Ответить
|
Re: Падение с высоты
Александр Лубенец 18 Март 2017, 19:57
|
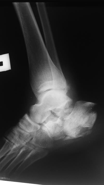
Вам достаточно этого снимка для планирования??
И еще прошу меня простить, но все таки спрошу
какое учебное заведение Вам выдало сертификат на право самостоятельной работы?
С уважением Л.А.А.
|
[
Ответить ]
|
Re: Падение с высоты
Отправитель: Sereda Andrey 19 Март 2017, 18:24
|
Александр, видимо просто у коллеги только один снимок из множества прикрепился. В институтах этому не обучают. Вот вы, например, тоже не умеете пользоваться гуглем и не владеете майкрософт оффисом, но это же не запрещает вам самостоятельно лечить больных.
|
[
Ответить ]
|
Re: Падение с высоты
Отправитель: Александр Лубенец 19 Март 2017, 20:09
|
Андрей, при всем уважении, чем еще я не владею ?? ))
|
[
Ответить ]
|
Re: Падение с высоты
Отправитель: Sereda Andrey 20 Март 2017, 21:02
|
Александр, при всем встречном уважении - у человека просто не получилось прикрепить снимки. ИМХО это недостаточный повод для критики профессиональной компетенции. Интерфейс ортофорума мне, например, тоже интуитивно не понятен.
По поводу владения офисом и гуглем - просто уже притча. Все говорят о том, что умеют гуглем пользоваться. Но потом выясняется, что это умение ограничивается вбиванием поисковых запросов в строку.
А при просьбе дать сравнительный график процента охваченных медосмотрами женщин на сносях в Эфиопии в сравнении с Новой Зеландией и Афганистаном по годам сдаются. Ну вот проверьте себя этой задачей. ;-)
|
[
Ответить ]
|
Re: Падение с высоты
Отправитель: Бек 20 Март 2017, 13:41
|
Александр я то вложил снимков наверно просто не прекрепился ))
Когда вкладываешь не знаешь что сколько снимков вкладывал. Сайт га следующий День опубликует материалов
|
[
Ответить ]
|
|
Re: Падение с высоты
Бек 20 Март 2017, 13:27
|

Р
|
[
Ответить ]
|
Re: Падение с высоты
Отправитель: Бек 20 Март 2017, 13:30
|
2
|
[
Ответить ]
|
Re: Падение с высоты
Отправитель: Бек 20 Март 2017, 13:36
|
3
|
[
Ответить ]
|
Re: Падение с высоты
Отправитель: Sereda Andrey 20 Март 2017, 20:55
|
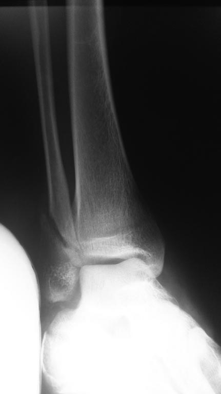
Уважаемый Бек, принципиально тут два варианта.
1) Леге артис - открытая репозиция остеосинтез пластиной. Тяжело, успешно в опытных руках, единственный способ восстановить суставную поверхность пяточной кости. К сожалению, высок риск осложнений, в первую очередь некроз кожи и, соответственно, инфекция.
2) Технически попроще - монтаж аппарата Голень стопа с дистальной тракцией бугра пяточно кости. Восстановит только угол Белера. Суставную поверхность не восстановит. Потом скорее всего потребуется подтаранный артродез.
|
[
Ответить ]
|
Re: Падение с высоты
Отправитель: Бек 21 Март 2017, 23:14
|
На 4 сутки накладывал авф на обе пятки .
Со второй сутки потемнение 4.5 пальцев правой стопы 2раза уздг делал тромбоза нет. После аппарата пальцы чувствовали чцвствовать . цвет 4.5пальцев пока не иземилась.
IMG-20170320-WA0033.jpg
42KB (43863 bytes)
|
[
Ответить ]
|
|
Re: Падение с высоты
Александр Лубенец 21 Март 2017, 00:05
|
Андрей Петрович признаю по поводу Гугла уели.
Уважаемый БЕК надеюсь я Вас не обидел. Кстати есть еще один малоинвазивный вариант по по пяткам))
|
[
Ответить ]
|
Re: Падение с высоты
Отправитель: Sereda Andrey 21 Март 2017, 00:30
|
Вдруг пригодится.
https://www.google.ru/publicdata/explore?ds=d5bncppjof8f9_&ctype=m&strail=false&bcs=d&nselm=s&met_s=sh_sta_anvc_zs&scale_s=lin&ind_s=false&ifdim=country&hl=ru&dl=ru&ind=false&xMax=180&xMin=-180&yMax=-66.60402452149488&yMin=76.29795606688602&mapType=t&icfg&iconSize=0.5
|
[
Ответить ]
|
|
Re: Падение с высоты
Александр Лубенец 21 Март 2017, 00:12
|
Дополнительно дооперационная СКт
|
[
Ответить ]
|
Re: Падение с высоты
Дедок Михаил 24 Март 2017, 00:21
|
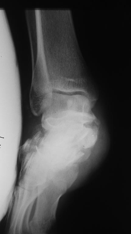
Бек! Пациент тяжелый! Если местный статус спокойный, есть с дуга, то в операционной введите винт шанца в пятку свеху и как рычагом его низведите. На худой конец однозубым крючком книзу. Пока один держит под контролем С дуги несколько винтов как показали коллеги. Лодыжку я бы синтезировал стандартно, смещение более 2 мм. Конечно, надо бы пластинку на пятку, открыто, сустав восстановить.... один фиг они потом месяцами ( годами) мозг выносят, что болит. ( если ещё заживет первично). Только не спицами. По ним все сползет.
|
[
Ответить ]
|
( Ответить )
|
|