AOTRAUMA.ORG Центр Илизарова  

Ортопедия и травматология Общие вопросы/General questions Help Информационные технологии в медицине
 вверх
 отправить
 поиск
 админ
 главная


Перелом у ребенка 2006г
Ортопедия и травматология Отправлено Сергей 10 Август 2017, 17:56
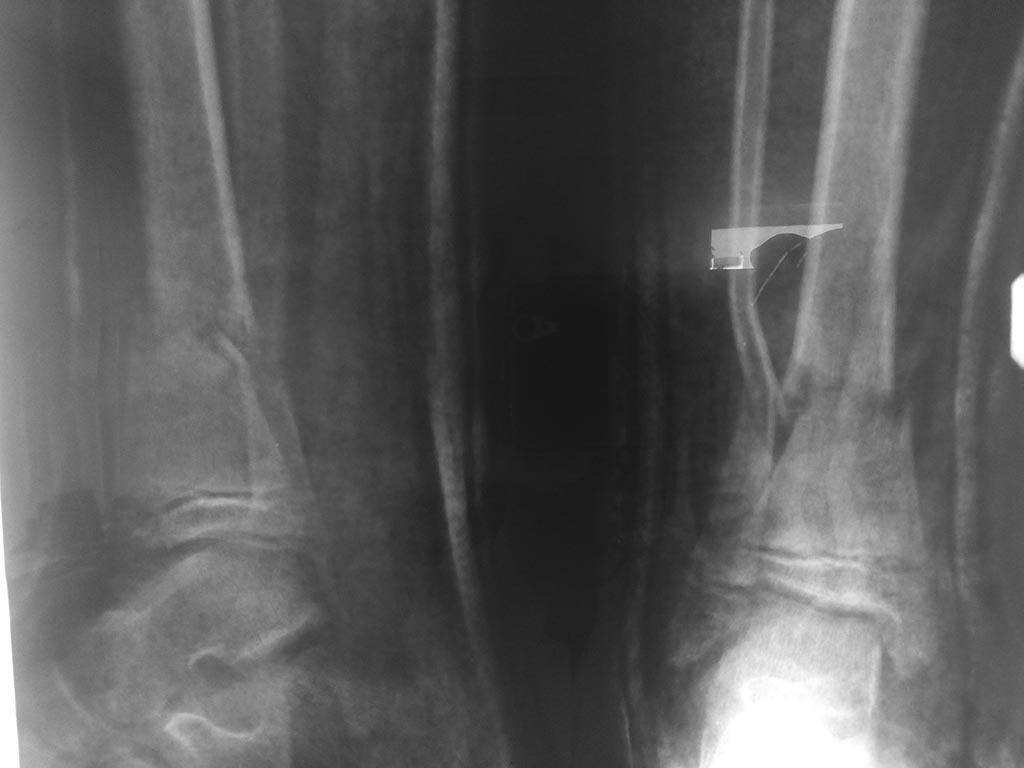
Допустимо ли стояние отломков касательно ребенка 2006г.


<  |  >

 

  • Сообщения о Ортопедия и травматология
  • Также Сергей
  • Связаться с автором
  • Ответить

    Re: Перелом у ребенка 2006г
    Сергей Тарасов 12 Август 2017, 00:26
    Здравствуйте. Допустимо. Если всё срастётся так, как есть и вторичного смещения не будет, то функция конечности страдать не будет.
    [ Ответить ]

    Re: Перелом у ребенка 2006г
    Роман 12 Август 2017, 02:38
    Абсолютно допустимо.Вторичное смещение не должно наступить.
    [ Ответить ]

    Re: Перелом у ребенка 2006г
    Виталий 12 Август 2017, 13:38
    Подрепонировать бы стоило, ось на 10 градусов кнаружи.
    [ Ответить ]

    Re: Перелом у ребенка 2006г
    Anatoly Lazarev 13 Август 2017, 10:37
    До 15 лет деформация 10-15 градусов корригируется спонтанно, если
    не заинтересованы зоны роста. Но все-таки ось лучше приблизить к нормальной.
    ЛАФ
    [ Ответить ]

    Re: Перелом у ребенка 2006г
    Paul 14 Август 2017, 09:31
    Согласен, есть, для данного случая, приемлемая ссылка на Котельникова. Но, имеется ступенеобразная деформация эпифиза, угловое смещение... Наряду с этим, сотни учёных, в неком городе Кургане, потратили годы. чтобы доказать и показать эффект от применения чрескостного остеосинтеза при таких повреждениях. Фиксация в аппарате 6 недель и результат будет совсем другой. Воистину - Нет пророка в своём отечестве!!!
    [ Ответить ]

    • Re: Перелом у ребенка 2006г
      Отправитель: Сергей Тарасов 14 Август 2017, 11:55
      Да-да. И ступенеобразная деформация, и угловое смещение до 10 градусов... Глаз больше будет радовать рентгенкартина без угловых смещений и ступенеобразных деформаций. И отрепонировать можно. И плюс к репозиции спицами фиксировать. И аппарат можно наложить. И пластиной открыто синтезировать обе кости. И TENы загнать. Много вариантов существует, как помучить ребёнка, дабы порадовать своё травматологическое ЧСВ.

      [ Ответить ]

     

    ( Ответить )

    Powered by Zope  Squishdot Powered MedLink
    Посетитель: 0177384
      "По форме правильно, а по существу - издевательство" В.И.Ленин
    ©2001-2019Orthoforum Coordinator.
    [ Главная | Отправить сообщение | Поиск | Админ ]