вверх
отправить
поиск
админ
главная
|
Подскажите оптимальную тактику - перелом шейки бедра при политравме |
 |
 |
 |
Отправлено Rt 23 Июнь 2017, 19:20
Коллеги, подскажите оптимальную тактику. Мотоциклист, 30 лет, политравма,Ч МТ, перелом лицевого скелета,открытая проксимальная голень и ипсилатеральная шейка бедра. Более недели в РАО. На данный момент стабилен,переведен в отделение. Вопрос по шейке, срок упущен,да и повреждение с максимальным нарушением кровоснабжения,что оптимальный - синтез или первичное эндопротезирование? Мнения разделились.
<
|
>
|
|
Ответить
|
Re: Подскажите оптимальную тактику - перелом шейки бедра при политравме
Alexander Chelnokov 23 Июнь 2017, 22:38
|
Срок не так чтобы и упущен, и позже доводилось, риск некроза есть, но это не 100%. В 30 лет, конечно, надо остеосинтез делать. Только не винтами, тут надо что-то angle stable - PFN, recon nail, DHS, Targon FN... Ну и закрытую репозицию хорошо сделать.
|
[
Ответить ]
|
Re: Подскажите оптимальную тактику - перелом шейки бедра при политравме
Гамиль Гарифуллов 24 Июнь 2017, 23:53
|
выполните стабильный остеосинтез, и дайте шанс пациенту протез поставить никогда не поздно. я бы поставил реконструктивный штифт! удачи!
|
[
Ответить ]
|
Re: Подскажите оптимальную тактику - перелом шейки бедра при политравме
Павел Гуреев 25 Июнь 2017, 09:04
|
Я бы выполнил синтез проксимальным бедренным гвоздем. Пациент молодой, остеопороза нет, перелом ближе к базисцервикальному, сроки позволяют выполнить репозицию. К тому же политравма, - предпочтительно выполнить наименее инвазивное вмешательство. Зачем пациенту лишняя кровопотеря, ведь это не один сегмент, который требует внутренней фиксации. Гуреев Павел, ГКБNo.3 Астрахань.
|
[
Ответить ]
|
Re: Подскажите оптимальную тактику - перелом шейки бедра при политравме
KV 25 Июнь 2017, 19:57
|
Не могу понять - почему при переломах шейки обсуждается проксимальный бедренный гвоздь. В руководствах к ним перелом шейки - противопоказание. И логично - ведь будет дополнительная травма источнику кровоснабжения и в проксимальном бедре кроме железки мало что будет. Думаю только - DHS.
|
[
Ответить ]
|
Re: Подскажите оптимальную тактику - перелом шейки бедра при политравме
Отправитель: Анатолий 25 Июнь 2017, 23:44
|
плюсую. А почему не винтами после вытяжения?
|
[
Ответить ]
|
Re: Подскажите оптимальную тактику - перелом шейки бедра при политравме
Отправитель: Alexander Chelnokov 26 Июнь 2017, 00:42
|
Потому, что при таком латеральном переломе варусный коллапс после остеосинтеза винтами особенно вероятен. Так что если винтами - то с диафизарной накладкой, типа Targon FN.
|
[
Ответить ]
|
Re: Подскажите оптимальную тактику - перелом шейки бедра при политравме
Отправитель: Alexander Chelnokov 26 Июнь 2017, 00:27
|
В руководствах к ним перелом шейки - противопоказание
Это смотря где смотреть. В инструкции к старому PFN с нефиксированными винтами? Так сам этот PFN и подобные - одно большое противопоказание к любому их использованию. А в инструкции к InterTAN, например, в показаниях указаны не только вертельные переломы, но и "ipsilateral femoral shaft/neck fractures; intracapsular fractures" (https://www.smith-nephew.com/global/surgicaltechniques/trauma/trigen-intertan-gold-st-01120.pdf).
У Gamma-3 в противопоказаниях медиальные переломы шейки - из-за невозможности обеспечить одним винтом фиксацию короткого отломка головки. То есть ровно те же, что и у DHS.
Но здесь довольно латеральный перелом. И конечно, надо какой-то имплантат, исключающий ротацию.
|
[
Ответить ]
|
Re: Подскажите оптимальную тактику - перелом шейки бедра при политравме
Отправитель: Maxim Agalakov 26 Июнь 2017, 14:06
|
Если будем делать синтез - то скорее всего DHS c с деротационным винтом
|
[
Ответить ]
|
|
Re: Подскажите оптимальную тактику - перелом шейки бедра при политравме
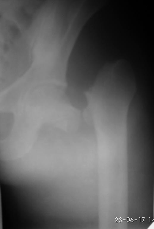
Rt 30 Июнь 2017, 12:58
|

Пока только фас. Бок технически не получилось (АВФ бедро-голень на уровне колена). Профиль С ЭОПа.
|
[
Ответить ]
|
Re: Подскажите оптимальную тактику - перелом шейки бедра при политравме
Отправитель: Alexander Chelnokov 03 Июль 2017, 12:27
|
Молодцы, хорошо получилось.
|
[
Ответить ]
|
Re: Подскажите оптимальную тактику - перелом шейки бедра при политравме
Отправитель: Rt 05 Июль 2017, 20:08
|
К сожалению угол dhs (140) большой,меньше не возят.
|
[
Ответить ]
|
|
( Ответить )
|
|