AOTRAUMA.ORG Центр Илизарова  

Ортопедия и травматология Общие вопросы/General questions Help Информационные технологии в медицине
 вверх
 отправить
 поиск
 админ
 главная


Тактика лечения - Остеомиелит?
Ортопедия и травматология Отправлено Бек 14 Декабрь 2016, 15:34
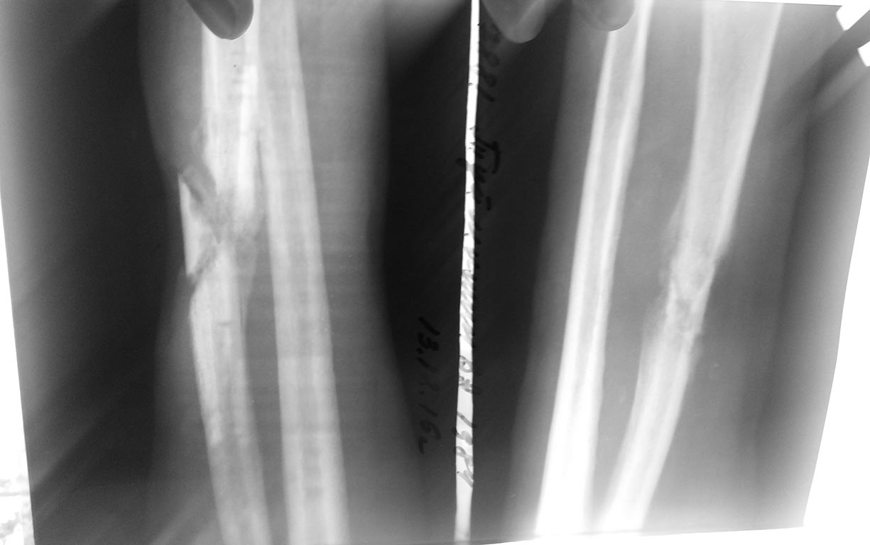
Добрый день, коллеги
Больной 1984 г.р. 6 месяцев назад получил травму - удар высоковольтным током.
Лечился сам. Обратился в районную больницу и был направлен с диагнозом: инфицированная рана с/3 правго предплечья, остеомиелит лучевой кости. Дефект кожи размером 3.0х3.0см, гнойное отделяемое.
Тактика лечения?
Резицировать концы отломков далее АВФ?


<  |  >

 

  • Сообщения о Ортопедия и травматология
  • Также Бек
  • Связаться с автором
  • Ответить

    Re: Тактика лечения - Остеомиелит?
    Илья 14 Декабрь 2016, 21:12
    Статья про Masquelet technique (pdf, 2,4Mb)
    Возможный вариант


    [ Ответить ]

    Re: Тактика лечения - Остеомиелит?
    Бек 15 Декабрь 2016, 17:14
    Спасибо
    [ Ответить ]


    ( Ответить )

    Powered by Zope  Squishdot Powered MedLink
    Посетитель: 0000008
      "По форме правильно, а по существу - издевательство" В.И.Ленин
    ©2001-2019Orthoforum Coordinator.
    [ Главная | Отправить сообщение | Поиск | Админ ]