вверх
отправить
поиск
админ
главная
|
Перелом дистального отдела бедра |
 |
 |
 |
Отправлено Андрей 30 Июль 2017, 23:38
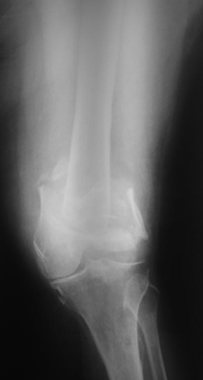
Перелом бедра у женщины 65 лет, случился 7 мес. назад( падение с высоты роста на колено) . Живет в деревне, лечил хирург, снимки ни разу не делали. Со слов больной после травмы в области коленного сустава была рана, долго заживала. Пациентка весит 120кг. В настоящее время передвигается в кресле коляске, правая нога не опорная.Снимки и внешний вид конечности прилагаются (свежие и единственные). Из сопутствующей патологии :ожирение 3ст, артериальная гипертензия и сахарный диабет 2тип, компенсация. Пациентка очень хочет самостоятельно передвигаться. Планируем выполнить артродез коленного сустава длинным штифтом( бедро-голень). Хотелось услышать ваше предложения и мнения по тактике, возможные варианты оперативного лечения.
<
|
>
|
|
Ответить
|
Re: Перелом дистального отдела бедра
Alexander Chelnokov 31 Июль 2017, 17:10
|
План выглядит подходящим. Хотя, может статься, что после наложения дистрактора и восстановления длины появится возможность сделать антеградный интрамедуллярный остеосинтез. Может быть, и нет. Длинные стержни мы заказывали на предприятии ЦИТО.
Эндопротезирование ревизионным имплантатом тут тоже вполне можно рассматривать.
|
[
Ответить ]
|
Re: Перелом дистального отдела бедра
Dumin 01 Август 2017, 01:04
|
Доброго времени суток! Если есть возможность, то лучше всего использовать этот имплант:
https://www.linkorthopaedics.com/ru/dlja-specialistov/produkcija/knie/revizionnoe-ehndoprotezirovanie/endo-model-rotacionnyi-i-sharnirnyi-ehndoprotezy-kolennogo-sustava/?и=
Каким образом сделать артродез-дело вкуса,можно и в аппарате Илизарова
|
[
Ответить ]
|
Re: Перелом дистального отдела бедра
Моховиков Денис 08 Август 2017, 15:15
|
Здравствуйте коллеги! Идея с артродезированием длинным стержнем мне видится достаточно перспективной, при отсутствии проблем с его изготовлением и инструментом для имплантации. Чрескостный остеосинтез аппаратом Илизарова принципиально возможен, но учитывая массу тела больной и перспективу гофрировки мягких тканей при артродезе весьма рискован (ИМХО).
|
[
Ответить ]
|
( Ответить )
|
|