Ответить
|
Re: Хронический послеоперационный остеомиелит.
Paul 22 Август 2017, 10:42
|
Сложно предполагать при отсутствии элементарной информации. Возможно. при повторной ревизии найдёте участок омертвевшей костной ткани. Поэтому для повторной ревизии раны нужно подготовится: планировать замещение дефекта мышечным лоскутом, правильно оценить протяженность резекции костной ткани, выполнить внеочаговую фиксацию поврежденных элементов, пересмотреть медикаментозное лечение (не только антибиотики!!!), для туалета раны и лаважа использовать комбинированные антисептические растворы (водный хлоргексидин 0.04% - вряд ли поможет) и т.д.
|
[
Ответить ]
|
Re: Хронический послеоперационный остеомиелит.
Даниил 22 Август 2017, 11:04
|

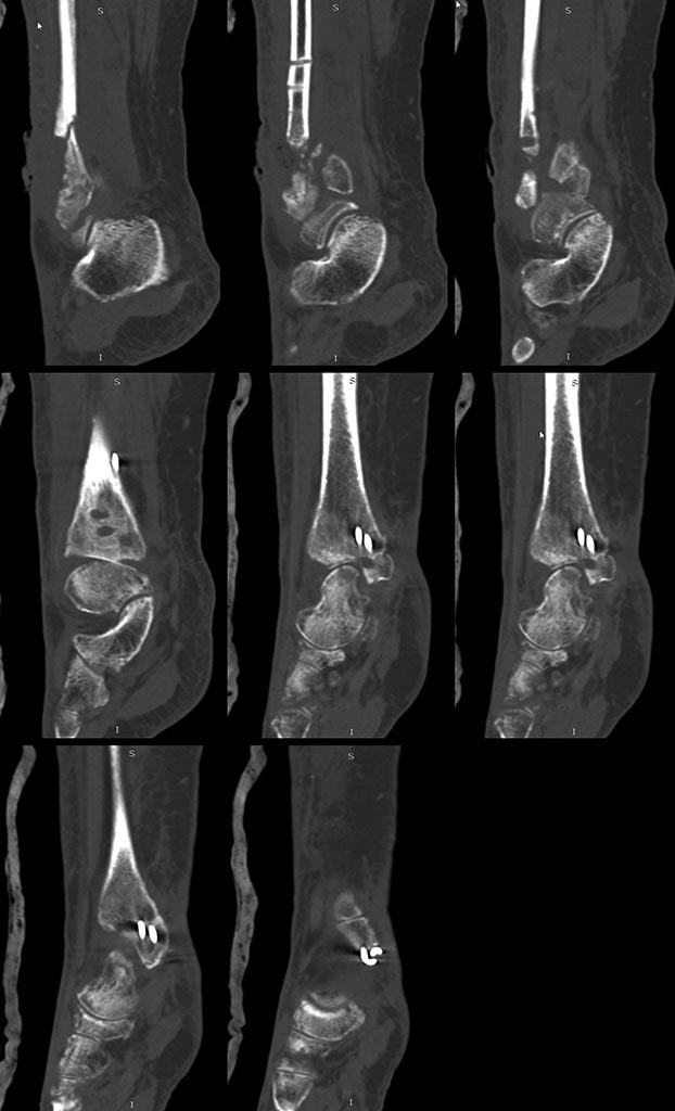
КТ
|
[
Ответить ]
|
Re: Хронический послеоперационный остеомиелит.
Отправитель: Paul 23 Август 2017, 12:47
|
1. Подвижность отломков - поддержит воспаление. Необходимо зафиксировать голеностопный сустав и проксимальнный отломок м/б кости в аппарате Илизарова.
2. Повторить фистулографию.
3. Нет ли сахарного диабета?
4. Ультразвуковое исследование сосудов конечности.
|
[
Ответить ]
|
Re: Хронический послеоперационный остеомиелит.
Отправитель: Даниил 23 Август 2017, 15:31
|
Спасибо! сделаем УЗДГ.
Сахарного диабета нет.
|
[
Ответить ]
|
|
Re: Хронический послеоперационный остеомиелит.
Alexander 26 Август 2017, 14:06
|
Здравствуйте, Даниил.
ИМХО: Сделайте фистулографию, вовлечен ли голеностопный сустав (на предоставленном фото трудно определить)? Не исключено, что инфекция может располагаться также в большеберцовой кости (позиционные винты). По данным обследования повторная санация:
-остеонекрэктомия м/б кости (не исключена резекция места несращения) а также б/б кости (с удалением МК);
-при вовлечении г/ст (большая вероятность) - дополнить артротомией с артродезом в АВФ;
-при интактном г/ст суставе, заполнение костных полостей после некрэктомии (одно-или -двухэтапно) при стабильности - не исключена гипсовая лонгета.
Удачи !
|
[
Ответить ]
|
Re: Хронический послеоперационный остеомиелит.
Даниил 31 Август 2017, 16:43
|
Спасибо огромное за советы!!!
Пациентка, к сожалению, покинула наше учреждение в поисках специалистов из столиц (а может, и не к сожалению)))).
Ваши советы , уверен, помогут мне и моим коллегам в дальнейшей работе (таких клиентов у нас немало)
|
[
Ответить ]
|
( Ответить )
|