AOTRAUMA.ORG Центр Илизарова  

Ортопедия и травматология Общие вопросы/General questions Help Информационные технологии в медицине
 ВХОД ДЛЯ ПАЦИЕНТОВ
 вверх
 поиск
 админ
 главная


Последствия травмы голеностопного сустава у подростка
Ортопедия и травматология Прислано Баир 27 Апрель 2017, 18:30
из
Здравствуйте, глубокоуважаемые коллеги.
Хотим посоветоваться с Вами по тактике лечения девочки 13 лет.
К нам обратилась девочка с жалобами на боли в правом коленном суставе и стопе. Со слов боли в течение последних 6 месяцев, усиливаются после длительной ходьбы. В покое не беспокоят либо быстро купируются приемом НПВП. Ночных болей нет. По месту жительства выполнялись Р граммы коленных суставов и УЗИ. Какой либо существенной проблемы не обнаружено.
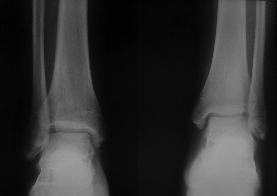
При осмотре походка не нарушена. Обращает на себя внимание, справа несколько больше контурируется головка правой малоберцовой кости. При пальпации болезненность в проекции, головки малоберцовой кости и малоберцового нерва. Боли в стопе в области пятки и тыла стопы. Пареза малоберцового нерва нет, парастезии, расстройств чувствительности нет. Невролог еще не смотрел. Других видимых и пальпируемых изменений не обнаружено. Единственное, что можно добавить, несколько увеличена латеральная лодыжка в сравнении с контралатеральной.
Движения в коленном и голеностопном суставе в полном объеме.

При измерении длины конечностей имеется укорочение правой голени до 1,5 см. При том сама пациентка этого не замечала. Каких либо беспокойств это укорочение доставляет. При «выпытывании» выяснили, что несколько лет назад был перелом голени в н/3, лечилась оперативно. Закрытая репозиция, остеосинтез спицами остеоэпифизиолиза большеберцовой кости в н/3 со смещением. Нашла выписку. В дальнейшем, каких либо жалоб нет. Пациентка была на амбулаторном приеме, успел сделать фото имеющихся снимков телефоном. Рентгенограммы какие есть. Извините.
Нами было предложено дообследование и оперативное лечение. В настоящее время ребенок доучивается в школе и планирует госпитализироваться в конце мая.

В нашем дружном (без кавычек) коллективе возникли разногласия по тактике лечения. Было предложено несколько решений данной проблемы:
1. Самые консервативные – оставить как есть, понаблюдать ЛФК, массаж итд. Пусть дальше подрастет и решить, что делать. Противники – зона роста закрылась, ну или почти и ожидать улучшения сомнительно. Боли сохраняются и вероятно будут усиливаться. Нарушена анатомия голеностопного сустава. Вероятно прогрессирование невропатии малоберцового нерва.
2. Самые радикальные – немедленно удлинить только большеберцовую кость до долженствующей длины, с учетом анатомии голеностопного сустава. Ориентировочно до 2,0 см. Компоновка аппарат обсуждаема. Плюсы – восстановление анатомии. Минус длительность лечение. Противники - зачем гоняться за 1-2 см.
3. Экспериментальные – укорочение малоберцовой кости, резекция до 2,0 см. Далее сама? Установится на место?
4. И осторожные - резекция/ косая остеотомия малоберцовой кости и в аппарате компрессия до долженствующей анатомии. Плюсы и минусы очевидные в каждой методике. Очень хотелось бы услышать Ваше мнение коллеги. Я думаю, многие уже встречались с данной ситуацией и выходили из нее победителями. Однако, к моему сожаления я столкнулся с ней впервые. Заранее благодарен. С уважением Самбатов Баир. К сожалению не понятно какие фото прикрепились как нет.

Послать ответ

Имя
Email
Уведомление Сообщить мне по e-mail об ответах на это сообщение
Название
Комментарий
(Проверьте URL! Не забудьте написать http://!)
Кодировка
Если не знаете, что выбрать, выберите "Просто текст"!
Приложение
Можно приложить к сообщению файл c изображением, который затем будет доступен увидевшим сообщение.
Подготовка иллюстраций:
  • Рентгенограммы: черно-белые полутоновые изображения в формате JPEG (8 bit, greyscale) с разрешением от 300х200 до 1024х768 пикселов;
  • Клинические фотографии: полноцветные изображения в формате JPEG (24 bit, truecolor) с разрешением от 300х200 до 1024х768 пикселов;
  • Схемы и рисунки: черно-белые (2 bit) штриховые (line-art) изображения в формате GIF или compressed TIFF
  • Подберите степень сжатия файла JPEG и размер изображения таким образом, чтобы необходимые детали были различимы, но размер файла не превышал 75 кб.
  • Учтите, что текущая версия программного обеспечения Форума позволяет приложить к одному сообщению лишь один файл-вложение. Поэтому, если необходимо отправить несколько изображений, можно либо послать каждое как отдельное сообщение, либо в графическом редакторе объединить изображения в одно (сделать коллаж).
  • Если при подготовке изображений встречаются трудности, не стесняйтесь обратиться к координатору Форума.

  • Введите видимые символы в обратном порядке. Enter the above characters in reverse order (*Обязательно)
    В тексте сообщения можно использовать теги HTML <B> <I> <P> <A> <LI> <OL> <UL> <EM> <BR> <TT> <HR> <STRONG> <BLOCKQUOTE> <DIV .*> <DIV> <P .*>
  • Обратите внимание: Поля с жирными названиями обязательны.
  • Старайтесь отвечать в рамках обсуждаемой темы, а не начинать новые обсуждения.
  • Указывайте адекватную тему сообщения, чтобы было ясно, о чем оно.
  • Не послайте сообщений не по теме (оффтопик), раздраженных, грубых или обидных комментариев. Здесь это неуместно.
  • Powered by Zope  Squishdot Powered MedLink
    Посетитель: 0176273
      "По форме правильно, а по существу - издевательство" В.И.Ленин
    ©2001-2019Orthoforum Coordinator.
    [ Главная | Отправить сообщение | Поиск | Админ ]