вверх
отправить
поиск
админ
главная
Предыдущее
|
Re: Посттравматическая варусная деформация бедра
Батал Шушания 25 Ноябрь 2016, 13:25
|
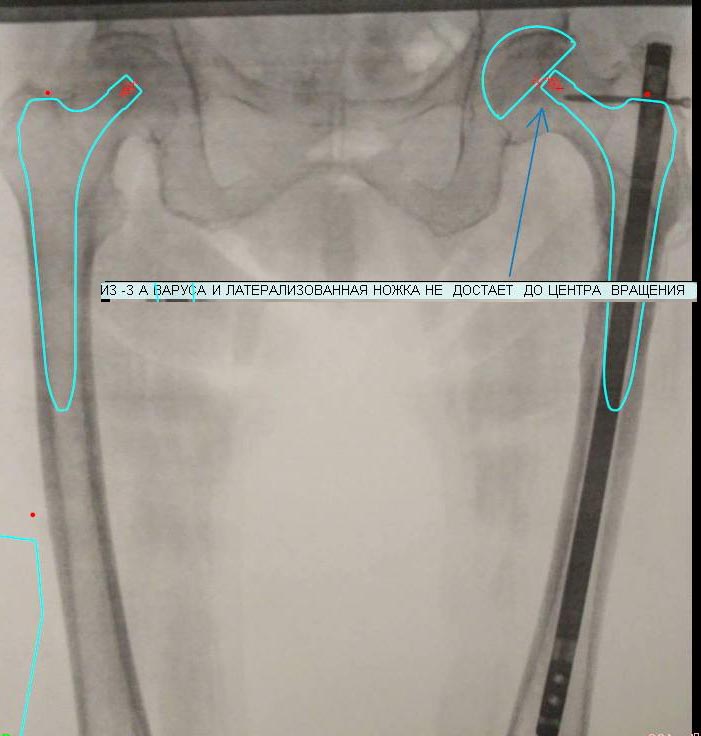
По моему мнению, здесь, если рассматривать эндопротезирование тазобедренного сустава, то при такой варусной деформации проксимального отдела бедра, очень трудно будет расположить бедренный компонент, не повредив большой вертел при устранении имеющегося варуса или другой вариант - ножка встанет так, сохранив б.вертел и сохранив варус. Или я ошибаюсь?
|
|
|
Ответить
|
Re: Посттравматическая варусная деформация бедра
Батал Шушания 25 Ноябрь 2016, 13:29
|

Вот такие трудности возникают при первичном эндопротезировании тазобедренного сустава из за нерешенности изначально проблемы, возникшей при переломе - не устранение смещения отломков. Я сталкивался с этим, и имел неудовлетворенность полученным послеоперационным результатом - чтобы выровнять бедренный компонент, приходится очень много убирать кость со стороны большого вертела и рискуя вызвать отрыв мышц, крепящихся к нему.
|
[
Ответить ]
|
Re: Посттравматическая варусная деформация бедра
Отправитель: Михаил Куква 25 Ноябрь 2016, 13:30
|
Дискуссия обретает более профессиональный вид
|
[
Ответить ]
|
Re: Посттравматическая варусная деформация бедра
Отправитель: Alexander Chelnokov 25 Ноябрь 2016, 13:31
|
Михаил, это не более профессиональный, а "потеряли там, но фонарь висит здесь, поэтому ищем здесь".
|
[
Ответить ]
|
Re: Посттравматическая варусная деформация бедра
Отправитель: Михаил Куква 25 Ноябрь 2016, 13:32
|
Александр Николаевич)))
|
[
Ответить ]
|
Re: Посттравматическая варусная деформация бедра
Отправитель: Георгий Айрапетов 25 Ноябрь 2016, 13:32
|
Конечно, это можно отнести к сложному первичному эндопротезированию, но проблем не должно быть. Если вы хотите дотянуть до центра вращения, то примерьте ножек Споторно, хотя я думаю что и с Цваймюллера проблем не будет
|
[
Ответить ]
|
Re: Посттравматическая варусная деформация бедра
Отправитель: Батал Шушания 25 Ноябрь 2016, 13:33
|
Какую бы Вы ножку не брали, ситуация такая же. А со Споторно, ее прямой спинкой - прощай большой вертел :) Это легко говорится, да не просто делается :)
|
[
Ответить ]
|
Re: Посттравматическая варусная деформация бедра
Отправитель: Георгий Айрапетов 25 Ноябрь 2016, 13:34
|
Надо понимать, что сохранить вертел практически невозможно. Если это принципиально, то сделайте во время эндопротезирование вальгизирующую остеотомию и используйте ножек Вагнера или Цваймюллера
|
[
Ответить ]
|
Re: Посттравматическая варусная деформация бедра
Отправитель: Батал Шушания 25 Ноябрь 2016, 13:39
|
Мне кажется, слишком сильно Вы "машете шашкой " Большой вертел очень важная структура, как можно им пренебрегать?
|
[
Ответить ]
|
Re: Посттравматическая варусная деформация бедра
Отправитель: Георгий Айрапетов 25 Ноябрь 2016, 13:42
|
Важной структурой является в данном случае является не большой вертел а то, что к нему крепится.
|
[
Ответить ]
|
Re: Посттравматическая варусная деформация бедра
Отправитель: Alexander Chelnokov 25 Ноябрь 2016, 13:44
|
То есть надо любой ценой в нее засунуть ненужный ей эндопротез, еще и сделав необходимую и достаточную вальгизирующую остеотомию. Но уже как попутный небольшой компонент "основной" операции. Что-то вспоминается из детства про гланды и автоген.
|
[
Ответить ]
|
Re: Посттравматическая варусная деформация бедра
Отправитель: Георгий Айрапетов 25 Ноябрь 2016, 13:45
|
на мой взгляд это быстро вернёт пациентку к обычной жизни с прогнозируемым результатом
|
[
Ответить ]
|
Re: Посттравматическая варусная деформация бедра
Отправитель: Alexander Chelnokov 25 Ноябрь 2016, 13:47
|
Георгий, малоинвазивная коррекция и вернет не позже, и не будет сопряжена с риском длительной потери функции отводящих мышц.
|
[
Ответить ]
|
Re: Посттравматическая варусная деформация бедра
Отправитель: Георгий Айрапетов 25 Ноябрь 2016, 17:22
|
я нисколько не отвергаю ваше предложение. Хотелось бы увидеть результат в такой ситуации через год хотя бы
|
[
Ответить ]
|
Re: Посттравматическая варусная деформация бедра
Отправитель: Alexander Chelnokov 25 Ноябрь 2016, 17:22
|
Георгий, в "такой" - можно показать. Именно в этой - придется год подождать.
|
[
Ответить ]
|
Re: Посттравматическая варусная деформация бедра
Отправитель: Maxim Agalakov 27 Ноябрь 2016, 01:32
|
корректно поставить эндопротез в этой ситуации - задача очень сложная, без остеотомии не обойтись, будет много проблем и этом варианте (плохое качество кости выше остеотомии и непонятный склероз ниже и тд).Нужны ли такие приключения при весьма неочевидных показаниях для протеза у пожилого человека?Гораздо более прогнозируемый вариант и менее травматичный - остеотомия и исправление деформации, не столь важно чем, гвоздем, клинком или DHS. Если и зайдет речь об артроплатике после этого, то будет много проще, фактически будет обычное первичное эндопротезирование без приключений и неожиданностей.
|
[
Ответить ]
|
|
( Ответить )
|
|