AOTRAUMA.ORG Центр Илизарова  

Ортопедия и травматология Общие вопросы/General questions Help Информационные технологии в медицине
 вверх
 отправить
 поиск
 админ
 главная


Лодыжки
Ортопедия и травматология Отправлено Vlad Kozanchuk 27 Март 2017, 13:45
Добрый день, коллеги!
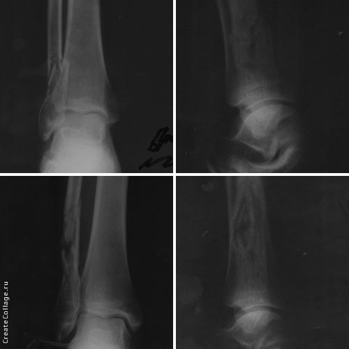
Пациент 36 лет, травму получил 14.03.2017 арматурой за то, что находился в неположенном месте в неположенное время.
По латеральной поверхности г/ст суставов - ушибленые раны по 3 см. При поступлении выполнена ПХО ран, наложены гипсовые повязки.
На данный момент раны зажили, отёчность уменьшилась.
Собственно вопрос, стоит ли оперировать лодыжки?
Пациент молодой, но очень "интересный", уровень выполнения рекомендаций врача стремится к нулю.

<  |  >

 

  • Сообщения о Ортопедия и травматология
  • Также Vlad Kozanchuk
  • Связаться с автором
  • Ответить

    Re: Лодыжки
    Руслан 28 Март 2017, 02:24
    Приветствую Вас.Как говорил мой учитель.... Умные операции,-умным людям. Или как говорю в подобных случаях я...... Лучше гипс и кроватка - чем гранит и оградка. С глубоким ув.
    Лукич
    [ Ответить ]

    Re: Лодыжки
    Руслан 28 Март 2017, 02:24
    Приветствую Вас.Как говорил мой учитель.... Умные операции,-умным людям. Или как говорю в подобных случаях я...... Лучше гипс и кроватка - чем гранит и оградка. С глубоким ув.
    Лукич
    [ Ответить ]

    Re: Лодыжки
    Paul 28 Март 2017, 09:35
    Опираясь на данные анамнеза и этиологию данной травмы:
    Связочный аппарат сустава повреждён минимально.
    Взаимоотношения в суставе - хорошие.
    Рана заживает благоприятно (локальные сосудистые расстройства - минимальные).
    Вывод: Укрепить гипсовую повязку (как вариант - полимерная повязка Скоч-каст).
    [ Ответить ]

    Re: Лодыжки
    Виталий 28 Март 2017, 14:09
    Какой бы ни был пациент, по представленным рентгенограммам - нет никаких показаний к оперативному лечению.
    [ Ответить ]

    Re: Лодыжки
    Игорь Кучерявый 28 Март 2017, 18:47
    С учетом механизма травмы - консервативно, ИМХО.

    С уважением,
    Кучерявый Игорь,
    г. Сергиев Посад.
    [ Ответить ]

    Re: Лодыжки
    Леонид Пак 28 Март 2017, 19:39
    Травма прямая. С учетом локализации и механизма травмы нестабильности в г\стопном суставе быть не должно - консервативное лечение !

    С уважением
    [ Ответить ]

    Re: Лодыжки
    Бонифаций 02 Апрель 2017, 18:16
    Если хочется потренироваться в закрытом остеосинтеза малоберцовой кости - то почему бы и нет. Взять пластину подлиннее, зафиксировать мостовидно из двух разрезов. Конечно же, если раны были не в зоне возможных разрезов.
    А так - абсолютных показаний к операции нет. Смена гипса на циркулярную повязку после снятия швов с ран. На всякий случай - рентген контроль в окончательной повязке
    [ Ответить ]


    ( Ответить )

    Powered by Zope  Squishdot Powered MedLink
    Посетитель: 0194218
      "По форме правильно, а по существу - издевательство" В.И.Ленин
    ©2001-2019Orthoforum Coordinator.
    [ Главная | Отправить сообщение | Поиск | Админ ]