AOTRAUMA.ORG Центр Илизарова  

Ортопедия и травматология Общие вопросы/General questions Help Информационные технологии в медицине
 вверх
 отправить
 поиск
 админ
 главная


Перелом голени
Ортопедия и травматология Отправлено Андрей 25 Август 2017, 21:33
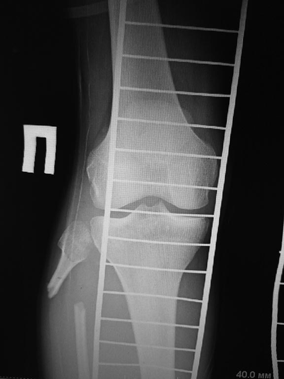
Добрый вечер уважаемые коллеги. Представляю Вам пациента 35 лет после кататравмы , которая случилась в декабре 2016 г.
Длительное время лечился в стационаре, множество повреждений поэтапно было оперировано.
Что касаемо голени, перелом был закрытый. Выполнена открытая адаптация отломков б/берцовой кости, комбинированный остеосинтез костей голени. Рана зажила первично.
В настоящее время пациент передвигается самостоятельно при помощи костылей, и из всех повреждений, вопрос с голенью остался не решенный.

Представляю вам снимки первичные при поступлении и голень в аппарате на сегодняшний день. Тактическое предложение следующее:
1 вариант, учитывая скомпрометированную суставную поверхность б/берцовой кости, выполнить ретроградно штифтом артодез с фиксацией перелома б/берцовой кости. Выполнить рассверливание и открыто не вмешиваться.
2 вариант) микрохирурги предлагают открыться на место перелома б/берцовой кости, удалить нежизнеспособную кость и выполнить трансплантацию м/берцовой кости с другой голени , на сосудистой ножке. Предложите свой вариант возможного оперативного вмешательства. Буду очень признателен.

<  |  >

 

  • Сообщения о Ортопедия и травматология
  • Также Андрей
  • Связаться с автором
  • Ответить

    Re: Перелом голени
    Алексей Семенистый 26 Август 2017, 03:23

    <Что касаемо голени, перелом был закрытый.>
    Верится с трудом, глядя на первичные снимки + механизм -кататравма... Ну да Бог с этим.

    Неполхо было бы ещё видеть и знать больше о состоянии мягких тканей на сегодня.
    Между первым, вторым и другими возможными вариантами стоит вопрос о жизнеспособности промежуточного фрагмента б/берцовой кости. Ведь не зря микрохирурги сомневаются в его жизнеспособности. Что даст закрытое шинирование + "артродез" (большеберцово-таранный?), если большой фрагмент не жизнеспособен? А остатки эпифиза жизнеспособны? Мы об их состоянии на сегодня ничего не знаем, по снимкам понять ничего нельзя.
    Вероятно, придётся делать протяжённую резекцию- удаление нежиснеспособных отломала кости, см 8-10, возможно всего дистального отдела б/берцовой кости. Как замещать дефект? Как фиксировать? А чем владеете? Какие ресурсы на месте? Пациент осознаёт все "тяготы и лишения" предстоящего лечения и сомнительный в плане восстановления функции результат?
    [ Ответить ]

    Re: Перелом голени
    Арзуманов Саркис Владимирович 26 Август 2017, 18:45
    Если дистальный эпиметафиз анатомичен и жизнеспособен при адекватных свойствах мягких тканей можно рассмотреть вариант билокального компрессионно-дистанционного э лечения в аппарате с резекцией сомнительного участка бберц кости и проксимальной остеотомией большеберцовой и малоберц кости для дистракции. Хорошо бы КТ голеностопного сустав увидеть.
    [ Ответить ]

    Re: Перелом голени
    Paul 28 Август 2017, 10:18
    Спицевой аппарат Илизарова уж больно "хлипенький". Скорее всего, нет должной стабильности. Нет стабильности - нет восстановления кровотока в промежуточных фрагментах. Возникает вопрос о их жизнеспособности (отсутствует периостальная реакция). Нужно начать с аппарата внешней фиксации!!!
    [ Ответить ]


    ( Ответить )

    Powered by Zope  Squishdot Powered MedLink
    Посетитель: 0000143
      "По форме правильно, а по существу - издевательство" В.И.Ленин
    ©2001-2019Orthoforum Coordinator.
    [ Главная | Отправить сообщение | Поиск | Админ ]