AOTRAUMA.ORG Центр Илизарова  

Ортопедия и травматология Общие вопросы/General questions Help Информационные технологии в медицине
 вверх
 отправить
 поиск
 админ
 главная


Удаление стержня
Ортопедия и травматология Отправлено Александр 06 Сентябрь 2016, 13:57
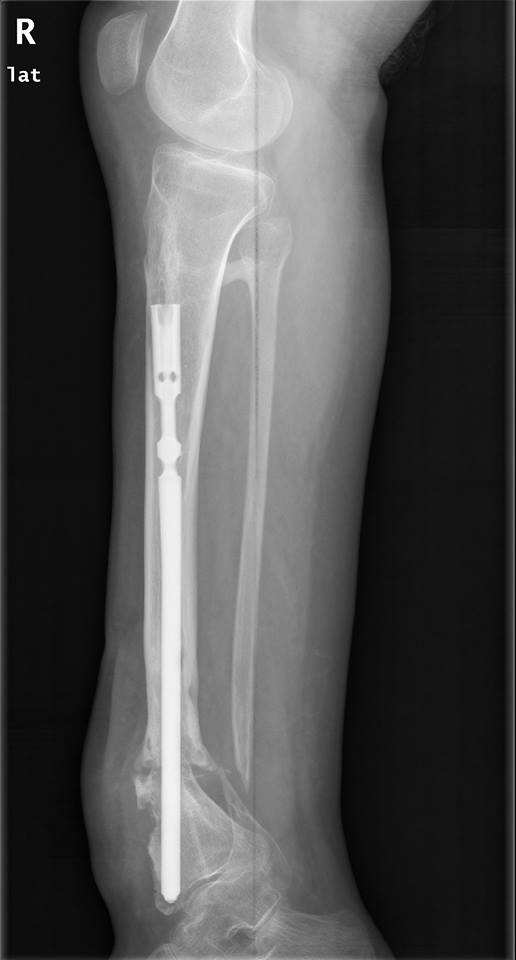
Уважаемые коллеги,Есть девушка с таким вот гвоздиком.
В плане - удаление и реостеосинтез.Вопрос - как минимально инвазивно удалить это чудо? Понимаю, что ранее вопрос поднимался, но тут мне кажется случай не стандартный.Спасибо.

<  |  >

 

  • Сообщения о Ортопедия и травматология
  • Также Александр
  • Связаться с автором
  • Ответить

    Re: Удаление стержня
    Михаил Куква 06 Сентябрь 2016, 18:39
    Узнать производителя, заказать инструмент, открыть проксимальный конец стержня, начать корриду.
    [ Ответить ]

    • Re: Удаление стержня
      Отправитель: Чернов Константин 07 Сентябрь 2016, 16:24
      Можно, как предложил Александр Николаевич. Можно пилой выпилить тонкий паз в проекции овального отверстия, в верхний край отверстия упереться каким-нибудь шилом и аккуратно молоточком выбить гвоздик. Потом паз закрыть крышечкой. Несколько раз так делал, когда был сорван шлиц на заглушке.

      [ Ответить ]
    Re: Удаление стержня
    Alexander Chelnokov 06 Сентябрь 2016, 18:46
    Это UTN (Synthes) или его клон. То есть резьба M6.
    Видимо, универсальной удалялки в виде длинного стержня с с трехзаходной левой резьбой конусом в распоряжении нет?
    Надо взять стержень от аппарата Илизарова 200 мм, один конец заточить как трехгранное шило, заход на резьбу оставить "рабочим" На другом конце сделать Т-ручку. Согнуть колено, сделать разрезик на уровне нижнего полюса надколенника. Сделать стандартный вход в канал. Ну и дальше ловить вход в резьбовой канал стержня. Если совсем уж никак соосно не будет получаться, можно стенку кости перфорировать и стержень в канале подтолкнуть шилом.

    [ Ответить ]

    Re: Удаление стержня
    Виталий 06 Сентябрь 2016, 19:57
    Штангу аппарата Илизарова вкрутить в резьбу, выбить стержень
    [ Ответить ]

    Re: Удаление стержня
    Alexander 08 Сентябрь 2016, 17:03
    Извлекли даже без ожидаемых приключений. Стержень от Илизаровского аппарата in vivo не полез (in vitro позже - как родной), но удалалка от нашего Медбиотеховского стержня зацепилась и все ушло вполне гладко. Спасибо за совет!
    [ Ответить ]

    • Re: Удаление стержня
      Отправитель: Alexander Chelnokov 08 Сентябрь 2016, 17:23
      Не сомневался, что все получится! Как продолжили после удаления?

      [ Ответить ]
      • Re: Удаление стержня
        Отправитель: Alexander 08 Сентябрь 2016, 18:05
        Закрыто деформация устранялась, но не полностью (и слегка поперечный компонтент смещения появлялся), поэтому и с учетом анамнеза открыли несращение с декортикацией, устранили деформацию, рассверлили, зафиксировали стержнем потолще и винтов дистально 4 штуки. Костная пластика (вскрывали канал фрезой, получили хороший столбик), шов. Снимки на неделе сделаем.

        [ Ответить ]
        • Re: Удаление стержня
          Отправитель: Виталий 10 Сентябрь 2016, 01:17
          Надеюсь проксимально ноль винтов?! Ну или один в овальном?! Странно что штанга не вошла Дергается на раз

          [ Ответить ]
    Re: Удаление стержня
    Бек 15 Сентябрь 2016, 19:23
    П/о снимки как получилось?
    ))
    [ Ответить ]


    ( Ответить )

    Powered by Zope  Squishdot Powered MedLink
    Посетитель: 0392276
      "По форме правильно, а по существу - издевательство" В.И.Ленин
    ©2001-2019Orthoforum Coordinator.
    [ Главная | Отправить сообщение | Поиск | Админ ]