Ответить
|
Re: Несращение голени
Alexander Chelnokov 08 Сентябрь 2017, 17:38
|
Рост и масса тела каковы? А что клинически сейчас? Идея с ранней осевой нагрузкой реализовалась? Боль при ходьбе? Хромота? Амплитуда движений в голеностопном суставе?
Вариант с пластиной и освежением выглядит уж совсем чрезмерным.
Перфорации по Беку как-то... IMHO не очень что-то меняют.
Может, начать просто с удаления двух верхних винтов?
И можно увидеть самые недавние снимки с бОльшим разрешением?
|
[
Ответить ]
|
Re: Несращение голени
Отправитель: maxim agalakov 08 Сентябрь 2017, 18:19
|
может еще один из нижних, тот, который может помешать динамизации?
|
[
Ответить ]
|
Re: Несращение голени
Отправитель: Шепета Олег 08 Сентябрь 2017, 22:58
|
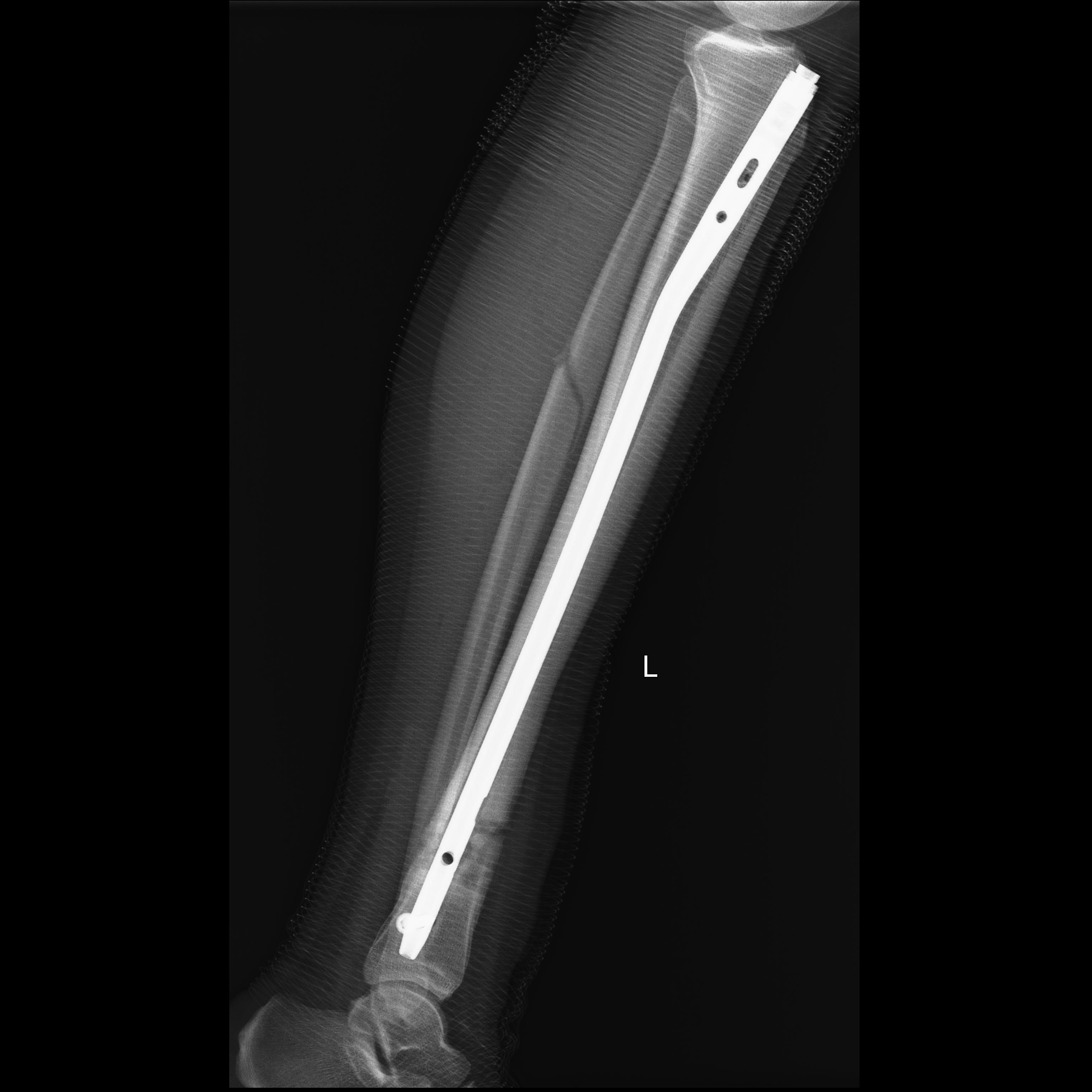
Рост порядка 165-170, вес до 60 кг, индекс массы не превышен (по крайней мере при внешнем осмотре подкожно жировая клетчатка развита умеренно)
Осевая нагрузка по рекомендациям начата через месяц от травмы и постепенно до 2 месяцев доведена до полной. Локального дискомфорта или болевого синдрома не наблюдалось на всем периоде увеличения нагрузочного режима
На сегодняшний день небольшая болезненность по медиальной поверхности в проекции перелома при пальпации. И еще - при длительной ходьбе боль может проявиться более остро и длится до конца дня (со слов)
Ограничения движений в суставе не определяется.

Оригинальные снимки
|
[
Ответить ]
|
Re: Несращение голени
Отправитель: Alexander Chelnokov 10 Сентябрь 2017, 00:49
|
И запоздалая динамизация может дать эффект. И действительно, ближайший к перелому дистальный винт может быть распоркой. Убрать бы и его.
Вообще, интересно, почему в 13 лет при исходно вроде неплохом контакте отломков и закрытом (а был точно закрытый?) остеосинтезе не срослось.
|
[
Ответить ]
|
Re: Несращение голени
Отправитель: Роман 11 Сентябрь 2017, 02:21
|
Уважаемый Александр Николаевич! Псевдоартроз похож на гипертрофический. Стабильности бы добавить или
"запоздалая динамизация может дать эффект"?
|
[
Ответить ]
|
Re: Несращение голени
Отправитель: Alexander Chelnokov 11 Сентябрь 2017, 20:59
|
Раз динамизации не было, то это сейчас самый малоинвазивный способ как-то попытаться повлиять на ситуацию.
Вообще, если есть такая возможность, я бы просто пересинтезировал. Отклоняющий винт тогда не до конца выполнил свою задачу, как мы видим - дистальный отломок остался смещен чуть латерально. Так что я бы убрал стержень, наложил спицевой дистрактор, ввел бы в проекции нынешнего канала гвоздя передне-задние спицы, 2-3 штуки, можно немного "лесенкой". Ручными развертками бы сформировал новый канал, мм на 5 поглубже. Попутно бы "освежив" отломки в зоне перелома.
И ввел бы этот же или подобный гвоздь. Надо добиться кортикальной аппозиции по латеральной стенке. Если нет убежденности, что после удаления отклоняющих спиц отломки не начнут соскальзывать по старой траектории, т.е. периферический латерально - то можно и ввести отклоняющие винты. И дастальнее перелома, и проксимальнее.
Ну и дальше, может, сразу бы запер динамически.
Подойдет здесь и обычный "диафизарный" гвоздь с 2 фронтальными и одним передне-задним отверстием. Будет с бОльшим числом отверстий - можно и его.
|
[
Ответить ]
|
Re: Несращение голени
Отправитель: Шепета Олег 11 Сентябрь 2017, 11:44
|
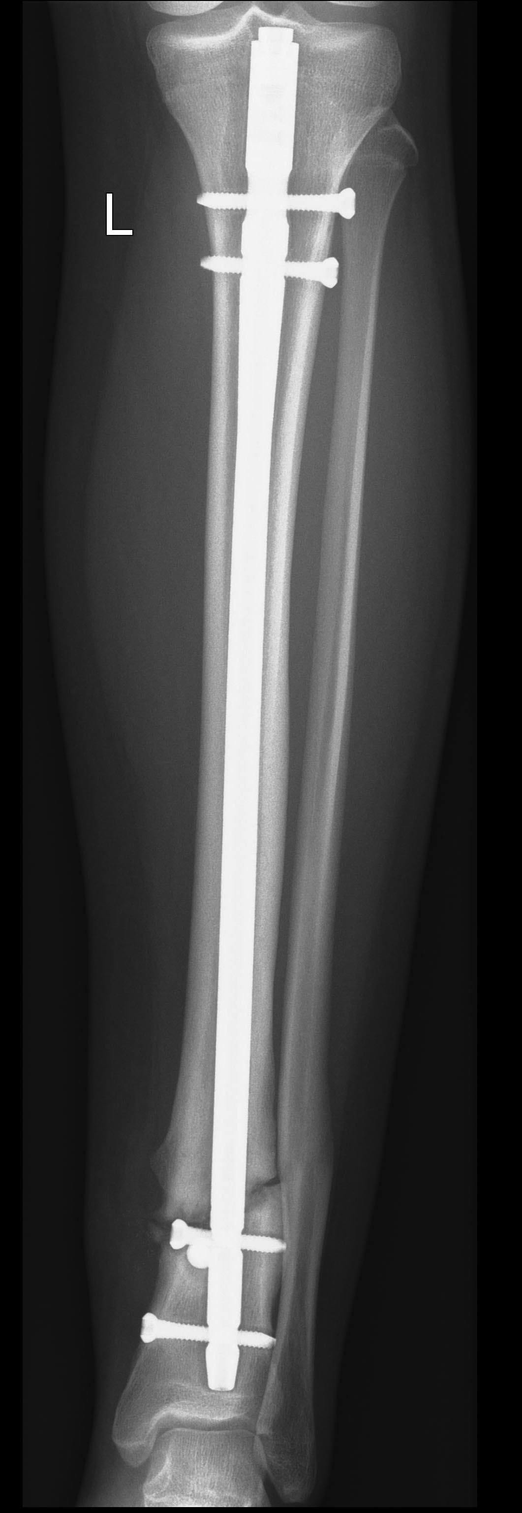
Репозиция была закрытой. Если детально - был выбран максимально толстый и длинный стержень после римминга канала вручную (9*345мм), но самый обычный, не для дистального метафиза (возможно, и зря). При введении в канал было оценено избыточный варус, вследствии чего стержень удален из дистального отломка и введен после постановки направляющего поллера. Произведено дистальное блокирование, на фоне которого попытка увеличить компрессию частично достигнута выбиванием стержня и проксимальным блокированием. Ввиду ограничения ассортимента длин винтов блокирование было сделано с латеральной стороны, чтобы винты не слишком выступали под кожей.
Для меня подобная ситуация тоже из серии казуистических, именно поэтому нужен совет опытных специалистов, особенно в направлении нейлинга.
|
[
Ответить ]
|
|
Re: Несращение голени
KV 09 Сентябрь 2017, 20:53
|
А 13 летнему пациенту совесть медицинская позволяет внутренний остеосинтез при возможности внешнего синтеза или консервативного лечения?
В данном случае, с пристроенным стержнем, надо обойтись динамизацией, а не думать, что бы еще пристроить.
|
[
Ответить ]
|
Re: Несращение голени
Отправитель: Олег Шепета 09 Сентябрь 2017, 23:47
|
Не исключаю Вашу правоту. Посчитал, что БИОС здесь уместен ввиду закрытых зон роста. Консервативное лечение не рассматривал ввиду смещения и нестабильности перелома. Накостный синтез посчитал вторичным методом в данном случае ввиду большей травматичности и ограничения в сроках по осевой нагрузке/восстановлению функции
Спасибо за совет
|
[
Ответить ]
|
Re: Несращение голени
Отправитель: Alexander Chelnokov 10 Сентябрь 2017, 13:29
|
Это уже давно вполне рутинный вариант оперативного лечения.
Surgical management options include [...] locked intramedullary nail fixation in the older adolescent with closed physis... https://www.ncbi.nlm.nih.gov/pubmed/16148360
|
[
Ответить ]
|
Re: Несращение голени
Отправитель: Анатолий 16 Сентябрь 2017, 16:55
|
+. Я убрал винты и наложил аппарат из 2 колец компрессию дал . недель через 6 все удалил. подобное видел и делал.
|
[
Ответить ]
|
|
Re: Несращение голени
Андрей 09 Сентябрь 2017, 22:07
|
Удаление стержня, удаление рубцов в зоне перелома, +/- костная пластика, стабилизация медиальной колонны пластиной. Удачи!
|
[
Ответить ]
|
Re: Несращение голени
Отправитель: Олег Шепета 09 Сентябрь 2017, 23:49
|
Вы предложили, как и большинство моих коллег, большую полноценную травматичную операцию. Я не отклоняю ее, но вот незадача - действительно метод БИОС можно считать не сработавшим в данном случае - или можно попытаться все-таки подправить ситуацию? Интересен именно такой опыт - лечение на фоне БИОС, не меняя метод в корне.
Спасибо за Ваш совет
|
[
Ответить ]
|
|
Re: Несращение голени
Александр 09 Сентябрь 2017, 23:50
|
Насчет выбора стержня у 13-летнего ребенка вопрос конечно уже риторический.. А винты проксимально с латеральной стороны с какого перепугу? Убирайте их -пусть походит - потом посмотрите.
|
[
Ответить ]
|
Re: Несращение голени
Отправитель: Олег Шепета 10 Сентябрь 2017, 00:11
|
По винтам сделал специально, чтобы не выступали под кожей. Согласен, наверное неоправданный риск для малоберцового нерва. Спасибо за замечание. Но, к случаю, не один я так делаю (это не оправдание)
http://www.ijoonline.com/viewimage.asp?img=IndianJOrthop_2016_50_2_201_177584_f1.jpg
Спасибо за совет
|
[
Ответить ]
|
Re: Несращение голени
Отправитель: Alexander Chelnokov 10 Сентябрь 2017, 02:00
|
Нет тут риска для малоберцового нерва, он кзади расположен. Переднюю группу мышц только травмировать.
Винты с такой формой шляпки и выступают не сильно. Да и лучше уж выступали бы - удалять легче. Ведь надо будет в 13-то лет.
|
[
Ответить ]
|
|
Re: Несращение голени
Роман 10 Сентябрь 2017, 00:01
|
Если в "приоритете косметика"-нужно было лечить консервативно, а полная нагрузка через 2 мес- не есть "ранняя осевая нагрузка" для ребенка 13лет.Сейчас удалить дистальные винты и больше не улучшаться. Меня больше интересует почему не наступило сращение за 8 мес,ведь в таком возрасте ето просто исключительный случай. Может репозиция была открытой,или воспаление в прекции дистальных винтов? Как Вы думаете?
|
[
Ответить ]
|
Re: Несращение голени
Отправитель: Олег Шепета 10 Сентябрь 2017, 00:37
|
Консервативно - значит на вытяжении, насколько мне понятно. Функциональный брейс по Сармиенто посчитал сомнительным в данном случае ввиду нестабильного перелома со склонностью к варизации (даже при нейлинге были трудности, поэтому и введен поллерный винт). Репозиция была закрытой, на стержне. Воспаление не наблюдал. Для меня несращение тоже является казуистикой, именно по той причине и прошу совета.
По поводу нагрузки - может я не правильно изъяснился, ребенок восстановил нагрузку до полной к 2 месяцам после операции - какой из альтернативных методов позволил бы подобный прогноз?
https://drive.google.com/open?id=0BxWWtHTP-MB-cGlYb0xlRVhMNGc
|
[
Ответить ]
|
Re: Несращение голени
Отправитель: Роман 10 Сентябрь 2017, 00:58
|
Консервативно-значит гипсовой повязкой( с корекцией перелома под наркозом,с контролем в гипсе вторичного смещения(обычно как раз рекурвация,а не варус) через 6-7 и 13-14 дней)
|
[
Ответить ]
|
Re: Несращение голени
Отправитель: Ниязов Нияз 10 Сентябрь 2017, 19:16
|
Почему сразу вытяжение? Согласен с Романом, отломки стояли неплохо только угол подправить под наркозом и лонгетная повязка, через 10-14 дней подправить в циркулярной повязке. Ощущение такое что перелом на фоне костной кисты, возможно ошибаюсь но похоже.
проверьте на теле нет случайно пятен цвета кофе с молоком?
|
[
Ответить ]
|
Re: Несращение голени
Отправитель: Шепета Олег 11 Сентябрь 2017, 11:37
|
Закрытую репозицию посчитал сложной и неоправданной как из-за варуса, так и возможной остаточной антекурвации/рекурвации, как подсказывает коллега Выше. А брать каждые 7-10 дней на повторную репозицию лично для меня - признак дурного тона (хотя сейчас уже не знаю, намного сложнее родителям объяснить, почему не сработал стержень, и нужна замена метода - новый стержень/пластина/аппарат и прочее)
Насчет пятен - больших нет, но все тело ребенка укрыто веснушками рыже-коричневого окраса - если это что-то значит.
По поводу кисты - признаков на рентгене патологического перелома не увидел, сам перелом получен при катании на лыжах, поэтому механизм травмы вполне прогнозирован
|
[
Ответить ]
|
|
Re: Несращение голени
Роман 10 Сентябрь 2017, 00:04
|
Если в "приоритете косметика"-нужно было лечить консервативно, а полная нагрузка через 2 мес- не есть "ранняя осевая нагрузка" для ребенка 13лет.Сейчас удалить дистальные винты и больше не улучшаться. Меня больше интересует почему не наступило сращение за 8 мес,ведь в таком возрасте ето просто исключительный случай. Может репозиция была открытой,или воспаление в прекции дистальных винтов? Как Вы думаете?
|
[
Ответить ]
|
Re: Несращение голени
Дмитрий 10 Сентябрь 2017, 02:21
|
Доброго времени суток! Попробовать удалить все винты, кроме дистального и остеотомию малоберцовой кости.
|
[
Ответить ]
|
Re: Несращение голени
Anatol 10 Сентябрь 2017, 22:37
|
Удалить все винты кроме дистального, косая остеотомия малоберцовый кости нагрузка полная сразу после операции, рентгенконтроль через 2 месяца. при отсутствии эффекта компрессия аппарате Илизарова из двух колец
|
[
Ответить ]
|
Re: Несращение голени
Андрей 10 Сентябрь 2017, 23:15
|
Добрый вечер уважаемые коллеги. На мой взгляд , причина несращения в нестабильности фиксации( проксимальный блокируемый винт в дистальном отделе штифта стоит прямо в переломе, так же как винт поллер. На контрольных снимках видна резорбция вокруг штифта и дистальных винтов. Вариант БИОС уже состоялся и закончить лечение предлагаю тем же. Считаю необходимым, учитывая срок после операции,R-картину нестабильности фиксации, выполнить удаление всей конструкции с ручным "нежным римированием" и установкой низкопрофильного штифта , места там хватит для 3-х винтов, без всяких поллеров. Малоберцовую лучше остеотомировать и проксимально заблокировать штифт сразу в динамике. Думаю сработает.
Отпишитесь по результатам вашего плана и выполненной работы. Интересен результат.
|
[
Ответить ]
|
Re: Несращение голени
Отправитель: Alexey 11 Сентябрь 2017, 02:26
|
+1
Полностью согласен с Андреем и в анализе причины и в предлагаемой ревизионной тактике. Один (самый дистальный) блокирующий винт и один poller\blocking screw явно недостаточны, а проксимальный из дистальных блокирующих винтов, проведенный через зону перелома, не работает, более того, вреден самим своим присутствием между отломками. Blocking screw(s) могут дополнять, но не заменять стандартные блокирующие винты, коих для этого перелома лучше бы 3.
Вопрос к Андрею, а что такое "низкопрофильный гвоздь"?
|
[
Ответить ]
|
Re: Несращение голени
Отправитель: Шепета Олег 11 Сентябрь 2017, 11:54
|
Видимо Вы правы, так как мне коллеги на резорбцию точно так же указали, как недостаток механики в плане сращения.
Спасибо за Ваш совет
|
[
Ответить ]
|
|
Re: Несращение голени
Андрей 11 Сентябрь 2017, 10:12
|
Я имею ввиду, штифт типа эксперт у Синтеза( на сегодняшний день у разных фирм их очень много вариантов, все их названия и не упомнишь). Основной смысл чтобы дистально в штифте установить 3-4 винта.
|
[
Ответить ]
|
Re: Несращение голени
Отправитель: Alexander Chelnokov 11 Сентябрь 2017, 21:26
|
Нестабильности тут не видно, т.е есть проблема не в ней.
Что видим? "Распорку" на фоне остаточного смещения периферического отломка кнаружи. Так что для улучшения условий для сращения надо устранить эту "распорку", т.е. сделать динамизацию.
Если эта мера уже запоздала, то сделать реостеосинтез с устранением и остаточного смещения, и без создания "распорки". Ну и рассверлить.
Не видно необходимости увеличивать стабильность фиксации дистального отломка больше той, что есть сейчас.
|
[
Ответить ]
|
|
Re: Несращение голени
Mark Eidelmn 17 Сентябрь 2017, 20:11
|
Remove proximal screws
Cut fibula and after 6 weeks it will heel .
|
[
Ответить ]
|
Re: Несращение голени
Олег Шепета 19 Сентябрь 2017, 14:48
|

Удалили все, кроме нижнего, винты. Конечно, сделали остеотомию малоберцовой кости.
"освежили" по Беку зону перелома, ввели PRP
Рекомендована нагрузка до 2 недель на костылях с нарастанием до полной.
Контроль не совсем удачный.
Спасибо за Вашу помощь и поддержку, будем ждать...
|
[
Ответить ]
|
Re: Несращение голениosteotomy
Mark Eidelmn 25 Сентябрь 2017, 19:25
|
Yv Oleg ,
esli by ya delal osteotomy to vybral by uroven meghdu distal/mid third-its simply safer for peroneal nerve!
Please send follow up after 6 weeks
|
[
Ответить ]
|
Re: Несращение голени
Шепета Олег 01 Ноябрь 2017, 16:07
|
Контроль через 6 недель
Клинических жалоб нет, голень незначительно больше в объеме со здоровой стороной. Передвигалась с палочкой, режим нагрузки расширен до полного
https://drive.google.com/open?id=0BxWWtHTP-MB-YkpxM1hUbTlTalk
https://drive.google.com/open?id=0BxWWtHTP-MB-Vjh2bzhReVBWUG8
|
[
Ответить ]
|
Re: Несращение голени
Шепета Олег 25 Апрель 2019, 23:34
|
Контроль через год от последнего вмешательства. Перелом консолидирован. Спасибо за поддержку и критику
https://drive.google.com/open?id=1phS-iTPcrD2ZsFQ4AUF0PCseFF6SILX9
https://drive.google.com/open?id=1iT1k18Q-WFmr02dvkweD-yAQsBKM8s1H
|
[
Ответить ]
|
( Ответить )
|
|