Ответить
|
Re: Помогите определиться с тактикой. Hallux valgus и не только.
Бережной Сергей 24 Октябрь 2017, 02:11
|
Денис, а Вы не могли бы кроме обозначения углов сформулировать диагноз или назвать деформацию, которую хотите прооперировать "по-настоящему"? И может быть короткий план предполагаемого вмешательства напишете? Хочется понять ход Ваших мыслей.
|
[
Ответить ]
|
Re: Помогите определиться с тактикой. Hallux valgus и не только.
Отправитель: Денис Магсумов 24 Октябрь 2017, 12:28
|
Глубокоуважаемый Сергей Юрьевич! Сделать как хочет больная (исправить деформацию 5 пальца и устранить бурсит 1 ПФС), на мой взгляд и с большой степенью вероятности означает получить рецидив через 2-3 года. Поэтому думаем выполнить операцию по ниже предложенному плану. Начнем, я думаю, с устранения отклонения 2 и 3 плюсневых костей через доступ во втором межплюсневом пространстве, остеотомия проксимальная и фиксация спицами с одновременным устранением отклонения 2 и 3 пальцев и их фиксацией спицами. Далее переходим на 1 плюсневую. Тут пока вопрос: делать медиальный плюснеклиновидный артродез или клиновидную проксимальную остеотомию, фиксировать винтом и 1 палец трансартикулярно спицей. Сесамовидные снизу, поэтому насчет латерального релиза не уверен. В завершение устранение деформации 5 пальца. Здесь пока склоняемся к резекции основной фаланги.
|
[
Ответить ]
|
|
Re: Помогите определиться с тактикой. Hallux valgus и не только.
Шведовченко Игорь Владимирович 24 Октябрь 2017, 11:20
|

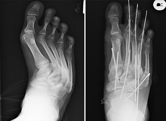
Полностью поддерживаю вопрос господина Бережного и в качестве иллюстрации предлагаю вот такое изображение.
|
[
Ответить ]
|
Re: Помогите определиться с тактикой. Hallux valgus и не только.
Отправитель: Денис Магсумов 24 Октябрь 2017, 12:05
|
Предварительный план следующий: устранить отклонение 2 и 3 плюсневых костей (проксимальная остеотомия) с фиксацией спицами, медиальный плюснеклиновидный артродез и устранение молоточкообразной деформации 5 пальца (резекция основной фаланги) с трансартикулярной фиксацией.
|
[
Ответить ]
|
|
Re: Помогите определиться с тактикой. Hallux valgus и не только.
Бережной Сергей 24 Октябрь 2017, 22:30
|
Хорошо, что Вы понимаете, что речь идет о metatarsus adductus. Судя по ранее выполненной операции, предыдущий хирург не был знаком с особенностями этой разновидности деформации. И план Ваш правильный. Хотя, как и для любой деформации стопы, всегда существует несколько решений одной и той же задачи. Но главная задача здесь - сделать как хочет пациентка или как интересно Вам? Вы пишете, что если ограничиться ее пожеланиями, через короткое время наступит рецидив. Рецидив чего? Молоткообразной деформации 5 пальца? Или гигромы? Сделайте так, чтобы не наступил. А деформация медиальных лучей есть сейчас. Если ее не трогать, так она и не рецидивирует. Получается, что измученная четырьмя предыдущими операциями пациентка наконец вычленила наиболее болезненные точки и решилась еще на одну операцию, чтобы добиться какого-то пусть и не идеального, но относительно безболезненного состояния. А Вы ее уговорите на очередное глобальное вмешательство. Таких пациенток ведь множество обращается. Которым сказали, что давайте оперировать 2 стопы, когда болела одна. Потому что и та когда-нибудь заболит. А в результате начинают болеть обе. Или еще на что-то уговаривают с последующими непредвиденными последствиями.
Потребность в повторных операциях после первичных вмешательств на переднем отделе стопы достигает 20%. А может и больше. А после повторных - намного больше. Даже если Вы все правильно теоретически представляете и сможете воплотить желаемое на практике, вероятность получить негативный результат все равно останется высокой. Я глубоко убежден, что в подобной ситуации нужно идти на поводу у пациентки.
|
[
Ответить ]
|
Re: Помогите определиться с тактикой. Hallux valgus и не только.
Отправитель: Денис Магсумов 25 Октябрь 2017, 00:31
|
Глубокоуважаемый Сергей Юрьевич! Спасибо за высказанное конструктивное мнение. Я Вас услышал. Изначально не было особого желания сделать операцию "ради операции". Потому и дилемма в голове. Еще раз огромное спасибо!
|
[
Ответить ]
|
|
Re: Помогите определиться с тактикой. Hallux valgus и не только.
Gurgen Bakhtamyan 01 Ноябрь 2017, 01:07
|
Так что же все-таки выбрали?
|
[
Ответить ]
|
Re: Помогите определиться с тактикой. Hallux valgus и не только.
Отправитель: Денис Магсумов 01 Ноябрь 2017, 15:37
|
Я повторно побеседовал с больной. Объяснил ей все более или менее подробно. Она настаивает на удалении "шишки" в области 1 ПФС и устранении молоточкообразной деформации 5 пальца. На этом и остановились, сейчас обследуется в плане предоперационной подготовки.
|
[
Ответить ]
|
|
( Ответить )
|