вверх
отправить
поиск
админ
главная
|
Перелом тела таранной кости.Первичнй артродез . |
 |
 |
 |
Отправлено Илья 08 Май 2017, 11:59
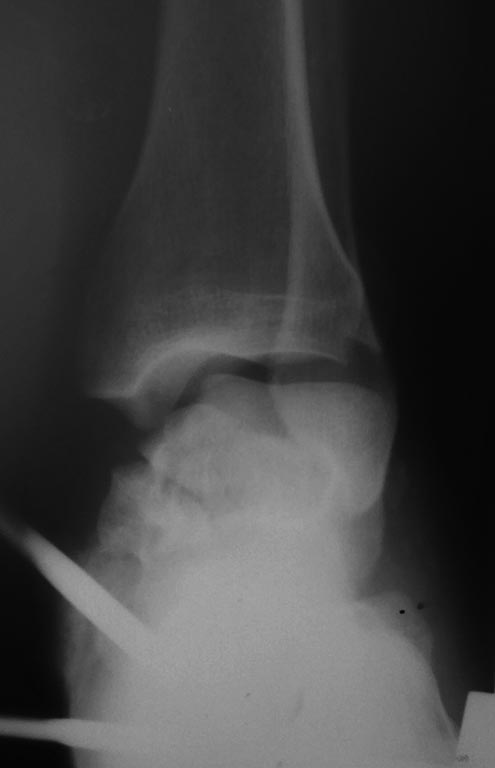
Глубокоуважаемые коллеги! Просим поделиться опытом и по возможности отдаленными результатами лечения пациентов c подобными повреждениями. Пациент С. 28 лет строитель с вредными привычками,пострадал 1 05 17. Стабилизировали в АВФ,лечим мягкие ткани.По нашему мнению, положительные результаты (особенно отдаленные) реконструктивных операций при подобных повреждениях - сомнительны, склоняемся к первичному артродезированию ретроградным стержнем.Каковы Tips & Tricks,в данной ситуации, необходимо учесть? Какова вероятность лизиса девитализированных фрагментов, ипонадобится ли в последующем костная пластика? Благодарю за участие! С Ув.Илья
<
|
>
|
|
Ответить
|
Re: Перелом тела таранной кости.Первичнй артродез .
Андрей Волна 09 Май 2017, 11:40
|
Уважаемый Илья, на самом деле мало у кого уж очень большой опыт лечения переломов таранной кости.
Так же добавлю, что переломы тела и шейки отличаются и по прогнозам, и по доступам и тд.
70 процентов питания хрящ таранной кости получает из суставной жидкости. Поэтому ранняя репозиция и стабильный остеосинтез, и, следовательно, ранние движения очень важны.
Что-то большее подсказать трудно. Нужна КТ. Если нет, то как минимум - снимки до АВФ и после в стандартных и косых проекциях. Для начала.
|
[
Ответить ]
|
Re: Перелом тела таранной кости.Первичнй артродез .
Илья 09 Май 2017, 20:59
|

Дублирую Ро и СКТ
|
[
Ответить ]
|
Re: Перелом тела таранной кости.Первичнй артродез .
Илья 09 Май 2017, 21:00
|

СКТ
|
[
Ответить ]
|
Re: Перелом тела таранной кости.Первичнй артродез .
Андрей Волна 10 Май 2017, 10:36
|
Я бы начал из внутреннего доступа с остеотомией внутренней лодыжки. Нужны винты и поддерживающая пластина 2,0,и 1,5 мм. Винты с погружными головками будут крайне полезны (типа Герберта). Если восстановить суставную поверхность и форму таранной кости из одного доступа не получится, то придётся использовать и наружный доступ с остеотомией наружной лодыжки.
Это всё сложно и надолго (имею ввиду время операции). Никто не должен дышать в спину ("давай-давай, у нас ещё лодыжки поступили").
Так бы я поступил в данном случае. Но, прежде чем действовать, нужно быть уверенным и в ресурсной обеспеченности, и в технологической (навыки).
|
[
Ответить ]
|
Re: Перелом тела таранной кости.Первичнй артродез .
Отправитель: Илья 10 Май 2017, 23:32
|
Спасибо Андрей Анатольевич за Ваш совет,экспертов переломов таранной кости действительно не много и
комментариев тоже :-). Изначально наш план соответствовал изложенному Вами,единственное с добавлением костной пластики, но заведомо неблагоприятный исход
поставил под сомнения вопрос реконструктивной операции и тут мнения разделились...
Однако,Ваш опыт,а так же клинические наблюдения,рекомендации и аргументы многоуважаемого Джолдаса
Кульджанова такие как: "Несмотря на плохой прогноз, надо стремиться к первичной репозиции костей, а не к
первичному артродезу","множество наблюдений больных с аваскулярным некрозом, где место тарана заполнялось фиброзной матрицей
и жалоб особых не проявляли","артродез вторым этапом намного легче, потому что таранная кость, кое-где срастаясь, сохранит массу,
которую в дальнейшем можно использовать как пластический материал и тем самым можно уменьшить укорочение конечности.",заставляют
снова задуматься о реконструкции.
|
[
Ответить ]
|
|
( Ответить )
|
|