вверх
отправить
поиск
админ
главная
|
Артродез голеностопного сустава |
 |
 |
 |
Отправлено Abdurashid 18 Август 2017, 22:10
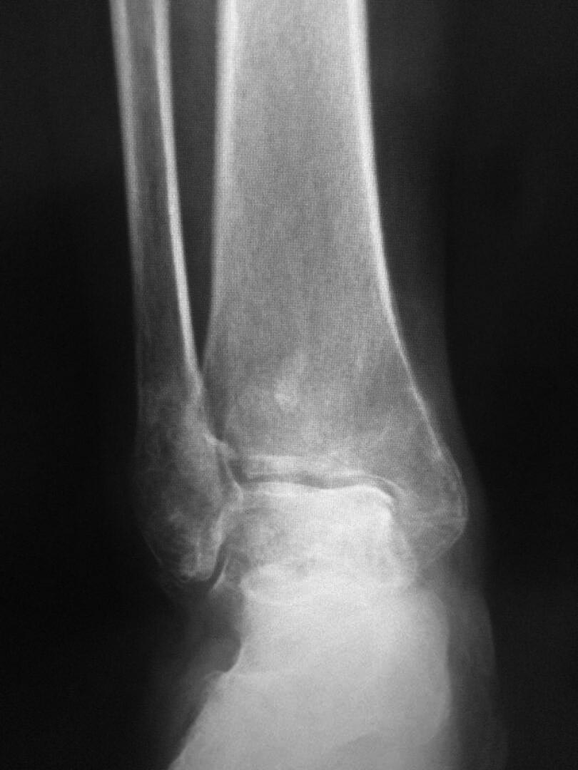
Пациентка 60л. 3 месяц назад получила травму г/стоп сустава: перелом обеих лодыжек, заднего края с подвывыхом стопы. Нигде не лечилась. Мне пригласили на консультацию в другую обл.. Все идет к артродезу. У нее еще сахарный диабет. Лет 10 назад я в Екатеринбурге видел как доктор Челноков сделал артродез г/стоп сустава закрытым способом с PFN ChM .Вот я тоже думаю об этом, но технику подзабыл, уважаемые коллеги может кто нибудь поможеть мне, или может сам Александр Николаевич поможет я очень надеюч на яваше помощь. С уважением Абдурашид
<
|
>
|
|
Ответить
|
Re: Артродез голеностопного сустава
Бережной Сергей 19 Август 2017, 12:16
|
Вы уверены,что А.Н. делал гвоздем артродез голеностопного сустава, а не голеностопного и подтаранного? Потому что лишать пациентку движений в здоровом подтаранном суставе когда нужно замкнуть только голеностопный - неправильно. К тому же нужно внимательно смотреть снимки. Если сохраняется подвывих стопы, его нужно будет устранять. И восстанавливать правильную ось конечности. Сумеете ли сделать это закрыто? Еще один важный момент - сросся ли перелом? Три месяца - небольшой срок для принятия решения об артродезе. Ходит ли пациентка наступая на ногу? Если не ходит - нужно прежде дать нагрузку. Что заставляет думать об артродезе? Сильные боли при ходьбе или рентгеновская картинка? Даже не имея снимков можно дать намного более информативное и понятное описание ситуации.
|
[
Ответить ]
|
Re: Артродез голеностопного сустава
АА 19 Август 2017, 16:36
|
На данном этапе только остеосинтез с тщательной реабилитацией и ранним восстановлением функции.
|
[
Ответить ]
|
Re: Артродез голеностопного сустава
Бережной Сергей 19 Август 2017, 19:42
|
Со снимками понятнее. С таким подвывихом не походишь. Я бы попытался выполнить репозицию и остеосинтез наружной лодыжки. А если не получится, можно сразу же ее резецировать и через открывшийся доступ к суставу удалить хрящевое покрытие, сопоставить суставные поверхности и произвести артродез винтами. Доступ к лодыжке небольшой, через него можно ввести пару винтов. А еще 2 через проколы мягких тканей на внутренней поверхности. Это достаточно малоинвазивный способ с сохранением подтаранного сустава. И дешевле намного.
|
[
Ответить ]
|
Re: Артродез голеностопного сустава
АА 19 Август 2017, 20:16
|
Уважаемые коллеги!
з-и месяца после травмы, о какой калечащей операции речь? Ключевая фраза "всё идёт к артродезу", вот когда придёт тогда и обсуждать, но до этого при правильно восстановленном суставе есть вероятность побегать лет надцать.
Спасибо.
|
[
Ответить ]
|
Re: Артродез голеностопного сустава
Alexander Chelnokov 19 Август 2017, 23:09
|
У пожилого пациента с нелеченным несколько месяцев тяжелым повреждением голеностопного сустава первичный артродез может быть вполне разумным вариантом.
Артродез с фиксацией PFN... чего-то не припоминаю. Идея, конечно, интересная :-)
Конечно, гвоздем можно делать таранно-берцовый артродез антеградно, никаких особых хитростей нет. Нужно только установить стопу с голенью в правильные взаимоотношения. И лучше не делать совсем закрыто, а хотя бы через небольшой доступ обработать суставные поверхности. И длинной ручной разверткой сверху сформировать в таранной кости канал для гвоздя. Ну и гвоздь надо с возможностью в таран ввести 2-3 винта.
|
[
Ответить ]
|
Re: Артродез голеностопного сустава
Alexey Semenistyy 20 Август 2017, 01:49
|
Думаю, уважаемый Abdurashid немного перепутал. Я знаю, что доктор Челноков любит всякие там цефало-медуллярные гвозди, но, вероятнее всего, вы видели артродез голеностопного и подтачанного суставов дистальным бедренным гвоздем. Похожее обсуждение было ровно 10 лет назад: http://weborto.net/forum/1175265544/index_html#1175314796
Существуют специальные гвозди для артроза г\ст сустава (они есть практически у всех производителей). Когда замыкание подтачанного сустава нежелательно, есть методики артродезирования только таранно-берцового сустава штифтом введенным антеградно.
Думаю, главный вопрос этого обсуждения не "чем", а "что и зачем".
Информации для продуктивного обсуждения маловато. Нет данных местного статуса, а что за диабет? каковы требования, ожидания пациентки? и т.д.
"Primus non nocere"
|
[
Ответить ]
|
Re: Артродез голеностопного сустава
Отправитель: Abdurashid 20 Август 2017, 22:09
|
Огромная благодарность всем! Больная находится в другом обл центре 2 дня назад я смотрел бегло, стопа слегка отечная, кожа чистая из-за боли не наступает, хочет наступаьт и ходить, даже если будут ограничения движений в суставах стопы. Действительно я мог перепутать, уже не помню, но у нас спец гвоздей нет, поэтому и обращаюсь, как делать бедренным или б/берцовым гвоздем лучше, антеградно или ретроградно, с захватом подтаранного сустава?
|
[
Ответить ]
|
Re: Артродез голеностопного сустава
Отправитель: KV 22 Август 2017, 16:17
|
Надо вам определиться - то ли каким-то образом помочь пациентке или пристроить стержень))
|
[
Ответить ]
|
Re: Артродез голеностопного сустава
Отправитель: Alexander Chelnokov 22 Август 2017, 18:14
|
А это непременно взаимоисключающие вещи?
|
[
Ответить ]
|
Re: Артродез голеностопного сустава
Отправитель: Бережной Сергей 22 Август 2017, 19:44
|
Речь, наверное, о том, что автор поста настроен на малоинвазивное и простое технически введение гвоздя. А нужно устранять подвывих стопы. Это уже не минимально инвазивная операция. И во многом преимущества гвоздя в этом случае теряются. К тому же без хорошего опыта сделать тараннобольшеберцовый артродез гвоздем сложно. Замыкание же и подтаранного сустава при полностью неустраненном подвывихе стопы может и вовсе привести к катастрофическому результатату.
|
[
Ответить ]
|
Re: Артрjoодез голеностопного сустава
Отправитель: Abdurashid 22 Август 2017, 22:47
|
Спасибо, коллеги , я все понимаю, что придется открыть сустав, устранить деформацию, исправить ось, почистить сустав, возможно фиксация и резецированной м/берцовой кости двумя винтами, и что это уже не малоинвазивная техника, все это понятно. Я что хочу - чтобы после операции долгое время не ходила в ггипсовой повязке, скорее начала ходить самостоятельно, быстрее наступила социальная и медицинская рреабилитация. Этого требует и больная! Единственно для фиксации использовать гвоздь и как это делать , если кто-то делал прощу поделиться. И все.
|
[
Ответить ]
|
|
( Ответить )
|
|