вверх
отправить
поиск
админ
главная
|
Ложный сустав локтевой кости на фоне посттравматического артроза |
 |
 |
 |
Отправлено Бережной Сергей 04 Март 2017, 20:47
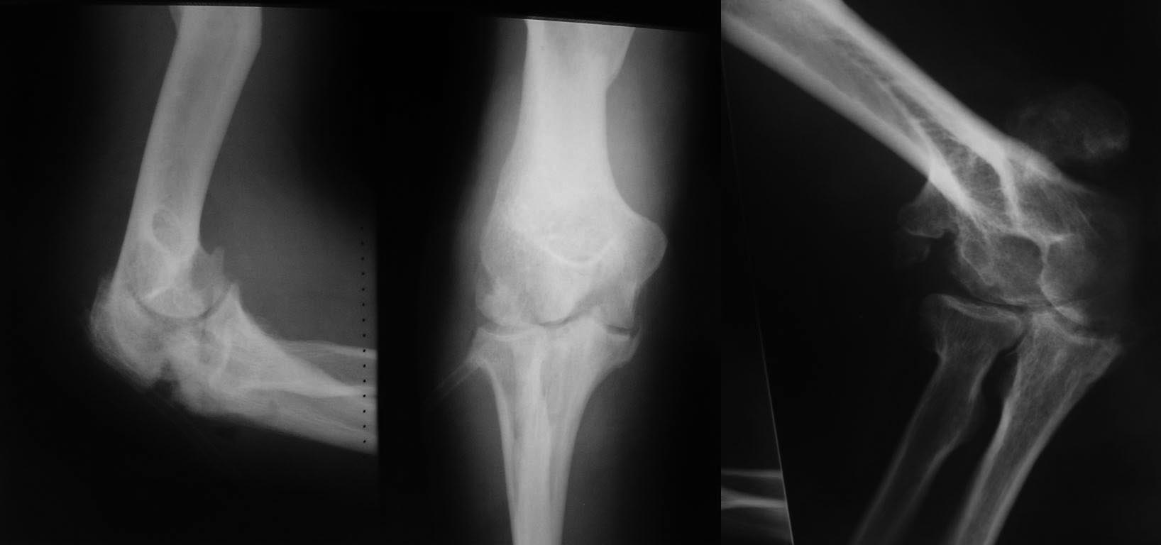
Пациент 45 лет. Обратился по поводу ложного сустава левого локтевого отростка. Травма - падение с высоты - в 2002 г. (перелом левой плечевой кости в средней трети и перелом локтевого отростка). Плечевая кость срослась самостоятельно с небольшим угловым смещением. Локтевой отросток прооперирован по Веберу. В 2003 г. обратился ко мне с картиной выраженной тугоподвижности, гнойного артрита левого локтевого сустава и ложного сустава левого локтевого отростка. Были удалены фиксаторы, сустав дренирован. Через 3 дня, после стихания явлений острого воспаления, выполнены артротомия локтевого сустава путем разъединения отломков локтевого отростка; удалены остеофиты и гетеротопические оссификаты, окружавшие локтевой сустав, выполнен артролиз (первые 2 снимка). Послеоперационная рана зажила первичным натяжением, объем движений в локтевом суставе резко увеличился. Тогда на повторную операцию пациент не решился. Решился вот уже столько лет спустя: "Сильно располнел и даже лампочку вкрутить невозможно" (третий снимок). Объем движений в локтевом суставе практически полный. Естественно, без активного разгибания. Движения безболезненны. Вопрос: какую тактику Вы бы посоветовали в данной ситуации?
<
|
>
|
|
Ответить
|
Re: Ложный сустав локтевой кости на фоне посттравматического артроза
Maxim Agalakov 10 Март 2017, 10:06
|
может не стоит что-то делать? буквально недавно был случай, оперировали плечо, на ЭОПе обнаружили локтевой отросток, подумали, что пропустили - засинтезировали. Позже выяснилось, что перелому года 3-4. Счастья не наступило, функция локтя стала только хуже.
|
[
Ответить ]
|
Re: Ложный сустав локтевой кости на фоне посттравматического артроза
Отправитель: Бережной Сергей 10 Март 2017, 23:02
|
Без подготовки прооперировали случайно выявленный ложный сустав. Результат закономерный. А представленный пациент уже прооперирован. При случае выложу результат.
|
[
Ответить ]
|
Re: Ложный сустав локтевой кости на фоне посттравматического артроза
Отправитель: Виталий 11 Март 2017, 22:11
|
Хотелось бы узнать что Вы делали представленному пациенту. Случай очень интересный, Вы его выложили довольно давно и никаких предложений никто не озвучил. У меня были мысли - два варианта, но из скромности наверное не стал их озвучивать, да и наверное не мне Вам что либо советовать. Честно говоря я бы пожалуй не стал бы ничего делать как минимум из-за сомнительности результата.
|
[
Ответить ]
|
Re: Ложный сустав локтевой кости на фоне посттравматического артроза
Отправитель: Бережной Сергей 12 Март 2017, 16:21
|
Ну при чем здесь скромность? На то и форум, чтобы каждый мог свободно высказаться. Иногда маленькая деталь из любого совета может радикально изменить предварительный план операции. А данному пациенту выполнил миолиз трицепса в области неправильно сросшегося перелома плеча. Это дало около 1.5 см прибавки длины. Остальное удлинение - за счет Z-пластики дистального сухожилия трехглавой мышцы. В результате появилась возможность без особого натяжения сблизить костные фрагменты при сгибании в локтевом суставе 90 гр. А дальше - обычная пластика ложного сустава с вскрытием костно-мозгового канала локтевой кости, экономной резекцией контактирующих поверхностей, аутотрансплантацией костной стружки с крыла подвздошной кости и фиксацией блокируемой титановой пластиной для локтевого отростка (крючок пластины уложен поверх сухожилия, место на локтевом отростке для него не скелетировалось)
|
[
Ответить ]
|
Re: Ложный сустав локтевой кости на фоне посттравматического артроза
Отправитель: Виталий 12 Март 2017, 17:24
|
Спасибо. У меня были мысли либо Z образно трицепс либо этапно в аппарате низводить отросток. Основные трудности и прогноз предполагал в связи с этим. Интересно будет узнать отдаленный результат.
|
[
Ответить ]
|
|
( Ответить )
|
|