентгенотерапия и т.д. Главное - сразу настроить пациента на длительное, 4-6 мес., течение заболевания. Если же есть желание набрать пациентов на операцию - сложностей не возникнет. Их множество.

        [ Ответить ]
        • Re: Стопа
          Отправитель: Виталий 21 Август 2016, 02:12
          Спасибо! Желания нет! Интересно было мнение ваше)))! Их и у меня множество! Коллега вот удаляет радуется! Я ни разу не делал! Бывают стойкие болевые синдромы! Также лечу консервативно! Вот потому вопрос получился! Спасибо за ответ!

          [ Ответить ]

     

    ( Ответить )

    Powered by Zope  Squishdot Powered MedLink
    Посетитель: 0000053
      "По форме правильно, а по существу - издевательство" В.И.Ленин
    ©2001-2019Orthoforum Coordinator.
    [ Главная | Отправить сообщение | Поиск | Админ ]