AOTRAUMA.ORG Центр Илизарова  

Ортопедия и травматология Общие вопросы/General questions Help Информационные технологии в медицине
 вверх
 отправить
 поиск
 админ
 главная


Перелом вертлужной впадины у ребенка
Ортопедия и травматология Отправлено Иван 11 Июль 2017, 17:16
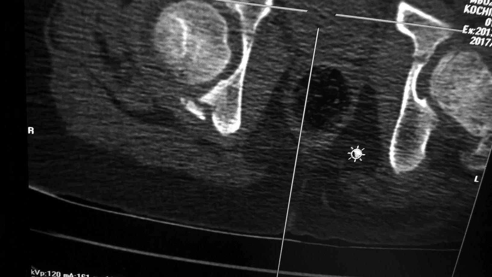
Добры день, коллеги! Помогите пожалуйста определиться с тактикой ведения больного. Ребенок 11 лет (мальчик), травма 04.07.17г: падение с высоты 3м.
Вот такой вот перелом вертлужной впадины. Есть ли необходимость в фиксации перелома? Или будет достаточно 3 недели вытяжения, далее иммобилизация? Спасибо.

<  |  >

 

  • Сообщения о Ортопедия и травматология
  • Также Иван
  • Связаться с автором
  • Ответить

    Re: Перелом вертлужной впадиный ц ребенка
    Александр 12 Июль 2017, 17:04
    Консервативно,на скелетном вытяжении.
    [ Ответить ]


    ( Ответить )

    Powered by Zope  Squishdot Powered MedLink
    Посетитель: 0174809
      "По форме правильно, а по существу - издевательство" В.И.Ленин
    ©2001-2019Orthoforum Coordinator.
    [ Главная | Отправить сообщение | Поиск | Админ ]