вверх
отправить
поиск
админ
главная
|
Приобретенная косорукость |
 |
 |
 |
Отправлено Андрей 26 Сентябрь 2017, 19:23 госпиталь
Добрый день, подскажите пожалуйста с тактикой лечения. Женщина 55лет, 15 лет назад получила травму правого предплечья: скорее всего перелом правой лучевой кости с разрывом дистального радиоульнарного сочленения (?), за медицинской помощью не обращалась, вследствие чегоразвилось укорочение правой лучевой кости, возникла правосторонняя косорукость. 4.09.2017г. упала на правое предплечье, обратилась за медицинской помощью, на рентгенограмме:оскольчатый перелом правой лучевой кости с смещение осколков. Предполагаемая тактика лечения: 1.фиксация перелома лучевой кости аппаратом внешней фиксации с постепенной дистракцией отломков(1мм в сутки) закрыто, либо если дистракция закрыто не получится - открытая репозиция, остеотомия лучевой кости в области консолидирующего перелома, релиз рубцов дистальногорадиоульнарного сочленения.
2. Открытая репозиция перелома лучевой кости, ликвидация укорочения лучевой кости (получится лиодномоментно?) + возможная костная пластика, МОС пластиной, фиксация радиоульнарного сочленения кортикальным винтом. Извините за плохое качество рентген снимков(пациент не местный). Спасибо
<
|
>
|
|
Ответить
|
Re: Приобретенная косорукость
Alexander Chelnokov 26 Сентябрь 2017, 19:41
|
Приложено фото какого-то набора для внешней фиксации.
|
[
Ответить ]
|
Re: Приобретенная косорукость
Андрей 26 Сентябрь 2017, 22:18
|
Сейчас, прошу прощения
|
[
Ответить ]
|
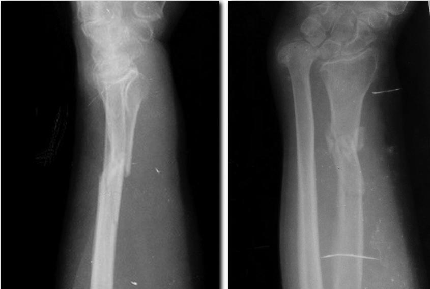
Re: Приобретенная косорукость
Андрей 26 Сентябрь 2017, 23:20
|

Рентгенограммы
|
[
Ответить ]
|
Re: Приобретенная косорукость
Антон 27 Сентябрь 2017, 01:13
|
Андрей! К вам больная обратилась по поводу перелома лучевой кости. Вы не сравнивайте эту травму со свежим повреждением Галеацци. Остеосинтез пластиной лучевой кости. С дистальным суставом сложнее. Что больную не устраивало 15 лет, что беспокоило: боли, слабость в кисти, снижение силы хвата? Удлинение лучевой проигрывает перед укорочением локтевой. Тыльное смещение суставной луча больше допустимого. Диссоциация DRUJ, повреждение TFCC. Вопросов много и решить их нужно до операции. С уважением.
|
[
Ответить ]
|
Re: Приобретенная косорукость
Андрей 27 Сентябрь 2017, 01:32
|
Добрый вечер, Антон. Спасибо за совет, согласен с Вами полностью. На данный момент больную беспокоит косорукость, ограничение движений в лучезапястном суставе, боль в области передплечья в области свежего перелома. Просто думал, что простой остеоситез лучевой кости не сможет решить её все(15 летней давности) проблемы. Почему она вовремя не обратилась 15 лет назад за помощью остается загадкой. Спасибо
|
[
Ответить ]
|
Re: Приобретенная косорукость
Отправитель: SAGo 27 Сентябрь 2017, 19:16
|
Срастите свежий перелом луча, а потом удаляйте головку локтевой кости с тенодезом. За 15 лет от дистального радиоульнарного сочленения уже ничего не осталось и делать там нечего, тем более фиксировать винтом. Мне так кажется.
|
[
Ответить ]
|
|
Re: Приобретенная косорукость
Андрей 28 Сентябрь 2017, 01:08
|
Добрый вечер, после сращения лучевой кости Вы предлагаете: "удаляйте головку локтевой кости с тенодезом", что Вы имеете в виду? Или лучше сделать резекцию локтевой кости в нижней трети и фиксировать её пластиной?
|
[
Ответить ]
|
Re: Приобретенная косорукость
Отправитель: SAGo 28 Сентябрь 2017, 22:26
|
Мне кажется, что предложенный вариант более простой и наиболее подходящий в этом случае. Если сделать просто укорочение локтевой кости,то низвести головку локтевой кости до уровня сигмовидной вырезки будет чрезвычайно трудно через 15 лет после травмы. Плюс ко всему, мы не знаем, что осталось от суставной поверхности головки локтевой кости и самой сигмовидной вырезки. Как удержать в послеоперационном периоде "восстановленное" дистальное радиоульнарное сочленение ( мы не представляем себе состояние связочного аппарата после 15 лет ). Можно сделать гемирезекцию головки и одновременное укорочение локтевой кости, но опять же, как удержать DRUJ, да и технически это выполнить довольно сложно. Можно сделать по Сауве-Капанджи, но опять же может быть импиджмент между лучевой и дистальной частью локтевой кости, как при операции Дарраха. Технически Сауве-Капанджи - не очень простая операция по сравнению с Дарраха ( резекция головки с тенодезом). Вот поэтому мне и кажется, что резекция головки с тенодезом - более простой и реальный выход из этой ситуации, но конечно же со своими нюансами. Почитайе и посмотрите главу, начиная со страницы 500, в книге Wolfe S.W. et al. (eds.). Green’s operative hand surgery. - 7th ed. - Philadelphia, PA: Elsevier, 2017. -2060 p. Там, кстати, написано: "For these reasons the Darrach procedure should be used
selectively. It may be useful in low-demand patients with severe DRUJ incongruity, arthritis, or ulnar impaction syndrome when an ulnar-shortening osteotomy or hemiresection arthro-plasty is unlikely to be successful." И еще. Не надо "наклонять" в ульнарную сторону суставную поверхность луча, чтобы после резекции головки не было ульнарной транслокации запястья. Сейчас на снимке вроде бы суставная поверхность стоит довольно прилично для операции Дарраха.
Удачи.
|
[
Ответить ]
|
|
Re: Приобретенная косорукость
Андрей 29 Сентябрь 2017, 23:03
|
Спасибо, Вам большое за содержательный ответ!
|
[
Ответить ]
|
Re: Приобретенная косорукость
Анатолий 03 Октябрь 2017, 17:40
|
Резекция головки локтевой. Фиксация в аппарате Илизарова. Постепенное удлинение луча и исправление беспокоящей ее деформации. Это 6-7 недель. А дальше посмотрите
|
[
Ответить ]
|
( Ответить )
|
|