Ответить
|
Re: Последствия вмешательства на стопе
Тони 20 Август 2016, 10:09
|
Здравствуйте. Я бы удлиннил 1 плюсневую кость в миниаппарате с последующим артродеза, или артродез с костной пластикой, без удлинения. Вейль 2,3.
|
[
Ответить ]
|
Re: Последствия вмешательства на стопе
erokhin alexandr 20 Август 2016, 14:24
|
1.Удивительно,что еще где-то делается операция Вредена-Мейо. В 80-х иногда такие картинки видел,сейчас нет.
2. Ну,что мучить женщину операциями.Головки все равно не создашь. Эндопротез?- Да,тоже сомнительно,что будет эффект( разболтается?),впрочем не знаю- таких больных не наблюдал.
Гелевая подушечка,компрессы с димексидом и долгит.
|
[
Ответить ]
|
Re: Последствия вмешательства на стопе
Отправитель: Alexander Larionov 21 Август 2016, 11:21
|
Да еще в кривом исполнении. У меня есть пациентка после Вредена 18 лет, но она довольна результатом.
Скарф с обратными углами уменьшит 1 ПФ угол и удлинит 1 плюсневую кость. А дальше - по ситуации. Подойдет протез, значит протез, нет, значит артродез.
ААЛ
|
[
Ответить ]
|
|
Re: Последствия вмешательства на стопе
Виталий 21 Август 2016, 00:53
|
Чрескожная остеотомия под головками 2,3, 4,5 плюсневых костей! Либо открытая остеотомия тех же костей уровень - внесуставная, дистальная! Тейпирование стоп, ходьба в повязках с нагрузкой 4 недели, затем реабилитация! Удлинить м1 не выйдет, то есть может технически выйдет тока 1пфс будет нерабочий! Потому малую плюсну прийдется подогнать под параболу!
|
[
Ответить ]
|
Re: Последствия вмешательства на стопе
Alexander Larionov 21 Август 2016, 11:20
|
О как! Кривой Вреден! Наверное удлинняющую 1 пф кость остеотомия, по типу Скарф и попробовать протез 1 ПФС. КТ или МСКТ бы для начала.
ААЛ
|
[
Ответить ]
|
Re: Последствия вмешательства на стопе
Отправитель: Alexander Larionov 21 Август 2016, 11:20
|
Или артродез, если протез не впишется.
ААЛ
|
[
Ответить ]
|
|
Re: Последствия вмешательства на стопе
Dr.Aharon Liberson 21 Август 2016, 11:22
|
Thank you for this interesting case, the patient looks to be Rhecumatoid and her function should be dependent on other joints function. If she would be 70, I would resect 2-5 MP joints. If her function is good, a fusion in the operated side, with trial of elongation is a good idea. A lot of surgery assuming she doesn't have infection. Good luck in this difficult case. Dr Liberson.
|
[
Ответить ]
|
Re: Последствия вмешательства на стопе
Бережной Сергей 21 Август 2016, 12:36
|
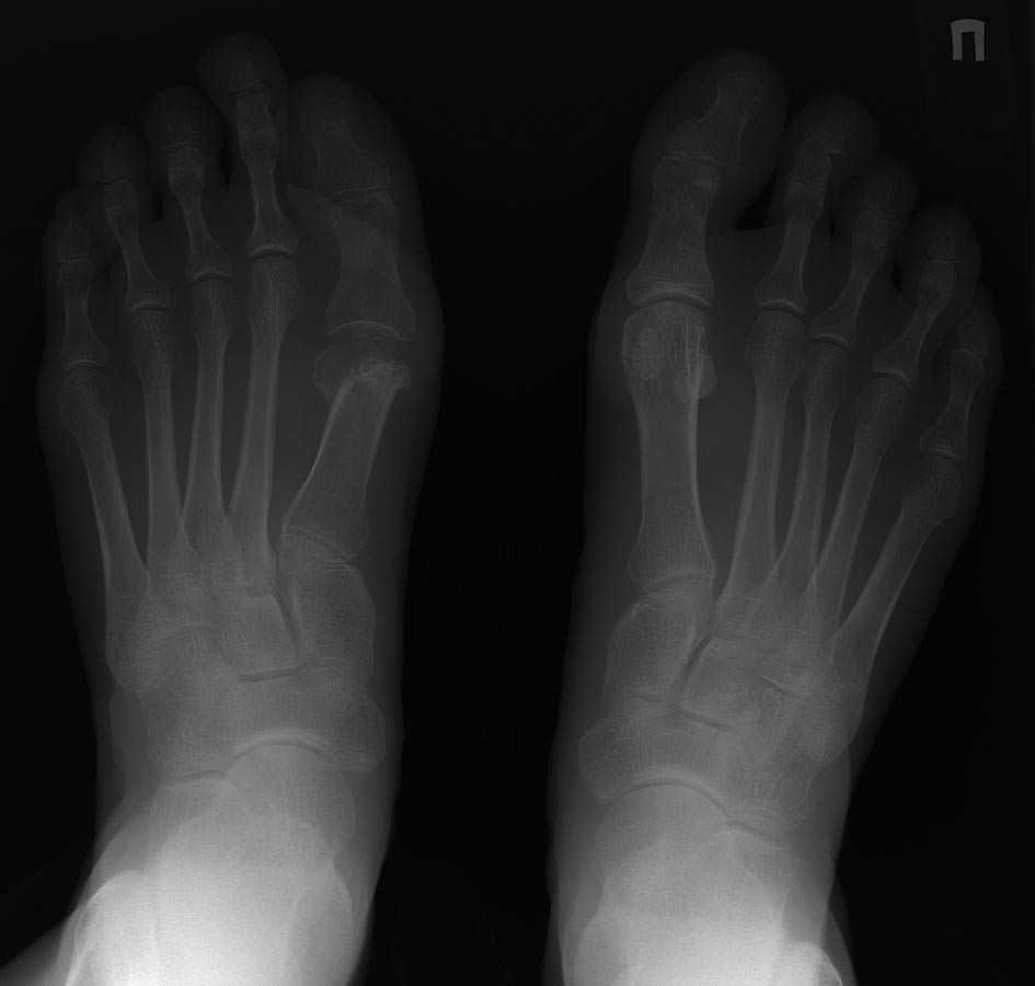
Если судить по второй стопе (длинная М1, нормальный М1М2 и отклонение 1-го пальца кнаружи по типу hallux valgus interphalangeus), речь изначально могла идти о hallux limitus (о подвижности первого пальца на оперированной и здоровой стопах мы не знаем) и вмешательство на М1 с целью устранения hallux valgus было не нужно. Достаточно было остеотомии основной фаланги. Возможно, остеотомия М1 была выполнена с целью ее укорочения? В этом случае цель достигнута с избытком. Конечно, стопы и до операции могли быть разными. Не очень понятна причина боли в области сустава большого пальца. За счет укорочения достигнута выраженная декомпрессия в суставе, признаков артроза нет, асептического некроза тоже нет. Почему болит?Может головка М1 "кивнула" вниз при остеотомии и срослась в положении подошвенного сгибания? Тогда артродез будет сложно выполнить и он не даст желаемого результата. И протез фиксировать в такой головке тоже крайне проблематично. Нужна рентгенограмма в боковой проекции. Еще лучше - КТ. Возможно, окажется необходима корригирующая реостеотомия М1. С латеральными лучами понятнее. Хотя, было бы неплохо узнать, есть ли натоптыши под головками М2-3. Фотографии стопы тоже не помешали бы.
|
[
Ответить ]
|
Re: Последствия вмешательства на стопе
Отправитель: Николай 22 Август 2016, 20:15
|
Всем огромное спасибо за достаточно живое обсуждение этого случая! К сожалению более подробной информации предоставить не могу, так как эта пациентка приходила в поликлинику к моему коллеге и он направил ее на оперативное лечение в стационар и попросил ее вынести на повестку дня:).
К58815_Крылова, Альбина, Борисовна_I0145240.002.JPG
90KB (93062 bytes)
|
[
Ответить ]
|
|
Re: Последствия вмешательства на стопе
Сикей 24 Август 2016, 18:07
|
Николай, доброго дня! А можно просто фото стопы?
Склоняюсь к варианту: Скарф и артродез 1 ПФС. Благодарю!
|
[
Ответить ]
|
Re: Последствия вмешательства на стопе
Бережной Сергей 25 Август 2016, 09:43
|
Интересно, скарф и артродез предлагаете сделать в один этап?
Хотя обсуждение и потеряло во многом смысл, ввиду того, что пациентка давно отправлена на операцию к другому врачу, но все-таки консолидация головки в положении подошвенного сгибания дает возможность думать о выполнении реостеотомии, позволящей восстановить ее правильное положение и, соответственно, увеличить длину. Можно ли добиться такой коррекции остеотомией скарф? Не представляю.
|
[
Ответить ]
|
Re: Последствия вмешательства на стопе
Отправитель: Сикей 25 Август 2016, 19:17
|
Как мне представляется такая ситуация. Попытаться вывести длинну на сколько это возможно, а от головки там ничего и не осталось, разве что фрагмент контактирующий с сесамовидными костями, за ним гонятся не надо. Артродез скорее всего вторым этапом.
|
[
Ответить ]
|
Re: Последствия вмешательства на стопе
Отправитель: Максим Попогребский 27 Август 2016, 00:39
|
Головки там не наблюдается. Я за артродез и удлиннение.
|
[
Ответить ]
|
Re: Последствия вмешательства на стопе
Отправитель: Максим Попогребский 27 Август 2016, 00:39
|
Головки там не наблюдается. Я за артродез и удлиннение.
|
[
Ответить ]
|
|
Re: Последствия вмешательства на стопе
Андрей 02 Сентябрь 2016, 21:04
|
Многоуважаемый Сергей Бережной, боли возникают по причине отсутствия головки 1 плюсневой кости,вследствие чего возникает выраженная нагрузка на 2 и 3 плюснефаланговые суставы вследствие этого и возникают метатарзалгии в вышеуказанных областях. На мой взгляд нужно попробовать сделать артродез 1 плюснефалангового сустава(можно с небольшим аутотрансплантатом - во Вредена как то этим занимались вроде) и плюс Вейль на 2 и 3. Не судите строго за мнение.
|
[
Ответить ]
|
Re: Последствия вмешательства на стопе
Отправитель: Бережной Сергей 03 Сентябрь 2016, 01:33
|
Многоуважаемый Андрей.
Причина центральной метатарзалгии в данном случае очень понятна, так же как и то, что нужно делать по этому поводу: любые укорачивающие и поднимающие головки М2-3 (4?) остеотомии. Но автор поста написал о болях в суставе большого пальца. Для меня причина этой боли непонятна. Соответственно, и что делать по данному поводу неясно. Говорить, что у пациентки полностью отсутствует головка М1 мы не можем. Во вложении я обрисовал то, что точно осталось от головки.

Но в каком положении находится этот фрагмент и насколько он велик, и есть ли еще остатки головки, без рентгенограммы в боковой проекции или КТ я не знаю. Предположим, что будет выполнен артродез. Если для его выполнения резецировать остатки головки, то при таком большом расстоянии между М1 и основной фалангой, как сейчас, даже установка между артродезируемыми поверхностями трансплантата толщиной 1 см приведет к еще большему укорочению первого луча. Избавит ли такой артродез пациентку от болей? Очень сомневаюсь. Потому что не понимаю, чем анкилоз ПФС1 будет лучше представленного на снимках состояния. К сожалению, без дополнительной информации дальнейшее обсуждение данного случая потеряло смысл.
|
[
Ответить ]
|
|
( Ответить )
|
|