AOTRAUMA.ORG Центр Илизарова  

Ортопедия и травматология Общие вопросы/General questions Help Информационные технологии в медицине
 вверх
 отправить
 поиск
 админ
 главная


Осложнения переломов лодыжек у пациента с сахарным диабетом
Ортопедия и травматология Отправлено Сергей 16 Октябрь 2017, 23:09 Минск БСМП
Уважаемые коллеги, прошу совета в определении дальнейшей тактики у пациента с осложнением перелома при сахарном диабете.


<  |  >

 

  • Сообщения о Ортопедия и травматология
  • Также Сергей
  • Связаться с автором
  • Ответить

    Re: Осложнения переломов лодыжек у пациента с сахарным диабетом
    Иван Краченко 17 Октябрь 2017, 14:03
    очень ёмко... из категории об остальном догадайтесь сами.
    [ Ответить ]

    Re: Осложнения переломов лодыжек у пациента с сахарным диабетом
    Сергей 17 Октябрь 2017, 15:59
    Соглашусь с коллегой.
    [ Ответить ]

    Re: Осложнения переломов лодыжек у пациента с сахарным диабетом
    Сергей 17 Октябрь 2017, 20:25
    Прошу Вас дать совет в плане дальнейшей тактики лечения.
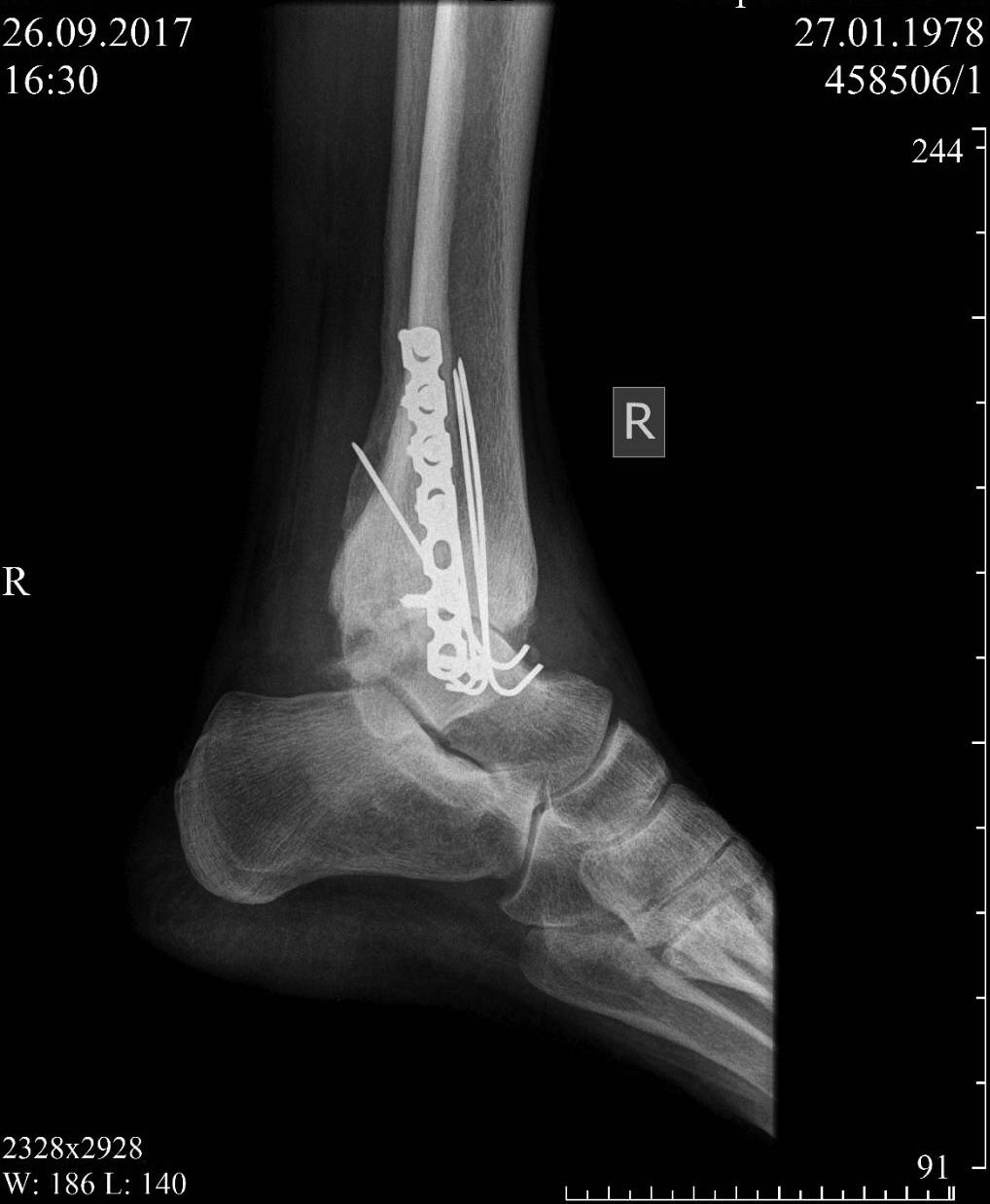
    39 летний пациент(с 8 лет страдает сахарным диабетом, I тип). Принимает инсулин(60ед сутки), с 2014г ХПН( без диализа).
    В декабре 2015 подвернул ногу( перелом н/3 малоберцовый кости). Лечился амбулаторно в одной из поликлиник неадекватно, так как вначале перелом не определили, а затем лечили в пластиковой Г-образной шине. Пациент ходил в этой шине с полной нагрузкой на ногу. В результате обратился к нам через 2, 5 месяца с переломом уже обеих лодыжек и подвывихом стопы кнаружи( синдесмоз не был поврежден). Обратился только потому, что его (не врача) смущала «кривая нога», боли особой не чувствовал. За все время лечения в поликлинике был сделан только один снимок. Но это предистория.
    Был нами прооперирован в марте 2016г( устранён подвывих,сустав стабилизирован пластиной -м/б кость и спицами- внутр.лодыжка).
    Важно отметить, что в области сустава кожа пигментирована, истончена...( нарушена трофика, осложнения диабета). Заживление п/о ран первичным натяжением.Иммобилизация гипсовым сапожком до 3 мес.В процессе лечения около года не было сращения внутренней лодыжки на 3х спицах(типа ложного сустава). Но пациент с момента снятия гипса до настоящего времени активно двигался, работал в ортезе, ничего не беспокоило.Около месяца тому назад появились боли к концу дня, отечность.
    На последнем снимке картина деструкции дистального метаэпифиза большеберцовой кости, протрузия таранной кости, формирующийся подвывих стопы,диабетическая остеоартропатия.Препараты кальция не принимал, не рекомендует нефролог в виду ХПН.
    И теперь дилемма- что делать? Есть мысль артродез (блокированным гвоздем).
    Или ждать естественного замыкания сустава, учитывая сахарный диабет с возможными осложнениями после активных интервенций?
    Очень хотелось бы узнать Ваше мнение.
    Спасибо.Снимки прилагаю хронометражно.




    [ Ответить ]

    • Re: Осложнения переломов лодыжек у пациента с сахарным диабетом
      Отправитель: Alexander Konovalov 18 Октябрь 2017, 00:52
      R-снимки в динамике покажите? ну и ногу внешне на сегодняшний день.

      [ Ответить ]
    Re: Осложнения переломов лодыжек у пациента с сахарным диабетом
    Сергей 18 Октябрь 2017, 02:10
    Спасибо. Постараюсь, что то не пропускает система фото.


    Был первоначальный, теперь промежуточный.





    С трудом, но шлет по одному( с телефона, нет возможности форматировать) Ну и ещё один свежий(боковая проекция).



    [ Ответить ]

    Re: Осложнения переломов лодыжек у пациента с сахарным диабетом
    Иван 18 Октябрь 2017, 12:35
    Типично не устранено укорочение наружной лодыжки, Думаю, наиболее реалистичный сценарий - артродез в перспективе (ибо уже таранной костью разрушена суставная поверхность тибии). Гвоздем артродез не советую.

    Если бы это был сейчас мой пациент и хорошее состояние тканей - попытался бы реконструкцию (удлинить)наружной лодыжки сделать, реостеосинтез внутренней лодыжки (стараюсь винтом-винтами). Попытка пластики суставной поверхности тибии.
    Вел бы без гипса, костыли, движения без нагрузки. Нагрузка через 2-3 мес. (Ожирение???)

    [ Ответить ]

    Re: Осложнения переломов лодыжек у пациента с сахарным диабетом
    Дедок 18 Октябрь 2017, 22:45
    Сергей, причина проблем в данном случае очевидна. О ней, если хотите, в личку. Выход, однозначно, артродез.
    [ Ответить ]

    • Re: Осложнения переломов лодыжек у пациента с сахарным диабетом
      Отправитель: Сергей 18 Октябрь 2017, 23:25
      Da,спасибо. Karpuchik1972@gmail.com

      [ Ответить ]
    Re: Осложнения переломов лодыжек у пациента с сахарным диабетом
    Сергей 18 Октябрь 2017, 23:20
    Да, пожалуйста .
    [ Ответить ]

    Re: Осложнения переломов лодыжек у пациента с сахарным диабетом
    Сергей 23 Октябрь 2017, 02:45
    https://youtu.be/SE0MxqUlSuI Хорошая лекция по теме
    [ Ответить ]


    ( Ответить )

    Powered by Zope  Squishdot Powered MedLink
    Посетитель: 0394122
      "По форме правильно, а по существу - издевательство" В.И.Ленин
    ©2001-2019Orthoforum Coordinator.
    [ Главная | Отправить сообщение | Поиск | Админ ]