Ответить
|
Re: Оперировать или нет.
Панченко Андрей 20 Декабрь 2016, 06:43
|

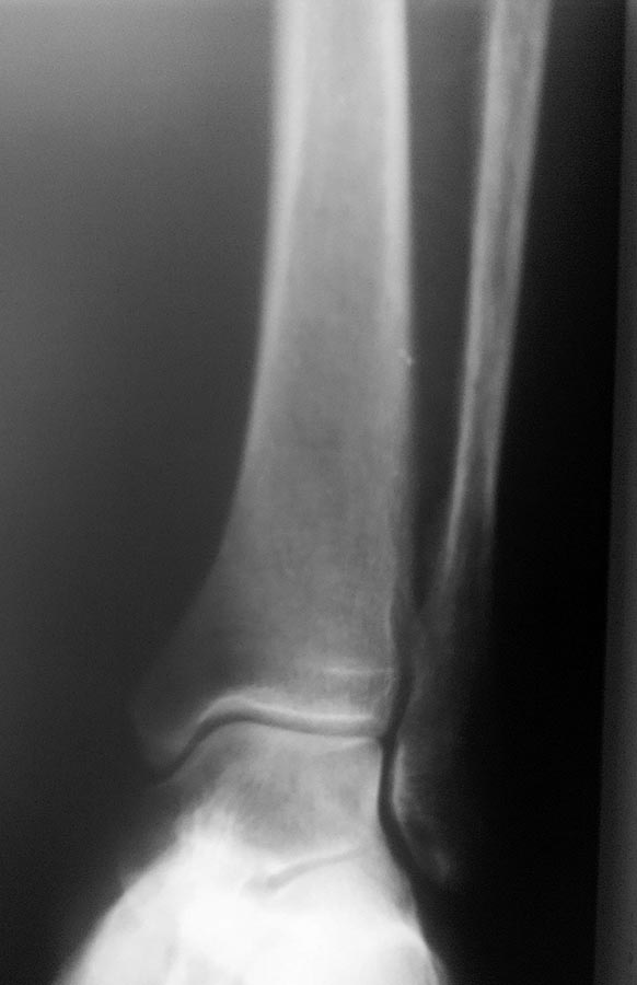
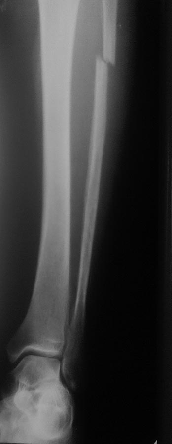
С нагрузкой весом.
|
[
Ответить ]
|
Re: Оперировать или нет.
Панченко Андрей 20 Декабрь 2016, 06:48
|
с наружной ротацией и пронацией стопы.
|
[
Ответить ]
|
Re: Оперировать или нет.
Alexander Konovalov 20 Декабрь 2016, 07:38
|
Малоберцовую кость можно сделать интрамедуллярно спицей Киршнера 1,8. На счёт ДМС, скорее всего частично, МРТ развеит вопросы.
|
[
Ответить ]
|
Re: Оперировать или нет.
Андрей 20 Декабрь 2016, 12:53
|
Посмотреть с нагрузкой под ЭОП в сравнении со здоровой конечностью.
Как выглядит перелом в боковой проекции? (если за счет повреждения МБС скорее линия перелома косая).
Какой механизм?(прямой удар в область перелома или подвернула стопу).
|
[
Ответить ]
|
Re: Оперировать или нет.
Alexey Semenistyy 20 Декабрь 2016, 14:21
|
Очевидно, что это перелом не 44С. Механизм травмы - прямой удар. Это косой перелом м/берцовой кости без повреждения голеностопного сустава и межкостный мембраной, которые наблюдаются при переломах 44С. При этом дисторсия связок г/ст сустав возможна как отдельное повреждение, с другим межанизмом, которое последовало вслед за переломом в результате непрямого воздействия. Такой перелом не нуждается ни во внутренней фикции, ни во внешней иммобилизации. Как лечить дисторсию тоже знаете.
|
[
Ответить ]
|
Re: Оперировать или нет.
Панченко Андрей 20 Декабрь 2016, 16:08
|
Механизм травмы больная точно указать не может. Не помнит как именно произошла травма (прямой удар в голень или подворот стопы). Хронический алкоголик.
Смущает одно, что при наружной ротации стопы боль передаётся на область перелома малоберцовой кости в верхней/3 и болезненность в проекции дельтовидной связки, и линия перелома м/берцовой кости косая (ближе к спирали).
Или всё таки это неполный разрыв ДМБС (только передней межберцовой связки).
На боковой R-графии ГСС: задний край б/берцовой кости цел.
|
[
Ответить ]
|
Re: Оперировать или нет.
Отправитель: Alexey Semenistyy 20 Декабрь 2016, 17:01
|
>Смущает одно, что при наружной ротации стопы боль передаётся на область перелома малоберцовой кости в верхней/3 и болезненность в проекции
А что в этом не так? При наружной ротации стопы м/б кость немногоротируется и смещается чуть кзади, т.е. двигается. Естественно, что на уровне перелома тоже происходят небольшие движения - это будет вызывать боль. Есть дисторсия (сама по себе, не связанная на прямую с переломом наверху) - она тоже болезненна при нагрузке.
Даже если есть разрыв передней связки синдесмоза (полный или неполный), изолированный он не приводит к нестабильности синдесмоз и сустава.
По рентгенологической картине это перелом от сгибания, а не от скручивания, что бывает при 44С3.
|
[
Ответить ]
|
|
( Ответить )
|