AOTRAUMA.ORG Центр Илизарова  

Ортопедия и травматология Общие вопросы/General questions Help Информационные технологии в медицине
 вверх
 отправить
 поиск
 админ
 главная


Перелом шейки бедра - тактика лечения по данному перелому?
Ортопедия и травматология Отправлено Александр А. 24 Сентябрь 2017, 16:42
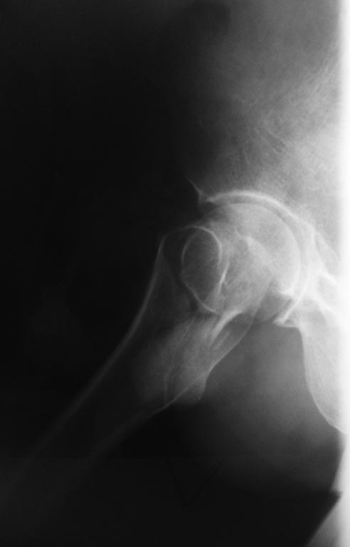
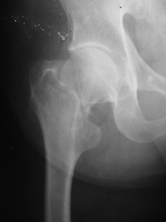
Уважаемые коллеги! Поступил пациент 60 лет с переломом шейки бедра спустя 6 часов - упал на улице. Был в алкогольном опьянении, сейчас нормальный. Тяжелой сопутствующей патологии нет.
Собираюсь сооперировать (винты). Со слов медперсонала и будучи на обходе увидел, что пациент спокойно встает с кровати , но без нагрузки, передвигается по отделению на коляске, в кровати лежит мало. Т.к. обычно все пациенты лежат с такой травмой, или максимум, что могут - это садиться, то интересует мнение, не приведет ли такая активность к дополнительной травматизации питания уже ишемизированной головки. Пациент поступил 22.09.17. И соответственно стоит ли оперировать? Пациент контактен, цель и суть лечения понимает.

<  |  >

 

  • Сообщения о Ортопедия и травматология
  • Также Александр А.
  • Связаться с автором
  • Ответить

    Re: Перелом шейки бедра - тактика лечения по данному перелому?
    Иван Седов 24 Сентябрь 2017, 21:58
    Какая-то непонятка... То "собираюсь сооперировать (винты)", то "и соответственно стоит ли оперировать"... Вы уже определитесь: оперировать вколоченный перелом или ограничиться рекомендациями... Удачи!
    [ Ответить ]

    • Re: Перелом шейки бедра - тактика лечения по данному перелому?
      Отправитель: Alexander Chelnokov 24 Сентябрь 2017, 22:20
      Здесь даже намека нет на вколоченный перелом.

      [ Ответить ]
    Re: Перелом шейки бедра - тактика лечения по данному перелому?
    Alexander Chelnokov 24 Сентябрь 2017, 22:06
    Это Garden III-IV, так что у пациента мужского пола в этом возрасте надежнее эндопротезирование. Если по каким-то причинам этот вариант недоступен, то остеосинтез лучше сделать хотя бы не винтами, а каким-то из fixed angle implants - PFN, DHS, Targon FN...
    [ Ответить ]

    • Re: Перелом шейки бедра - тактика лечения по данному перелому?
      Отправитель: Хаджи 25 Сентябрь 2017, 02:56
      Александр Николаевич интересует Ваше мнение, насчёт вальгизирующей остеототомии с фиксацией клинковой пластиной при таком переломе, повышает шансы на сращение? Или это актуально только для псевдоартрозов и несращений?

      [ Ответить ]
      • Re: Перелом шейки бедра - тактика лечения по данному перелому?
        Отправитель: Alexander Chelnokov 25 Сентябрь 2017, 10:48
        Было у нас несколько успешных наблюдений первичных межвертельных вальгизирующих остеотомий. Только в последние годы делали малоинвазивно, с фиксацией PFN, а не blade plate.


        [ Ответить ]
    Re: Перелом шейки бедра - тактика лечения по данному перелому?
    Paul 25 Сентябрь 2017, 13:48
    Не похоже на вколоченный перелом. Аксиальная проекция - красивая "художественная" иллюзия - хорошая.
    В остальном добавить нечего!
    [ Ответить ]

    Re: Перелом шейки бедра - тактика лечения по данному перелому?
    Mykola Horodyskyy 27 Сентябрь 2017, 23:42
    Теоретически больного надо оперировать и активировать побыстрей. Какой метод операции зависит от рентген снимков.
    Николай
    [ Ответить ]

    Re: Перелом шейки бедра - тактика лечения по данному перелому?
    Пивень Игорь МИхайлович 30 Сентябрь 2017, 00:14
    Уважаемый коллега. Рекомендую выполнить эндопротезирование тазобедренного сустава.
    [ Ответить ]


    ( Ответить )

    Powered by Zope  Squishdot Powered MedLink
    Посетитель: 0000307
      "По форме правильно, а по существу - издевательство" В.И.Ленин
    ©2001-2019Orthoforum Coordinator.
    [ Главная | Отправить сообщение | Поиск | Админ ]