Ответить
|
Re: Перелом плечевой и головки лучевой костей (и немного локтевой)
Сергей 18 Январь 2017, 19:37
|
Добрый день. Мое мнение раз уж Вы идете на синтез дистального епиметафиза плечевой кости, то почему бы и не закрутить 1-2 микровинтика в головку лучевой кости? фиксация будет стабильной и при ранней разработке Вы не будете бояться смещения. А вообще недавно читал статью по артроскопической фиксации похожего перелома с замечательным функциональным результатом,
|
[
Ответить ]
|
Re: Перелом плечевой и головки лучевой костей (и немного локтевой)
Отправитель: Levikovich 19 Январь 2017, 00:07
|
"Вы не будете бояться смещения"..1-2 микровинта достаточно для раннего функционального лечения?.А ш то хуже,смещение отломка или миграция металлоконструкции?!!Да и каким доступом его фиксировать?
|
[
Ответить ]
|
|
Re: Перелом плечевой и головки лучевой костей (и немного локтевой)
Илья 18 Январь 2017, 20:45
|
По всей видимости необходима репозиция перелома.
|
[
Ответить ]
|
Re: Перелом плечевой и головки лучевой костей (и немного локтевой)
Александр А. 18 Январь 2017, 22:14
|
Перелом 2 типа(есть смещение и фрагмент приличный), фиксировать его необходимо с ранним началом движений в суставе.
|
[
Ответить ]
|
Re: Перелом плечевой и головки лучевой костей (и немного локтевой)
Бережной Сергей 18 Январь 2017, 23:38
|
А какой должен быть доступ к головке? При стандартном доступе с остеотомией локтевого отростка головка луча не обнажается.
|
[
Ответить ]
|
Re: Перелом плечевой и головки лучевой костей (и немного локтевой)
Отправитель: Levikovich 19 Январь 2017, 00:19
|
я так понимаю,что дополнительный доступ нужен...-задне-наружний по Кохеру.Даже при изолированных переломах головки луча МОС не лучший вариант,не так ли?..неоднократно подобные переломы встречал,даже с бОльшим смещением(!),которых убеждал на оперативное лечение и от которых многие отказывались ,а потом мне предъявляли.."видите доктор,как всё у меня замечательно,а вы говорили что необходима операция"
|
[
Ответить ]
|
|
Re: Перелом плечевой и головки лучевой костей (и немного локтевой)
Бережной Сергей 19 Январь 2017, 00:35
|
Честно говоря, пациентку сегодня прооперировал. Расширять и без того обширный доступ для доступа к головке не стал. Пост написал вчера днем, но что-то он долго шел. Снимки постараюсь выложить. Если красивые получатся.
|
[
Ответить ]
|
Re: Перелом плечевой и головки лучевой костей (и немного локтевой)
Отправитель: Levikovich 19 Январь 2017, 00:47
|
А я завтра собираюсь синтезировать головку луча...(1/2 головки..-винтом)..ранее всегда резецировал.Хотелось поговорить на эту тему)))
|
[
Ответить ]
|
|
Re: Перелом плечевой и головки лучевой костей (и немного локтевой)
Владимир Сластинин 19 Январь 2017, 10:08
|
В данном случае имеется перелом головки лучевой кости 2 типа по Mason, который в изолированном варианте можно лечить консервативно. Сломанный фрагмент занимает менее 50% площади суставной поверхности головки лучевой кости и, судя по рентгенограммам, в положении супинации предплечья обращён кнаружи. Смысл делать остеосинтез есть только для предотвращения вторичного смещения при ранних движениях в локтевом суставе. В этом случае, на мой взгляд, такое смещение можно предотвратить, избегая сгибания в локтевом суставе при пронированном предплечье в течение 2 недель. Риск смещения при сгибании в локтевом суставе с предплечьем в супинации минимален.
|
[
Ответить ]
|
Re: Перелом плечевой и головки лучевой костей (и немного локтевой)
Ильмир Хайруллин 19 Январь 2017, 18:47
|
на мой взгляд лучше резецировать головку лучевой кости.
|
[
Ответить ]
|
Re: Перелом плечевой и головки лучевой костей (и немного локтевой)
Отправитель: Paul 20 Январь 2017, 08:48
|
Почти с основания форума читаю и общаюсь с коллегами, стал замечать, что взгляды на лечение, последнее время, резко расширились!!!! Форум стал интернациональным, а коментарии респондентов стали отражать этно-политическиое мнение. Наверно я заблуждаюсь.
|
[
Ответить ]
|
Re: Перелом плечевой и головки лучевой костей (и немного локтевой)
Отправитель: Paul 20 Январь 2017, 08:48
|
Почти с основания форума читаю и общаюсь с коллегами, стал замечать, что взгляды на лечение, последнее время, резко расширились!!!! Форум стал интернациональным, а комментарии респондентов стали отражать этно-политическое мнение. Наверно я заблуждаюсь.
|
[
Ответить ]
|
|
Re: Перелом плечевой и головки лучевой костей (и немного локтевой)
Купитман Михаил 20 Январь 2017, 18:31
|
Я бы головку луча не оперировал. Фрагмент малых размеров. Расширение доступа может привести к проблемам с мягкими тканями. Если фрагмент в бубующем будет как то мешать то тогда его можно удалить. Хотя скорее всего проблем с ним не будет.
|
[
Ответить ]
|
Re: Перелом плечевой и головки лучевой костей (и немного локтевой)
Александр А. 20 Январь 2017, 22:54
|
Во всяком случае резецировать головку точно не вариант. Если есть возможность нужно обязательно сохранять. Иначе возникает нестабильность в локтевом суставе (по данным литературы)
|
[
Ответить ]
|
Re: Перелом плечевой и головки лучевой костей (и немного локтевой)
Бережной Сергей 21 Январь 2017, 01:14
|

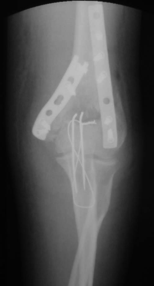
Как обещал, выкладываю послеоперационные (на следующий день после операции) фото. Заранее прошу слишком проксимальную остеотомию локтевого отростка не ругать. Обычно делаю дистальнее.
|
[
Ответить ]
|
Re: Перелом плечевой и головки лучевой костей (и немного локтевой)
Отправитель: Levikovich 21 Январь 2017, 09:42
|
Бывает и лучше,но я не видел!...класс.!
|
[
Ответить ]
|
Re: Перелом плечевой и головки лучевой костей (и немного локтевой)
Отправитель: Кирилл 22 Январь 2017, 11:26
|
А перелома головки луча на послеоперационных снимках даже не видно(возвращаясь к исходной теме)
|
[
Ответить ]
|
Re: Перелом плечевой и головки лучевой костей (и немного локтевой)
Отправитель: Rt 23 Январь 2017, 13:31
|
Простите, маленький вопрос. Обе пластины по задней поверхности. Трансфрактурного винта нет. Как достигли компрессии между отломками? (не с целью придраться)
|
[
Ответить ]
|
Re: Перелом плечевой и головки лучевой костей (и немного локтевой)
Отправитель: Бережной Сергей 24 Январь 2017, 01:22
|
Медиальная пластина изогнута спирально и ее дистальный конец лежит на заднемедиальной поверхности, в соответствии с расположением наиболее крупного фрагмента внутреннего надмыщелка. А про стягивающий винт уже написано ниже. Блок плечевой кости цел, соответственно трансфрактурный винт здесь не нужен. Если я правильно понял вопрос. И еще интересно, какая связь между расположением пластин только по задней поверхности и компрессией между отломками?
|
[
Ответить ]
|
Re: Перелом плечевой и головки лучевой костей (и немного локтевой)
Отправитель: Rt 27 Январь 2017, 12:40
|
Уточню, надмыщелки(оба) и блок. Винтов нет ,пластины сзади. Компрессия на инструменте?
|
[
Ответить ]
|
|
Re: Перелом плечевой и головки лучевой костей (и немного локтевой)
Алесандр А. 21 Январь 2017, 18:00
|
На боковой проекции петля проволоки лежит не совсем на кости. При разработке сустава локтевой отросток может немного сместиться. А плечевая вроде хорошо стоит
|
[
Ответить ]
|
Re: Перелом плечевой и головки лучевой костей (и немного локтевой)
Отправитель: Бережной Сергей 21 Январь 2017, 19:57
|
Петля проволоки вовсе не лежит на кости. Также, как и кончики спиц, она лежит поверх сухожилия трицепса. Зачем же скелетировать локтевой отросток? Главное здесь, по-моему, чтобы петля и кончики спиц располагались рядом. Тогда можно будет легко удалить всю конструкцию через сантиметровый разрез.
|
[
Ответить ]
|
Re: Перелом плечевой и головки лучевой костей (и немного локтевой)
Отправитель: Levikovich 21 Январь 2017, 23:51
|
Всю конструкцию удалить через 1 см не получится палюбому!..(спицы,проволока,пластины и винты)....спицы никак не могут мешать максимальному разгибанию,ибо локтевой отросток на сток глубоко не погружается.ну а штоб проволоку провести покости,москитом можно ,плотно проскользив по кости...а ещё лучше когда остеотомию локтевого отростка делать V-образно+ между отломками мыщелков стягивающий винт крутить...и т.д....но а в общем на пятёрку тянет..крайне редко получается как "покнижке" сделать...в данном случае МОС мыщелков и направление спиц как "покнижке"..ну а елси придираться,то можжно и ко швам придраться.
|
[
Ответить ]
|
Re: Перелом плечевой и головки лучевой костей (и немного локтевой)
Отправитель: Бережной Сергей 22 Январь 2017, 00:45
|
Всю конструкцию удаляю редко, зачем? Обычно пластины не мешают. А вот спицы под кожей часто ощущаются. И их удалить вместе с проволокой можно через маленький доступ. К тому же, сроки операций разные. Фиксаторы с локтевого отростка обычно удаляю месяцев через 5-6 (если мешают), а то и раньше. А пластины (чаще - только медиальную), если и нужно удалять, то на более поздних сроках. Насчет стягивающего винта - блок плечевой кости в данном случае не пострадал. Стягивать было нечего. И про остеотомию локтевого отростка: раньше заморачивался V-образной. Потом перестал. Поперечные остеотомии тоже прекрасно срастаются.
|
[
Ответить ]
|
Re: Перелом плечевой и головки лучевой костей (и немного локтевой)
Отправитель: Levikovich 22 Январь 2017, 01:24
|
через маленький доступ?..под общим обезболиванием,правильно?..ну тогда всё удаляйте...хотя на сегодняшний день я удаляю ток позиционный винт и крючок с ключицы)...и на стадии V-образной остеотомии локтевого отростка)... и первые 5-7 дней строго в гипсе(с целью обезболивания и воизбежания несостоятельности п/о рубца )
|
[
Ответить ]
|
Re: Перелом плечевой и головки лучевой костей (и немного локтевой)
Отправитель: Бережной Сергей 22 Январь 2017, 02:22
|
и первые 5-7 дней строго в гипсе(с целью обезболивания и воизбежания несостоятельности п/о рубца
Все операции заканчиваю пролонгиорванной местной и проводниковой анестезией наропином. После этого болевой синдром никогда не достигает серьезных значений. Больные выписываются на 3-4 день. Шью непрерывным швом. Несостоятельность швов в этом случае мало реальна. А движения (пассивные), в виде периодического изменения положения руки - важнейший момент послеоперационной реабилитации. Если в первые сутки после операции уже возможен практически полный объем движений, они уже не потеряются. А после 5-7 дней гипса - старуха надвое сказала.
|
[
Ответить ]
|
Re: Перелом плечевой и головки лучевой костей (и немного локтевой)
Отправитель: Levikovich 22 Январь 2017, 11:05
|
Да,...попробовал местно наропин,эффект чудотворный.Вот только с трудом выпросил у анестезиолога))Хотелось узнать на сколько максимального можно его разводить.я так понимаю,что, чем больше развести,тем менее продолжительным будет анестезия.
|
[
Ответить ]
|
Re: Перелом плечевой и головки лучевой костей (и немного локтевой)
Отправитель: Бережной Сергей 22 Январь 2017, 16:25
|
Для проводниковой анестезии, например, при операциях на стопах, я смешиваю пополам с 1% лидокаином. Если операция под наркозом или спинальной анестезией, можно развести физ. раствором вдвое. Или втрое, если нужен большой объем (протезирование колена). Эффект от этого короче не будет. Может быть менее выраженный, но не короче. Я когда-то начал использование наропина с подаренной упаковки. Когда коллеги и анестезиологи увидели, насколько сокращается расход анальгетиков в послеоперационном периоде и ускоряется реабилитация, клиника стала закупать на регулярной основе.
|
[
Ответить ]
|
Re: Перелом плечевой и головки лучевой костей (и немного локтевой)
Отправитель: Konstantin 24 Январь 2017, 13:35
|
Сергей здравствуйте! не могли бы поподробней описать методику послеоперационного обезболивания. Стало интересно. Можно в личку, чтобы не засорять дискуссию.
kostyara_c@mail.ru
|
[
Ответить ]
|
|
Re: Перелом плечевой и головки лучевой костей (и немного локтевой)
Александр Ч91 22 Январь 2017, 07:16
|
а можно также заранее просверлить отверстие в области верхушки локтевого отростка к каналу локтевой кости, следующим этапом сделать шевронную остеотомию отростка,а уже после всей операции синтезировать отросток шеечным винтом.
П.С. После шевронной остеотомии не обязательно делать остеосинтез по Веберу, винтом тоже получается стабильно и отросток встаёт на своё место очень хорошо.
|
[
Ответить ]
|
Re: Перелом плечевой и головки лучевой костей (и немного локтевой)
Алибек 22 Январь 2017, 08:45
|
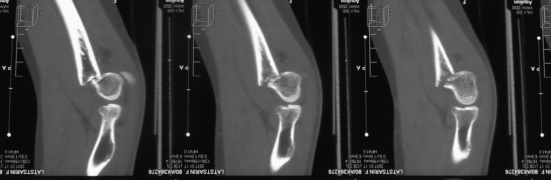
Отличная работа! И выступание спиц оправдано! Предела лучшему нет: И проволоку можно провести непосредственно над периостом отростка во избежание диастаза и частичного прорезания проволоки через сухожилие. И концы спиц загнуть полукругом, для профилактики бурсита или перфорации кожи. И банальная первичная рентгенограмма в строго прямой проекции сустава могла избавить от серии КТ.
|
[
Ответить ]
|
Re: Перелом плечевой и головки лучевой костей (и немного локтевой)
Отправитель: Бережной Сергей 22 Январь 2017, 16:41
|
А как же ее делать у пациентки с таким переломом? Рентгенограмму в строго прямой проекции. Разогнуть локоть? И репозицию заодно сделать? Уж лучше КТ.
|
[
Ответить ]
|
Re: Перелом плечевой и головки лучевой костей (и немного локтевой)
Отправитель: Александр Жужнев 22 Январь 2017, 20:53
|
Прооперировано хорошо!Ну,а если цепляться, то придраться всегда можно..Мы редко делаем,КТ в данной ситуации..Головку луча наверное не трогали бы тоже.При изолированном переломе -консервативно бы лечил.А вообще "критики" могут сказать, что и остеотомия должна быть только V,и спицы при операции Вебера многие рекомендуют направлять в сторону венечного отростка, а не по каналу, и тянуть закручиванием двух петель, а не одной, и спицы загибать и добивать в массив локтевого отростка,чтобы не мигрировали.Да и вообще скажут, что установка пластин во взаимно перпендикулярных плоскостях,уже не совсем по феншуй...Хотя все кто такое оперировали,скажут -что так проще..Сам так делаю часто, но критики находятся.Главное результат, а он будет вероятно хорошим.
Про местную инфильтрацию,чтобы не болело- интересное решение,надо попробовать, может и имеет смысл.А плане удаления фиксаторов- удалять приходится довольно часто (пластины имею в виду), может пациенты такие субтильные попадаются, что умудряются все прощупать...
|
[
Ответить ]
|
Re: Перелом плечевой и головки лучевой костей (и немного локтевой)
Отправитель: Paul 23 Январь 2017, 09:55
|
Очень рад за оперирующего врача! Не пришлось устанавливать конструкции через блок плечевой кости, а значит - результат будет хорошим!!!
Да, крепление локтевого отростка спонгиозным винтом получается только у молодых, т.к. с возрастом, костные балки - спонгиозная часть кости, в этом месте уменьшается, подобрать винт нужной длинны и диаметра (в наших условиях) практически невозможно... Рекомендую: при малейшем сомнении в надежности компрессии винта, сразу переходить на фиксацию типа Вебера.
|
[
Ответить ]
|
|
( Ответить )
|
|