Ответить
|
Re: Длинные 4 пальцы.
Виталий Епишин 30 Август 2016, 18:46
|
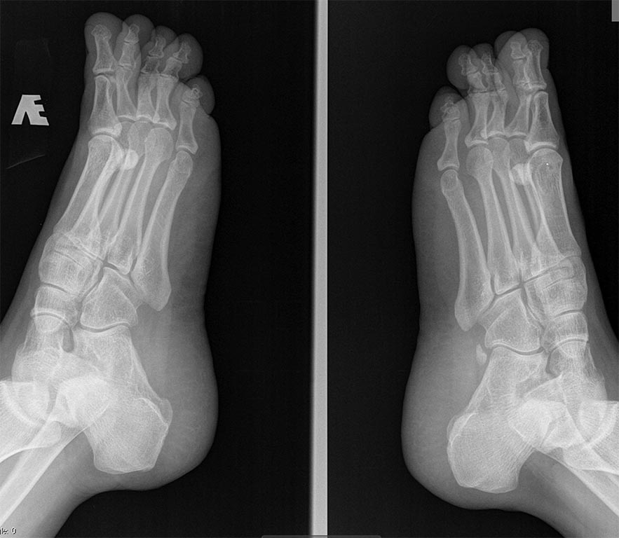
По рентгенограмме нарушена парабола Лельевра, длинная 4 ПК. Думаю стоит выполнить укорачивающую Вейл остеотомию под контролем ЭОП для нормализации данной параболы. Клинически, если длина 4 пальца восстановилась, то можно ограничиться Вейлем, если нет, то выполнить укорачивающую остеотомию основной фаланги 4-го пальца. Я пальцы фиксирую трансартикулярно 1-2-мя спицами. В данном случае надо стараться укоротить 1-м Вейлем, думаю, пациентка требовательна к внешнему виду стопы. Отек и утолщение 4-го пальца будут её беспокоить, появятся (не дай бог) натоптыши
|
[
Ответить ]
|
Re: Длинные 4 пальцы.
Бережной Сергей 31 Август 2016, 02:11
|
Обычно с подобными проблемами обращаются женщины 20-30 лет. Что заставило пациентку решиться на такой шаг именно сейчас? Раньше денег не было? Времени? Ведь грубой разницы в длине пальцев нет. И уж никак такие пальцы не помешают подбору обуви. Засада сидит глубоко в голове таких пациенток. Очень желательно попробовать разобраться в ней до операции. Ситуация то, в принципе, патовая. Можно укоротить плюсневую кость и получить переходную метатарзалгию. Сейчас нет боли и натоптышей, а тут появятся. Да еще шрам после операции. Лучше укоротить основную фалангу. Еще лучше сделать это чрескожно. В этом случае хоть шрама не останется. Но палец станет толще. И относительно, поскольку при той же толщине станет короче и будет восприниматься более толстым. А он и так заметно толще третьего. И абсолютно, поскольку мягкие ткани присборятся. Плюс какая-никакая костная мозоль. Так что вероятность получения негативного косметического или функционального результата, а значит и недовольного пациента, очень велика. О таких возможных результатах нужно обязательно поставить в известность пациентку. И все-таки, постараться разобраться в причинах ее желания сделать операцию. У меня была молодая пациентка, которой отец в 12 лет сказал, что у нее некрасивые стопы. С тех пор она ненавидела их. И операция, которую я ей сделал, принесла только разочарование. Хотя поставленные задачи были выполнены. Сейчас Вашей пациентке кажется, что причина ее недовольства - длина 4-х пальцев. А потом начнет казаться, что толщина. А фиксировать пальцы можно по-всякому: спицей, повязкой, пластырем. В зависимости от способа операции, размеров операционной раны, Ваших навыков.
|
[
Ответить ]
|
Re: Длинные 4 пальцы.
АВИ 31 Август 2016, 05:02
|
Спасибо за ответ. Пациентка из медицинской среды, поэтому долго взвешивала все за и против. Сейчас дословно беспокоит, что носит обувь на один размер больше и косметика.
|
[
Ответить ]
|
Re: Длинные 4 пальцы.
Виталий 31 Август 2016, 10:20
|
А вы её по Китаока оцените, если соточку выбьет, не стоит делать! Хоть из какой среды! Будет недовольна ещё и медсестра, все будут знать как больно и неприятно оперировать стопы))) результата не дай бог не будет!
А по теме. Мне кажется параболу не стоит трогать - нет болей нет хирурги , ток фалангу укоротить!
|
[
Ответить ]
|
Re: Длинные 4 пальцы.
Шведовченко Игорь Владимирович 31 Август 2016, 11:46
|
Доброе утро, уважаемые коллеги. Все это замечательно, но почему никто не говорит о том, какой же диагноз можно поставить больной?????
|
[
Ответить ]
|
Re: Длинные 4 пальцы.
Отправитель: Виталий 31 Август 2016, 12:11
|
Мкб 10 в помощь! M20. 1
Диагноз женщина! Так же вопрос у тем кто грудь увеличивает и прочие вещи делает! Какой тут может быть диагноз
|
[
Ответить ]
|
|
Re: Длинные 4 пальцы.
Бережной Сергей 31 Август 2016, 12:58
|
А какой диагноз ставят пациенту, который хочет изменить форму нормального носа или увеличить нормальные молочные железы? Возможный диагноз в данном случае "нарушение взаимоотношений длин пальцев стоп". В МКБ такого конечно нет. Но косметические операции выполняются во всем мире и давно доказали право на существование. Главное сделать операцию правильно и не навредить. А шкала AOFAS к оценке подобных состояний отношения не имеет. Хотя, в ней есть пункт про обувь. Если пациент не может носить модную обувь, а вынужден покупать просто удобную, снимается 5 баллов.
|
[
Ответить ]
|
Re: Длинные 4 пальцы.
Отправитель: Виталий 31 Август 2016, 13:13
|
Та да, не имеет, но брать пациента с 100 я бы не стал! Сами знаете, иногда что то идёт не так! Да и чессслово, никто не даст гарантии что косметически после её это устроит! Да и может потом чувсвительность выпасть на пальце! Была проблема в голове и настрое, появилась реальная в стопе! Тьфу тьфу!
|
[
Ответить ]
|
|
Re: Длинные 4 пальцы.
Максим Попогребский 31 Август 2016, 14:03
|
Я бы тоже укоротил фалангу, если уж оперировать. Есть категория больных, которых проще прооперировать, чем объяснять в 10й раз, почему этого делать не надо )
|
[
Ответить ]
|
Re: Длинные 4 пальцы.
Шведовченко Игорь Владимирович 31 Август 2016, 19:48
|

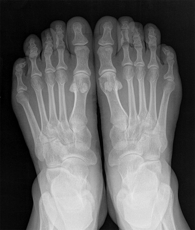
Уважаемый господин Бережной. Но вы же понимаете что это не диагноз. Посмотрите на нечто подобное, правда чуть более выраженное.
|
[
Ответить ]
|
Re: Длинные 4 пальцы.
Отправитель: Бережной Сергей 01 Сентябрь 2016, 02:36
|
Уважаемый Игорь Владимирович.
Конечно то, что я написал - не диагноз. Я и сказал, что в МКБ такого не найдешь. Но и болезни никакой нет. Случай, который Вы продемонстрировали, интересный. Было бы еще интереснее увидеть эту стопу до операции. Чтобы понять, насколько толще стал оперированный палец в финале. А вот сходства Вашего случая с обсуждаемым я не увидел. В предложенном на форум случае третий палец явно тоньше соседних и пятого. Скорее можно говорить о гипоплазии третьего пальца. Хотя, какая разница? Жалоба больной понятна. Как устранить слегка избыточную длину 4-го пальца тоже, вроде, понятно. Вы же не советуете сделать такую же операцию, как в Вашем примере? Если же говорить о похожем случае, то и я предлагаю посмотреть на нечто подобное.

Пациентка жаловалась на избыточную длину третьих пальцев. И шишки в проекции головок М5 (болезнь портных). Вроде все выровнял. Сейчас, через 3 года после первой операции, она едет делать уже третьи операции на обеих стопах. Теперь хочет укоротить все пальцы. Вот о такого рода пациентках я и предупреждал автора поста
|
[
Ответить ]
|
Re: Длинные 4 пальцы.
Отправитель: Бережной Сергей 01 Сентябрь 2016, 19:30
|
Симпатичный палец. Напомнил картины Аньоло Бронзино. У одной из его моделей были такие же. И он их ни разу не попытался изменить. Видимо не видел в этом уродства. А может любил ее такой?
|
[
Ответить ]
|
|
Re: Длинные 4 пальцы.
Шведовченко Игорь Владимирович 31 Август 2016, 19:49
|
Продолжение
|
[
Ответить ]
|
Re: Длинные 4 пальцы.
Отправитель: Виталий 31 Август 2016, 20:07
|
Вы прямо как у студентов своих спрашиваете!)) нам тоже интересен диагноз! По вашему мнению! Подскажете?
По теме не думаю что топик стартер обладает вашими возможностями по коррекции ортопедической патологии!
Спасибо за фото, очень интересно!
|
[
Ответить ]
|
|
Re: Длинные 4 пальцы.
Шведовченко Игорь Владимирович 31 Август 2016, 19:55
|
Финал. Диагноз пациентки - истинный врожденный гигантизм 2 пальца стопы. На сегодняшний день описаны 3 формы - с преимущественным увеличением мягких тканей, с равномерным увеличением тканей, с преимущественным увеличением мышечных тканей.
|
[
Ответить ]
|
Re: Длинные 4 пальцы.
Отправитель: Виталий 31 Август 2016, 20:08
|
Спасибо! Очень интересно! Опередили!
|
[
Ответить ]
|
Re: Длинные 4 пальцы.
Отправитель: Виталий 31 Август 2016, 23:13
|
Вопрос немного не по теме: как то наблюдал пациента с тремя фалангами больших пальцев кистей, его это никоим образом не беспокоило обращался с другой проблемой, но запомнился так как я видел это единственный раз, смотрелось весьма необычно и даже несколько комично то как он ими двигал.
Так вот как в том случае может звучать диагноз?
|
[
Ответить ]
|
|
Re: Длинные 4 пальцы.
АВИ 01 Сентябрь 2016, 05:37
|
К вопросу параболе Лельевра, как вы думаете к чему приведет её восстановление. Остеотомия Вейля 3 и 4 лучей, так сказать попробовать помочь природе.
|
[
Ответить ]
|
Re: Длинные 4 пальцы.
Отправитель: Виталий 01 Сентябрь 2016, 10:32
|
Не надо
|
[
Ответить ]
|
|
( Ответить )
|
|