AOTRAUMA.ORG Центр Илизарова  

Ортопедия и травматология Общие вопросы/General questions Help Информационные технологии в медицине
 вверх
 отправить
 поиск
 админ
 главная


Перелом костей голени в нижней трети
Ортопедия и травматология Отправлено Андрей 09 Ноябрь 2016, 12:44
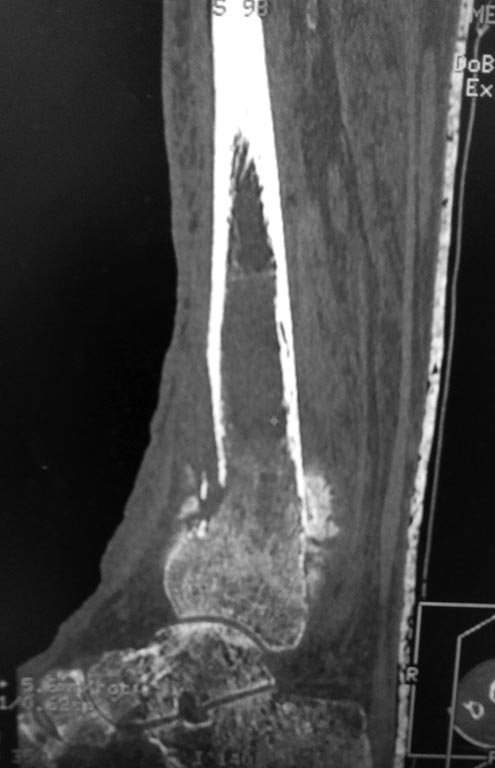
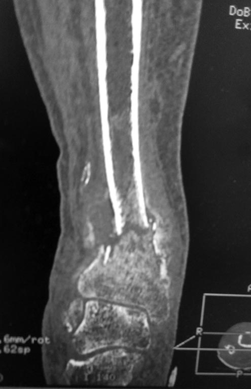
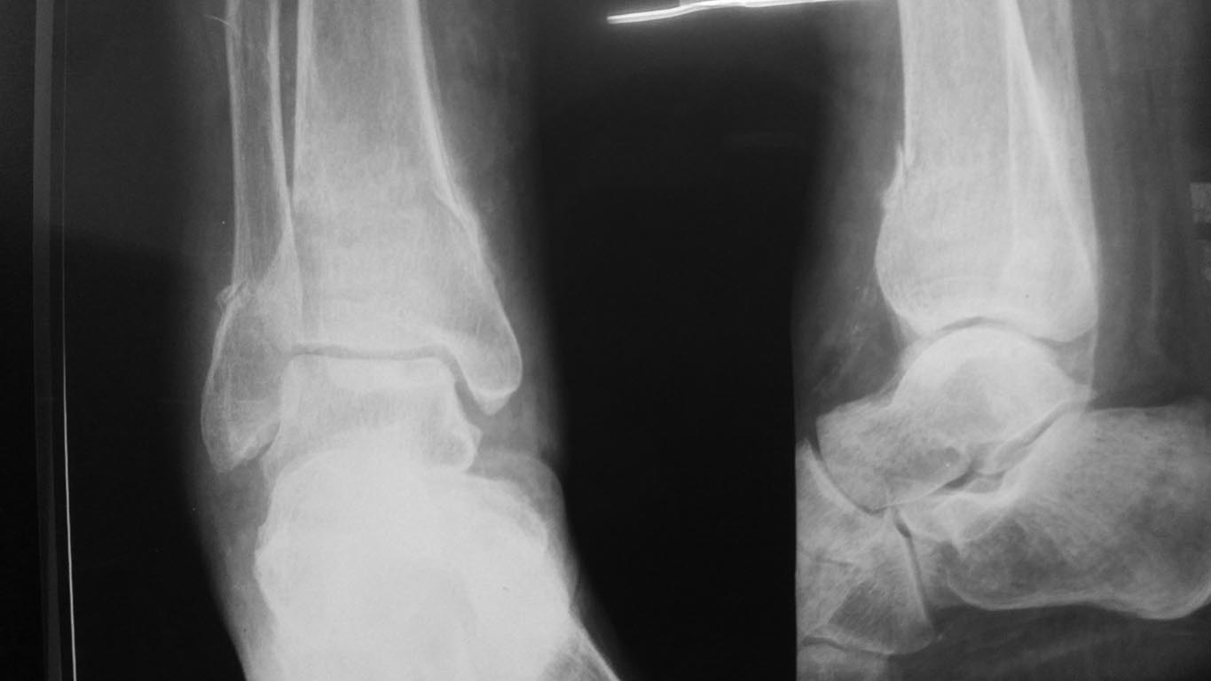
Добрый день!Обратилась женщина 1958 г.р.Травма 08.09.16. Почувствовала боль в правой голени во время сна.
Лечилась амбулаторно с Ds: закрытый перелом костей правой голени в нижней трети без смещения. Повторную травму исключает. На контрольных Rg выявлено смещение отломков, признаки консолидации.

в анамнезе сахарный диабет I типа в течении 29 лет. лабильное течение. Диабетическая нефропатия. ХБП V ст. ХПН терминальная стадия. Хронический програмный гемодиализ. Ренальная остеодистрофия. Принимает лантус 6 Ед *1 раз в сутки. уровень сахара крови 12-15 ммоль\литр. Креатинин 543 мкмоль\литр, ЩФ 1270 Е\л.
Больная настроена на оперативное лечение.Какой вариант лечения предпочтителен на ваш взгляд?

<  |  >

 

  • Сообщения о Ортопедия и травматология
  • Также Андрей
  • Связаться с автором
  • Ответить

    Re: Перелом костей голени в нижней трети
    Бережной Сергей 10 Ноябрь 2016, 12:56
    А Вы то какой диагноз ставите? От чего сломалось? Ренальная остеодистрофия на фоне ХПН с гемодиализом? Диабетическая остеоартропатия? Пишете, что повторную травму исключает. Но и первичной не было. Последняя рентгенограмма (где перелом без смещения) когда была сделана? Сразу после обнаружения перелома? Там уже есть признаки консолидации. Есть ли признаки периферической нейропатии? Если не вдаваться в подробности, то можно думать об остеосинтезе двойного перелома наружной лодыжки (вероятно, уже срослась). И интрамедуллярном остеосинтезе большеберцовой кости.
    [ Ответить ]


    ( Ответить )

    Powered by Zope  Squishdot Powered MedLink
    Посетитель: 0390003
      "По форме правильно, а по существу - издевательство" В.И.Ленин
    ©2001-2019Orthoforum Coordinator.
    [ Главная | Отправить сообщение | Поиск | Админ ]