AOTRAUMA.ORG Центр Илизарова  

Ортопедия и травматология Общие вопросы/General questions Help Информационные технологии в медицине
 ВХОД ДЛЯ ПАЦИЕНТОВ
 вверх
 поиск
 админ
 главная


Замедленная консолидация
Ортопедия и травматология Прислано Юрий 29 Май 2017, 13:30
из
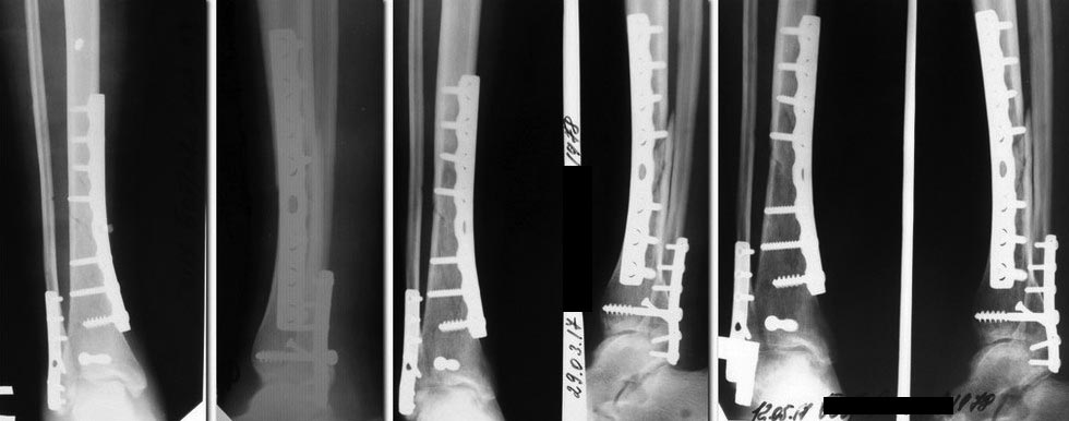
Уважаемые коллеги, помогите по тактике лечение. Девушка 39 лет,работающая, без вредных привычек, состояние после остеосинтеза костей голени от 20.12.2016.
Травма бытовая 12.12.2016, 20.12.2016 выполнена открытая репозиция остеосинтез большеберцовой кости пластиной, заднего края ДМЭ винтом, синтез наружной лодыжки пластиной. Рентгенограмм до операции нет. До прошлой недели ходила на костылях без нагрузки, принимала остеогенон. В январе курс реабилитации. В настоящий момент клинически - отека нет, п/о рубец без патологии, пальпация голени безболезненна. Движения в коленном суставе в полном объеме, небольшое ограничение тыльной флексии в голеностопном суставе. Разрешена нагрузка 20-25 кг (до 50% массы тела), 3 дня в таком режиме - новых жалоб не появилось. Мнения по дальнейшему ведению разделились.
1 вариант - продолжить ЛФК, физиолечение, медикаментозную терапию с дозированной нагрузкой. Подождать до еще хотябы 3 мес. 2 вариант - оперативное лечение с костной пластикой.
Подскажите, кто бы как поступил?

Послать ответ

Имя
Email
Уведомление Сообщить мне по e-mail об ответах на это сообщение
Название
Комментарий
(Проверьте URL! Не забудьте написать http://!)
Кодировка
Если не знаете, что выбрать, выберите "Просто текст"!
Приложение
Можно приложить к сообщению файл c изображением, который затем будет доступен увидевшим сообщение.
Подготовка иллюстраций:
  • Рентгенограммы: черно-белые полутоновые изображения в формате JPEG (8 bit, greyscale) с разрешением от 300х200 до 1024х768 пикселов;
  • Клинические фотографии: полноцветные изображения в формате JPEG (24 bit, truecolor) с разрешением от 300х200 до 1024х768 пикселов;
  • Схемы и рисунки: черно-белые (2 bit) штриховые (line-art) изображения в формате GIF или compressed TIFF
  • Подберите степень сжатия файла JPEG и размер изображения таким образом, чтобы необходимые детали были различимы, но размер файла не превышал 75 кб.
  • Учтите, что текущая версия программного обеспечения Форума позволяет приложить к одному сообщению лишь один файл-вложение. Поэтому, если необходимо отправить несколько изображений, можно либо послать каждое как отдельное сообщение, либо в графическом редакторе объединить изображения в одно (сделать коллаж).
  • Если при подготовке изображений встречаются трудности, не стесняйтесь обратиться к координатору Форума.

  • Введите видимые символы в обратном порядке. Enter the above characters in reverse order (*Обязательно)
    В тексте сообщения можно использовать теги HTML <B> <I> <P> <A> <LI> <OL> <UL> <EM> <BR> <TT> <HR> <STRONG> <BLOCKQUOTE> <DIV .*> <DIV> <P .*>
  • Обратите внимание: Поля с жирными названиями обязательны.
  • Старайтесь отвечать в рамках обсуждаемой темы, а не начинать новые обсуждения.
  • Указывайте адекватную тему сообщения, чтобы было ясно, о чем оно.
  • Не послайте сообщений не по теме (оффтопик), раздраженных, грубых или обидных комментариев. Здесь это неуместно.
  • Powered by Zope  Squishdot Powered MedLink
    Посетитель: 0000069
      "По форме правильно, а по существу - издевательство" В.И.Ленин
    ©2001-2019Orthoforum Coordinator.
    [ Главная | Отправить сообщение | Поиск | Админ ]