Ответить
|
Re: Периимплантный перелом плеча
Юрий Алексеевич Булахтин 26 Февраль 2017, 02:16
|
Наверное, здесь все будет зависеть от общего состояния пожилого пациента: стержень, аппарат поверх пластины или функциональную повязку. Реостеосинтез пластиной, представляется наименее перспективным.
С уважением, Юрий Алексеевич Булахтин
Камчатский Военно - морской госпиталь
|
[
Ответить ]
|
Re: Периимплантный перелом плеча
Отправитель: Василий Костин 26 Февраль 2017, 21:03
|
пациентка соматически компенсирована. Первичная послеоперационная рана зажила первичным натяжением, швы сняты. Психоневрологический статус без особенностей. Рассматриваю вариант стержнем без удаления конструкции и попытаться заблокировать стержень проксимально через одно из отверстий в пластине.Имел ли кто нибудь опыт лечения таких переломов и результаты?
|
[
Ответить ]
|
Re: Периимплантный перелом плеча
Отправитель: Дмитрий 27 Февраль 2017, 19:41
|
А почему так стремитесь сохранить пластину? Может начать ресинтез с удаления пластины?
|
[
Ответить ]
|
Re: Периимплантный перелом плеча
Отправитель: Alexander Chelnokov 28 Февраль 2017, 08:46
|
Тут вполне уместно стремиться сохранить достигнутое положение отломков. Чтобы не начинать все с начала в еще более сложной ситуации.
|
[
Ответить ]
|
Re: Периимплантный перелом плеча
Отправитель: Дмитрий 01 Март 2017, 01:26
|
По-моему пластина уже ничего не фиксирует, она полностью компрометирована.
|
[
Ответить ]
|
|
Re: Периимплантный перелом плеча
Alexander Chelnokov 26 Февраль 2017, 10:54
|
Абстрактно по рентгенограммам - возможно все из перечисленного. Как там местно ткани, больная худая-толстая, сохранная ли ментально и соматически, сильно ли болит в косыночной повязке (гипсом бы с заходом на спину не мучать ее), доступны ли длинные PHN, есть ли умельцы по пластинам или по гвоздям, или можно куда-то направить, где есть... Дайте нам хоть что-нибудь, от чего оттолкнуться.
|
[
Ответить ]
|
Re: Периимплантный перелом плеча
Отправитель: Василий Костин 26 Февраль 2017, 21:24
|
Абстрактно это не понятно? По поводу местных тканей соматики и психического состояние см выше.Доступно все. Травматологи-ортопеды есть. Отправлять если только в НИИ ТО им Р.Р. Вредена находится через дорогу. Есть опыт и результаты лечения таких переломов? Чем можете помочь поделившись опытом. Спасибо! Планы тоже раскрыл в предыдущем комментарии. Случай неординарный, поэтому выставил на обсуждение.
|
[
Ответить ]
|
Re: Периимплантный перелом плеча
Отправитель: Alexander Chelnokov 26 Февраль 2017, 22:51
|
Абстрактно - это отвлеченно, то есть глядя только на рентгенограммы, без другой конкретной информации о пациенте.
Картина чуть прояснилась. План, в общем, жизнеспособный. Наверно, лучше постараться оставить в проксимальном отделе те винты, которые не помешают ввести гвоздь. Удалить через проколы остальные. Наложить дистрактор.
Про дистрактор для PHN вот тут. Понятно, что тут коррекционный маневр для вальгизации будет не нужен. Если что-то будет еще мешать, можно это в дистракторе удалить, уже не опасаясь грубого смещения головки.
Ввести гвоздь. Какой PHN есть под рукой? Ориентировать его так, чтобы ввести винты в головку спереди назад, перпендикулярно винтам в пластине. Рассчитывать на то, что какое-то отверстие в пластине совпадет с отверстием в стержне... Ну можно попробовать.
|
[
Ответить ]
|
|
Re: Периимплантный перелом плеча
Василий Костин 26 Февраль 2017, 21:34
|
Коллеги! Заранее спасибо всем за советы и комментарии!
|
[
Ответить ]
|
Re: Периимплантный перелом плеча
Антон Бехтерев 27 Февраль 2017, 00:24
|
Судя по снимку, пластина держится за головку плечевой кости. Винты в хвосте пластины висят в воздухе, так как линия перелома прошла через них. На послеоперационных рентгенограммах хвост так же отстоит?
В любом случае, БИОС плечевой кости может оказаться скомпрометированным нестабильностью проксимальной фиксации. Вариант проведения блокирующего винта через пластину сомнителен из-за диаметра отверстий под винты. Есть ли гвозди с 3,5 мм проксимальными винтами? В противном случае будет люфт при ротации плеча.
Какой послеоперационный режим Вы планируете для пациентки? Если иммобилизация, то может не городить огород с повторной операцией, но сразу лечить по Sarmiento с сохранением активных движений в локтевом суставе? Я бы предпочел последнее.
С уважением.
|
[
Ответить ]
|
Re: Периимплантный перелом плеча
Alexander Larionov 27 Февраль 2017, 10:42
|
Все таки есть моменты, когда физиологический метод рулит! Зачем вообще было ее трогать?
|
[
Ответить ]
|
Re: Периимплантный перелом плеча
Анатолий 27 Февраль 2017, 15:53
|
Я дважды подобные переломы серкляжами оперировал. Результаты хорошие
|
[
Ответить ]
|
Re: Периимплантный перелом плеча
АА 27 Февраль 2017, 21:29
|
Уважаемый коллега!
Если абстрактно, зачем нарушив экстракортикальное кровообращение нарушать ещё и интрамедуллярное? Считаю, что оперировать, коль начали - необходимо, но менять пластину на пластину(адекватную данному перелому). Спасибо!
|
[
Ответить ]
|
Re: Периимплантный перелом плеча
Алексей 28 Февраль 2017, 16:57
|
А может, руку на косыночку, и оставить бабушку в покое... А то вдруг ещё упадет, ещё чего сломает, ниже новой металлоконструкции?
|
[
Ответить ]
|
Re: Периимплантный перелом плеча
Алексей 28 Февраль 2017, 16:58
|
А может, руку на косыночку, и оставить бабушку в покое... А то вдруг ещё упадет, ещё чего сломает, ниже новой металлоконструкции?
|
[
Ответить ]
|
Re: Периимплантный перелом плеча
Anatoly Lazarev 28 Февраль 2017, 17:37
|
Думаю, надо рассматривать не как периимплантный, а как самостоятельный перелом на фоне
остеопороза у пожилого пациента. С учетом возраста приемлема наименее инвазивная тактика.
Для выбора способа остеосинтеза и предоперационного планирования выделяем два основных фрагмента:
дистальный - диафизарный и проксимальный с головкой и пластиной, у них большая площадь контакта и реальные возможности
закрытой репозиции, промежуточный фрагмент не берем в работу (подтянется футляром.
1. Дистрактор Челнокова может быть использован в качестве окончательного лечения - компоновка спице -стержневая, спицевая - полукольцо и две спицы через головку и на диафиз кольцо - полукольцо - можно и на стержнях. Вытянуть, репонировать подвести отломки для контакта. Можно усилить, улучшить условия сращения по схеме Мини-макси. После репозиции в дистракторе провести тягловые винты перкутанно для создания прямого контакта между основными отломками.
2. Можно использовать стержневой фиксатор с тонкими стержнями
3. Фантастический вариант (описан коллегами Юго-восточной Азии на голени)
Кто нам мешает - тот нам и поможет!!! Пластина с головкой и проксимальным концом - один фрагмент, диафиз - второй фрагмент.
Берем длинную пластину - сколько надо, LCP используем ее как опору монолатеральную и длинные винты LCP Пластину располагаем над кожей -
превращаем пластину LCP из внутреннего фиксатора в наружный. Вводим винты в свободные отверстия внутренней пластины из наружной пластины - проксимальный отломок 3- 4 и из наружной пластины в проксимальный отломок ниже внутренней пластины, при удачной репозиции - можно попасть в оба отломка.
Вводим винты через пластину в диафиз - дистальный отломок - 4-5, сколько надо. Фиксация будет достаточно стабильная при условии прямого контакта между основными отломками - функциональная репозиция. Можно усилить перкутанным проведением тягловых винтом 3,5 через плоскость перелома.
Вот такая вот малоинвазивная фантастика!?
По плану взятия Бастилии есть еще место для винтов в проксимальный отломок ниже внутренней пластины, возможно даже через оба отломка
Удачи ЛАФ.
|
[
Ответить ]
|
Re: Периимплантный перелом плеча
Rt 01 Март 2017, 11:55
|

А такой вариант?
|
[
Ответить ]
|
Re: Периимплантный перелом плеча
Maxim Agalakov 02 Март 2017, 22:24
|
можно попробовать полечить по Сармиенто, но! может помешать пластина, винты и предшествующее открытое всешательство. Наверное, логичнее прооперировать, лучше проксимальным длинным гвоздем, лучше "цивильным". Открыться под пластину, зафиксировать проксимальное повреждение спицами, полностью удалить пластину и забить гвоздь.Удаление части винтов закрыто может существенно удлинить операцию при заведении стержня и при блокировании, препядствовать контакту. Наверное, неплохо добавить костной пластики чипсами.
|
[
Ответить ]
|
Re: Периимплантный перелом плеча
Василий Костин 20 Март 2017, 22:32
|
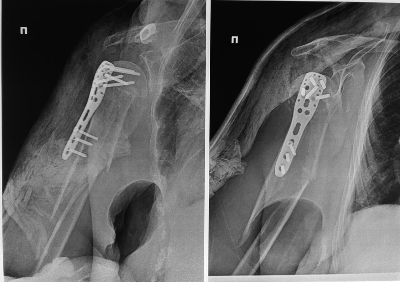
Таков результат. Раны зажили первично. Пациентка выписана без иммобилизации. Буду наблюдать в динамике. Жду комментариев.Коллеги. Спасибо всем за советы.
|
[
Ответить ]
|
Re: Периимплантный перелом плеча
Отправитель: Rt 21 Март 2017, 19:45
|
Интересное решение. Скиньте контроль по сращению,если не трудно.
|
[
Ответить ]
|
Re: Периимплантный перелом плеча
Отправитель: Alexander Chelnokov 21 Март 2017, 21:50
|
А можно более развернуто? Что как сделали?
И снимки в других проекциях увидеть бы.
По этому снимку не радует большой диастаз.
|
[
Ответить ]
|
|
( Ответить )
|
|