AOTRAUMA.ORG Центр Илизарова  

Ортопедия и травматология Общие вопросы/General questions Help Информационные технологии в медицине
 вверх
 отправить
 поиск
 админ
 главная


Удаление стержня из бедра перед эндопротезированием?
Ортопедия и травматология Отправлено вадим 24 Июль 2017, 22:00
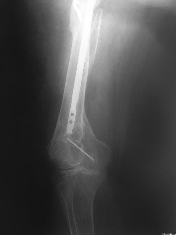
здравствуйте уважаемые коллеги. нужна помощь в дальнейшей тактике по пациентке 62 года вес около 90 кг . передвигается при помощи костылей .
В 2011 году остеосинтез правого бедра на данный момент ложный сустав шейки правого бедра. что бы отправить на ВМП нужно удалить металл, боимся за диафиз бедра. как поступить и кто сможет помочь?

<  |  >

 

  • Сообщения о Ортопедия и травматология
  • Также вадим
  • Связаться с автором
  • Ответить

    Re: Удаление стержня из бедра перед эндопротезированием?
    Сергей 25 Июль 2017, 14:14
    Реостеосинтез ретроградным стержнем. Снимков мало.
    [ Ответить ]

    Re: Удаление стержня из бедра перед эндопротезированием?
    Alexander Chelnokov 25 Июль 2017, 18:02
    Действительно, и ждать, пока окрепнет в области диафиза, можно годами. И если заранее удалять - может ослабленный диатез сломаться, и в условиях болтающегося диафиза уже никто ни на какую ВМП не поедет.
    Поэтому оптимально заранее договориться с тем центром, куда пациент поедет для замены сустава, чтобы сделали в одну сессию. И обеспечить коллегам заранее всю информацию - что за железка, и где взять инструмент для удаления.
    И для планирования, конечно, этого одного снимка мало - надо все бедро видеть, и зону бывшего перелома особенно хорошо. То ли там схватилось, то ли надо сразу планировать длинную ревизионную ножку, чтобы перекрыть эту зону.
    [ Ответить ]

    Re: Удаление стержня из бедра перед эндопротезированием?
    вадим 26 Июль 2017, 00:26

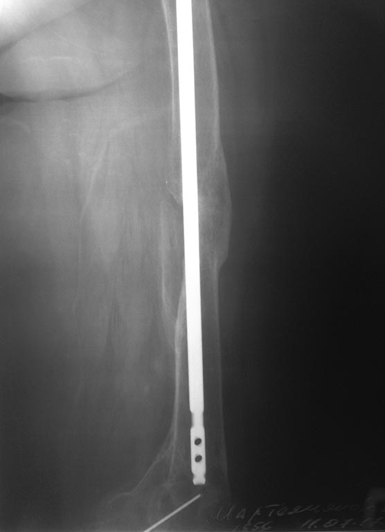
    еще снимки

    [ Ответить ]

    Re: Удаление стержня из бедра перед эндопротезированием?
    KV 27 Июль 2017, 07:32
    Надо ли искать приключений для себя и, самое главное, для пациентки?
    [ Ответить ]

    • Re: Удаление стержня из бедра перед эндопротезированием?
      Отправитель: Вадим 27 Июль 2017, 12:32
      Пациентка настроена на операцию сама. Умоляет помочь.вот и решил спросить здесь может у кого есть опыт в лечение таких пациентов

      [ Ответить ]
    Re: Удаление стержня из бедра перед эндопротезированием?
    Виталий 27 Июль 2017, 15:39
    Мозоль достаточно мощная, не должно быть никаких проблем после удаления.
    [ Ответить ]

    Re: Удаление стержня из бедра перед эндопротезированием?
    Anatol 30 Июль 2017, 00:41
    Оптимальный вариант - все сделать в одну операцию. Но если это невозможно организационно, можно удалить стержень. Пациентка ходит на костылях - полной нагрузки не будет из-за ложного сустава шейки. Если после эндопротезирования возникнет подвижность на уровне диафиза - остеосинтез пластиной и костная пластика. Если подвижность возникнет сразу после удаления стержня - все сделать в обратной последовательности (пластина, костная пластика, протез). Безусловно, наличие ревизионной ножки расширило бы возмозможности решения проблемы.

    [ Ответить ]

    Re: Удаление стержня из бедра перед эндопротезированием?
    Viacheslav Dumin 01 Август 2017, 01:41
    Что с коленным суставом? Судя по снимкам, можно предположить наличие гонартроза. Если это так, то абсолютно беспроигрышным вариантом представляется тотальное интрамедулярное замещение бедренной кости, гвоздь удаляется в эту же сессию. Имеем три в одном: искусственный тазобедренный сустав, искусственный коленный, риск перипротезного перелома исключён. Конечно вопрос бюджета

    http://www.implantcast.info/index.php?option=com_content&view=article&id=91:..&Itemid=0&lang=ru
    [ Ответить ]

    Re: Удаление стержня из бедра перед эндопротезированием?
    Viacheslav Dumin 01 Август 2017, 01:41
    Что с коленным суставом? Судя по снимкам, можно предположить наличие гонартроза. Если это так, то абсолютно беспроигрышным вариантом представляется тотальное интрамедулярное замещение бедренной кости, гвоздь удаляется в эту же сессию. Имеем три в одном: искусственный тазобедренный сустав, искусственный коленный, риск перипротезного перелома исключён. Конечно вопрос бюджета

    http://www.implantcast.info/index.php?option=com_content&view=article&id=91:..&Itemid=0&lang=ru
    [ Ответить ]

    Re: Удаление стержня из бедра перед эндопротезированием?
    Viacheslav Dumin 01 Август 2017, 01:41
    Что с коленным суставом? Судя по снимкам, можно предположить наличие гонартроза. Если это так, то абсолютно беспроигрышным вариантом представляется тотальное интрамедулярное замещение бедренной кости, гвоздь удаляется в эту же сессию. Имеем три в одном: искусственный тазобедренный сустав, искусственный коленный, риск перипротезного перелома исключён. Конечно вопрос бюджета

    http://www.implantcast.info/index.php?option=com_content&view=article&id=91:..&Itemid=0&lang=ru
    [ Ответить ]


    ( Ответить )

    Powered by Zope  Squishdot Powered MedLink
    Посетитель: 0000104
      "По форме правильно, а по существу - издевательство" В.И.Ленин
    ©2001-2019Orthoforum Coordinator.
    [ Главная | Отправить сообщение | Поиск | Админ ]