AOTRAUMA.ORG Центр Илизарова  

Ортопедия и травматология Общие вопросы/General questions Help Информационные технологии в медицине
 вверх
 отправить
 поиск
 админ
 главная


Перелом лодыжек 44 С
Ортопедия и травматология Отправлено Андрей Панченко 23 Август 2016, 22:45
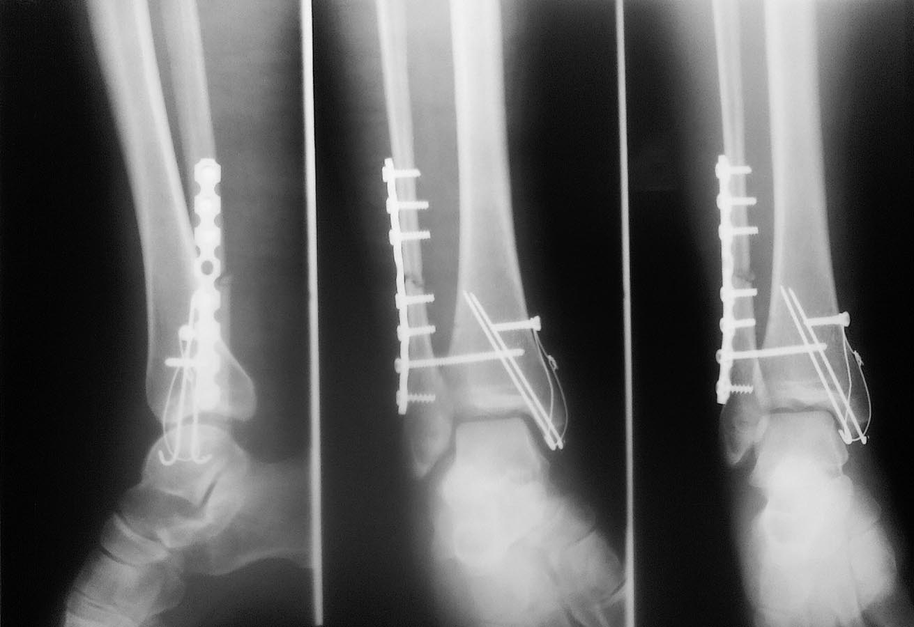
Уважаемые коллеги. Пациентка, 34 года получила травму в результате ДТП 06.08.2016. Перелом лодыжек 44С. Оперирована 12.08.2016.

Прошу дать комментарии результата остеосинтеза.

<  |  >

 

  • Сообщения о Ортопедия и травматология
  • Также Андрей Панченко
  • Связаться с автором
  • Ответить

    Re: Перелом лодыжек 44 С
    Иван 24 Август 2016, 05:10
    На снимке 1 таран с подвывихом кпереди, немного. Массивность разрывов капсульно-связочных структур?
    На снимке 2 расстояние между лодыжек шире, чем на снимке 3. Укладка на снимке 3 хуже?
    [ Ответить ]

    Re: Перелом лодыжек 44 С
    Paul 24 Август 2016, 09:25
    Синтез состоялся, положение отломков хорошее. Повреждение связок можно оценить косвенно, а оно значительное. За счет этого имеется подвывих стопы кпереди (в положении подошвенной флексии). Оставшиеся сухожилия и связки "подтянут" сустав в положении 90 градусов.
    Значит: сделать лонгету в положении 95 градусов (ортопедическая фиксация), сделать рентгенограммы.
    Планировать длительную фиксацию в циркулярной гипсовой повязке до 7-9 недель.
    [ Ответить ]

    Re: Перелом лодыжек 44 С
    Paul 24 Август 2016, 09:27
    Вопрос о ширине синдесмоза нужно решать по здоровой конечности....
    [ Ответить ]

    Re: Перелом лодыжек 44 С
    Александр Петрушин 24 Август 2016, 12:38
    Уважаемый Paul, столь длительная фиксация оперированного сустава (7-9нед) не приведет ли к тугоподвижности?
    [ Ответить ]

    • Re: Перелом лодыжек 44 С
      Отправитель: Paul 24 Август 2016, 13:48
      А сколько фиксируют голеностопный сустав при разрыве крупных связочных комплексов? В иностранной литературе самые короткие от 6-7 недель начинаются.
      Открытое восстановление - на 1-2 недели раньше, добавте механотерапию, шарнирные орто-аппарты и т.п. Выбор есть?
      Травматология : национальное руководство / под ред. Г.П. Котельникова,
      СП. Миронова. - М.: ГЭОТАР-Медиа, 2008. - 808 с. - (Серия «Национальные
      руководства»).
      ISBN 978-5-9704-0571-0
      Написано по Русски при данном повреждении средние сроки иммобилизации 8-9 недель (после операции)


      [ Ответить ]
    • Re: Перелом лодыжек 44 С
      Отправитель: Paul 24 Август 2016, 13:59
      А сколько фиксируют голеностопный сустав при разрыве крупных связочных комплексов? В иностранной литературе самые короткие от 6-7 недель начинаются.
      Открытое восстановление - на 1-2 недели раньше, добавте механотерапию, шарнирные орто-аппарты и т.п. Выбор есть?
      Травматология : национальное руководство / под ред. Г.П. Котельникова,
      СП. Миронова. - М.: ГЭОТАР-Медиа, 2008. - 808 с. - (Серия «Национальные
      руководства»).
      ISBN 978-5-9704-0571-0
      Написано по Русски при данном повреждении средние сроки иммобилизации 8-9 недель (после операции)


      [ Ответить ]
    Re: Перелом лодыжек 44 С
    Виталий 24 Август 2016, 14:32
    Остеосинтез "правильный" в плане техники установки фиксаторов, но вот только репозиции нет. Так оставлять конечно нельзя. Возможно удастся удалить позиционный винт репонировать и переустановить винт, хотя не факт что удастся этим обойтись, не исключена интерпозиция.
    [ Ответить ]

    • Re: Перелом лодыжек 44 С
      Отправитель: Виталий 24 Август 2016, 14:37
      А вот еще только рассмотрел - ось малоберцовой нарушера - загнута кпереди, скорее всего в этом причина, так что репозиция и реостеосинтез малоберцовой. Не оставляйте так - 34 года человеку всего то.

      [ Ответить ]
    Re: Перелом лодыжек 44 С
    Андрей Волна 24 Август 2016, 15:39
    Нужно переделать, и чем быстрее - тем лучше.
    Проблема в отсутствии репозиции малоберцовой кости - её угловом смещении. Всё остальное - следствие
    [ Ответить ]

    Re: Перелом лодыжек 44 С
    Андрей Панченко 24 Август 2016, 16:26
    Уважаемые коллеги. Получается, что из-за углового смещения дистальный отломок м/берцовой кости не анатомично попал в вырезку ББК(в ДМБС)в следствие чего и наблюдается передний подвывих? Прошу прощения за качество снимков.
    По моему мнению на снимке в Мортисе длина м/берцовой кости востановлена (субхондральные пластинки совпадают), единственное что неравномерность суставной щели(может из-за неправильной укладки?).
    [ Ответить ]

    • Re: Перелом лодыжек 44 С
      Отправитель: Виталий 24 Август 2016, 16:52
      "Уважаемые коллеги. Получается, что из-за углового смещения дистальный отломок м/берцовой кости не анатомично попал в вырезку ББК(в ДМБС)в следствие чего и наблюдается передний подвывих?"

      Да именно так и не иначе. Но время пока есть и сейчас довольно просто будет все исправить.

      [ Ответить ]
    Re: Перелом лодыжек 44 С
    Епишин Виталий 24 Август 2016, 19:07
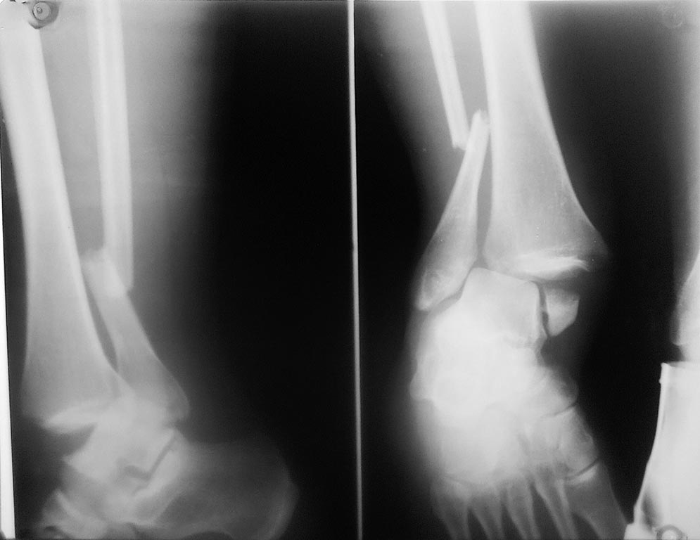
    У меня была похожая ситуация при данном переломе: подвывывих стопы кпереди после аналогичного МОС. Я взял пациента на операцию повторно. Переустановил пластину на малоберцовой кости, устранил угловое смещение (здесь также имеется антекурвация малоберцовой кости). Моя попытка установить позиционный винт приводил к появлению подвывиха стопы либо кпереди либо кзади. В итоге я не стал ставить позиционный винт, а для предупреждения подвывиха стопы кнаружи и стабилизации сустава провел 2 трансартикулярные спицы через пяточную кость
    [ Ответить ]

    • Re: Перелом лодыжек 44 С
      Отправитель: Дедок 24 Август 2016, 23:27
      И добил сустав

      [ Ответить ]
    • Re: Перелом лодыжек 44 С
      Отправитель: Иван 25 Август 2016, 14:41
      Не... спицами через сустав... это уже лишнее.

      [ Ответить ]
      • Re: Перелом лодыжек 44 С
        Отправитель: Максим Попогребский 26 Август 2016, 20:04
        Сустав спицы скорее всего переживет, а синдесмоз от отсутствия фиксации может расстроиться.

        [ Ответить ]
    Re: Перелом лодыжек 44 С
    Levikovich 25 Август 2016, 00:58
    Остеосинтез на 4 +...передний подвывих на скорость влиять не будет!..через пару месяцев исчезнет!Бывает и хуже...на ошибках учатца
    [ Ответить ]

    Re: Перелом лодыжек 44 С
    Лубенец Александр 25 Август 2016, 01:18
    Не нужно учиться на ошибках, нужно учить матчасть.
    Опыты на людях запрещены)
    Повывих похоже не только передний ((
    Нет репозиции следовательно нет и вправления стопы.
    Если оставить так, то к суставу через какое то время придет белая полярная лисичка.
    А вообще часть коментариев напоминают мультик про "и так сойдет"))
    С уважением ЛАА
    [ Ответить ]

    • Re: Перелом лодыжек 44 С
      Отправитель: Levikovich 25 Август 2016, 01:59
      конечно же сойдёт!..не знаю хто такая белая полярная лисичка, но та самая волосатая палюбому настигла сустав...Ну вот,.все говорят "на ошибках учатся",а ту "нате...))..смайликов нехватает

      [ Ответить ]
    Re: Перелом лодыжек 44 С
    Лубенец Александр 25 Август 2016, 02:47
    Ну как же, белая полярная лисичка это же песец)))
    [ Ответить ]

    Re: Перелом лодыжек 44 С
    Бек 25 Август 2016, 17:02
    Надсечка над стя винтом ,Удалите позиционный винт дале жесткой тазовой цапкой компрессия мбк к ббк
    Вставте стягивающий винт
    [ Ответить ]


    ( Ответить )

    Powered by Zope  Squishdot Powered MedLink
    Посетитель: 0000309
      "По форме правильно, а по существу - издевательство" В.И.Ленин
    ©2001-2019Orthoforum Coordinator.
    [ Главная | Отправить сообщение | Поиск | Админ ]