вверх
отправить
поиск
админ
главная
|
Отправлено Ниязов Нияз 19 Декабрь 2016, 02:04
Здравствуйте уважаемые коллеги. у меня непонятный случай с моей родственницей, прошу помочь. 4 месяца назад женщина 72 лет(активная, из сопутствующей патологии гипертензия по поводу чего регулярно раз в год получает стац. лечение) ударилась передней поверхностью голени об тупой предмет. Появилась боль и осаднение. При обращении в травмпункт на рентгене патологии нет(этот снимок четыре месяц назад видел и как я хорошо помню проблем не было на снимке). боль прошла, а ранка стала чем то напоминать свищевой проход, как при остеомиелите, незначительное вязкое отделяемое, лечилась у разных специалистов но без результата. Потом обратилась ко мне, я подумал о венозной трофической ране назначил компрессионную терапию, венотоники: диасмин и крема. местно левомеколь. Но пока как на картине результат. в крови СОЭ 15, лейкоциты 9,4 с незначительным сдвигом влево. Общее самочувствие не страдает, диабет отрицает. Что это может быть?
<
|
>
|
|
Ответить
|
Re: Непонятный свищ
Ниязов Нияз 19 Декабрь 2016, 14:28
|

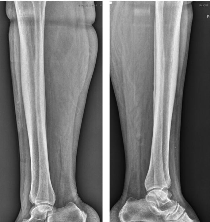
Рентген
|
[
Ответить ]
|
Re: Непонятный свищ
Отправитель: Ниязов Нияз 19 Декабрь 2016, 19:03
|
Боковой снимок
|
[
Ответить ]
|
|
Re: Непонятный свищ
Alexander Konovalov 19 Декабрь 2016, 14:30
|
Внешне похоже всё-таки на ХВН.
Можно выполнить R-графию с контрастированием, взять посев отделяемого, УЗДГ вен.
Если всё отрицательно, то сходить на ревизию, обработать ткани (можно и ультразвуком) и ушить послойно.
Но если честно, то мне кажется что вы что-то найдете.
|
[
Ответить ]
|
Re: Непонятный свищ
Отправитель: Ниязов Нияз 19 Декабрь 2016, 19:05
|
Странно что нет язвы просто дырка как бы с гнойной пробкой. А как технически сделать фистулографию. КонтрастПрепарат есть только как вводить? Под давлением или сначала дырку расширить и почистить?
|
[
Ответить ]
|
Re: Непонятный свищ
Отправитель: Alexander Konovalov 19 Декабрь 2016, 19:34
|
Контраст можно взять у братьев/сестёр рентгенологов. Вводить можно как просто из шприца под давлением, так и через катеры анестезиологические, только учтите, что излишки могут остаться снаружи.
Ещё забыл написать про использование современных антисептиков (Бетадин, Пронтосан и т.д.) - может там банальная биоплёнка.
|
[
Ответить ]
|
|
Re: Непонятный свищ
Levikovich 19 Декабрь 2016, 16:10
|
Однажды мне тож пришлось лечить знакомого с ушибом,ссадиной стопы....месяца 2 лечил ранку,а она всё больше и глубже становилась))..потом в итоге после адекватной ревизии нашлось деревянное инородное тело(0.1х0.5 см).Фистулография+ревизия.
|
[
Ответить ]
|
Re: Непонятный свищ
Максим Бысов 19 Декабрь 2016, 21:39
|
А какая голень правая или левая? На Р грамме правой голени в боковой проекции какое то инородное тело в мягких тканях на границе с/3-н/3 или артефакт?
|
[
Ответить ]
|
Re: Непонятный свищ
Отправитель: Ниязов Нияз 19 Декабрь 2016, 22:18
|
Левая нога течет. Я тоже обратил внимание на этот артефакт. Но в костях как на первом снимке так и на этом одинаково все.
|
[
Ответить ]
|
Re: Непонятный свищ
Отправитель: Levikovich 19 Декабрь 2016, 23:53
|
А почему сразу кость?!))..кость вродь нипричём.Та и при любом раскладе,хоть ХВН, СД, или инородное тело необходимо сначала очистить рану(хирургически или консервативно(трипсинчиком)),а потом вторично заживлять.Да,можно рискнуть иссечь в пределах здоровых тканей и наложить швы,но маловероятно т.к. можно получить рану ещё больших размеров.Можно ещё добавить пентоксифиллин,актовегин,метилурацил и т.д.Но на правом снимке мне тож не нравиться вон та белая точка.
|
[
Ответить ]
|
Re: Непонятный свищ
Отправитель: Alexander Larionov 23 Декабрь 2016, 17:11
|
Может КТ спиральные или МРТ? Они инородное тело покажут. Хотя начал бы с фистулографию.
ААЛ
|
[
Ответить ]
|
|
Re: Непонятный свищ
Валерий Царёв 20 Декабрь 2016, 13:10
|
Венозная недостаточность. Трофическая язва. Паратравматическая экзема. Коагулограмма. Посев. Вентоники. Антибиотики м учëтом флоры. Лечение экземы ( в т. ч. инфузионное)
|
[
Ответить ]
|
Re: Непонятный свищ
Alexander Chelnokov 20 Декабрь 2016, 13:11
|
Может быть что угодно, включая опухоль. Снимки когда сделаны? Может быть, свежие сделать и сравнить?
И МРТ, может, что-то покажет.
|
[
Ответить ]
|
Re: Непонятный свищ
Отправитель: Ниязов Нияз 20 Декабрь 2016, 19:14
|
Первый снимок сделан при получении травмы, его нет на руках, но я точно помню там без проблем, а тот который я выложил неделю назад
Если надо могу выложить в оригинале в не сжатом объеме снимки
|
[
Ответить ]
|
Re: Непонятный свищ
Отправитель: Ниязов Нияз 20 Декабрь 2016, 19:28
|
Есть возможность сделать МРТ. Сейчас будем решать этот вопрос. Я много видел в поликлинике и даже два раза лечил у знакомых венозные язвы(с положительным исходом ). Как таковой язвы нет, есть свищевой проход (отверстие с ровными краями и дерматитом вокруг из за пластыря и мазей, в центре отверстия как пробка, жидкость течет слабо, на повязке за день набирается около 3.0 мл иногда меньше иногда больше ). При пальпации инфильтрация или флюктация не определяется.
|
[
Ответить ]
|
Re: Непонятный свищ
Отправитель: Alexander Konovalov 20 Декабрь 2016, 20:43
|
А отделяемое какое??? может это лимфа?!
Просто месяц назад был у нас пациент с изолированными переломами поперечных отростков ПОП, так у него из дренированной гематомы бежал ликвор (как потом оказалось).
|
[
Ответить ]
|
Re: Непонятный свищ
Отправитель: Konstantin Kudinow 23 Декабрь 2016, 17:09
|
Нужно резать, и отдать то, что вырезали, гистологу.
С Александром Николаевичем полностью согласен.
МРТ рулит в непонятных ситуациях.
|
[
Ответить ]
|
Re: Непонятный свищ
Отправитель: Levikovich 23 Декабрь 2016, 22:05
|
Ну отрезали,...ну отдали...а далее?!Что ожидать?...а может сразу кожную пластику выполнить расщепленным лоскутом?!
ну допустим это ХВН,СД.. или другие нейроциркуляторные расстройства,что даст МРТ,МСКТ?!.
Палюбому лечение необходимо начинать с очистки раны(механически,хирургически,химически) ,..нужно следовать стадиям раневого процесса! будь то ХВН ,СД ,паразит и т.п.Стадия очищения,а потом стадия репаративной регенерации и никак иначе
|
[
Ответить ]
|
Re: Непонятный свищ
Отправитель: Ниязов Нияз 23 Декабрь 2016, 22:29
|
Мне кажется Вы правы в этот раз посмотрев на маленькую рану я подумал можно обойтись без очистки раны, хотя у предыдущих моих больных раны были значительно больше по размеру(одна раз в 20, другая раз в сто ) у обеих результат оказался хороший хотя время это заняло.
|
[
Ответить ]
|
Re: Непонятный свищ
Отправитель: Levikovich 23 Декабрь 2016, 22:47
|
Та заживёт,никуда не денется))..просто у своих всегда никак у людей бывает.)Я тож неоднократно "попадал" на такие ранки.Умение,терпение,труд-всё перетрут.
|
[
Ответить ]
|
|
Re: Непонятный свищ
Дедок Михаил 21 Декабрь 2016, 00:13
|
Была подобная пациентка. Даже две. В обоих случаях была паразитарная инвазия. У одной личинка была. У другой ходы заполненные некротическими тканями. Прокрасил, рассек, некрэктомия., оставил открыто, затем стрипы. Все зажило
|
[
Ответить ]
|
Re: Непонятный свищ
Отправитель: Ниязов Нияз 21 Декабрь 2016, 01:44
|
А какие были паразиты? У нас регион пандемичный по лейшманиозу Боровскому , но Ашхабадка(старое русское название) так не проходит.
У меня вопрос стрипы это что?
По поводу опухоли уважаемый Александр Николаевич вы меня конечно насторожили. Резать я точно пока не буду, так как в таком возрасте и с непонятной картиной это по уши увязнуть. Сделаю Мрт, это точно. После может поскаблю и в лабораторию на личинки. Очень хочется сделать фистулографию, но пока ни разу не делал поэтому оставлю на крайний случай.
|
[
Ответить ]
|
Re: Непонятный свищ
Отправитель: Дедок 21 Декабрь 2016, 02:42
|
Паразит - слепень видимо.
|
[
Ответить ]
|
Re: Непонятный свищ
Отправитель: Levikovich 21 Декабрь 2016, 21:36
|
"но пока ни разу не делал ....." счастливый Вы человек..-проще фистулографию сделать,чем укол в попу.Особенно в вашем случае,когда диаметр раны почти соответствует конусу шприца(ну т.е куда игла одевается)).Конус ввели в свищ,ввели контраст(урографин,ультравист и т.д...я например беру у уролога)..осушили кожу вокруг раны,наклеили лейкопластырь и...и рентген.Раньше после введения контраста накладывал Ас-повязку,контраст впитывался в салфетку и всё наслаивалось,поэтому повязку лучше не накладывать.
|
[
Ответить ]
|
Re: Непонятный свищ
Отправитель: Ниязов Нияз 22 Декабрь 2016, 21:05
|
Спасибо теперь реально буду знать как делать)))))))
Но все же я просто почистил, рана оказалась не глубокой. На гистологии ничего не нашли. Но самое главное течь стало меньше с момента моего лечения. Видимо все таки хвн.
|
[
Ответить ]
|
Re: Непонятный свищ
Отправитель: Дедок 22 Декабрь 2016, 21:40
|
Если хвн вакуум положите.... пару суток и все ок
|
[
Ответить ]
|
|
( Ответить )
|
|