AOTRAUMA.ORG Центр Илизарова  

Ортопедия и травматология Общие вопросы/General questions Help Информационные технологии в медицине
 вверх
 отправить
 поиск
 админ
 главная


у кого какие мнения по тактике диагностики и лечения боли в лучезапястном суставе?
Ортопедия и травматология Отправлено вадим 29 Ноябрь 2017, 21:11
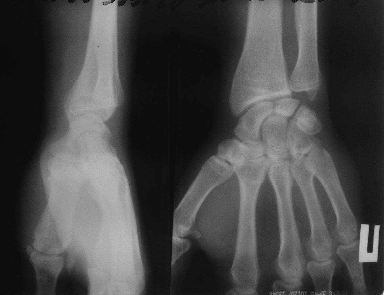
мужчина 32 лет беспокоят боли в правом лучезапястном суставе.
6 месяцев назад появились боли при движении в правом лучезапястном суставе при физических нагрузках ( отжимания) постепенно боли усилились. Боль локализована в проекции шиловидного отростка локтевой кости, в покое боли нет.

На данный момент движения резко ограничены. проходил два курса лечения ( НПВС , МАГНИТ, мази, сероводородные ванны) - никакого эффекта, только ухудшение. Я третий травматолог к которому он обратился.

На свежем снимке похоже импрессия трехгранной кости?? направлен на МРТ. что может быть? как лечить? блокаду гормоном не предлагать)

<  |  >

 

  • Сообщения о Ортопедия и травматология
  • Также вадим
  • Связаться с автором
  • Ответить

    Re: у кого какие мнения по тактике диагностики и лечения боли в лучезапястном суставе?
    Вадим 29 Ноябрь 2017, 22:59
    32 года ) факт травмы отрицает. При опросе вспомнил что десять лет назад носил гипс в течение месяца( как на луч в типичном месте ) Что было сломано не помнит.
    [ Ответить ]

    • Re: у кого какие мнения по тактике диагностики и лечения боли в лучезапястном суставе?
      Отправитель: Вадим 29 Ноябрь 2017, 23:05
      С реактивный белок 25 ревмафактор меньше 20 соэ 7 мочевая кислота 200, другие суставы особо не беспокоят есть хруст при движение в коленном слева и правом плечевом суставе боли нет .

      [ Ответить ]
      • Re: у кого какие мнения по тактике диагностики и лечения боли в лучезапястном суставе?
        Отправитель: SAGo 29 Ноябрь 2017, 23:57
        6 канал разгибателей? TFFC? Где пальпаторно боли локализуются или пальпация безболезненна?

        [ Ответить ]
        • Re: у кого какие мнения по тактике диагностики и лечения боли в лучезапястном суставе?
          Отправитель: SAGo 30 Ноябрь 2017, 18:30
          Опечатка: TFCC?

          [ Ответить ]
    Re: у кого какие мнения по тактике диагностики и лечения боли в лучезапястном суставе?
    anatol 30 Ноябрь 2017, 01:17
    Необходимо исключить подвывих головки локтевой кости (Эссекс-Лопрести?) Необходимо рентгенография обоих лучезапястных суставов в чётких прямой и боковой проекциях, при возможности, МСКТ. Не исключается артроз в зоне полулунно-головчатого сочленения (субхондральный склероз полулунной кости)
    [ Ответить ]

    Re: у кого какие мнения по тактике диагностики и лечения боли в лучезапястном суставе?
    Андрей Абрамов 30 Ноябрь 2017, 01:35
    Смотрите на удерживатель сухожилия локтевого разгибателя запястья (ECU subsheath) - при подвывихе сухожилия есть крайне высокий риск тендинита и стилоидита. Спасает только пластика.
    [ Ответить ]

    Re: у кого какие мнения по тактике диагностики и лечения боли в лучезапястном суставе?
    Денис Моховиков 30 Ноябрь 2017, 20:04
    Гемирезекционная артропластика по Bowers.
    [ Ответить ]

    • Re: у кого какие мнения по тактике диагностики и лечения боли в лучезапястном суставе?
      Отправитель: SAGo 30 Ноябрь 2017, 23:23
      По поводу чего гемирезекция?

      [ Ответить ]
    Re: у кого какие мнения по тактике диагностики и лечения боли в лучезапястном суставе?
    Anton Bekhterev 30 Ноябрь 2017, 22:43
    Ответом на Ваш вопрос может быть лекция по карпальной нестабильности. Слишком мало вводной информации. Поищите на VuMedi лекцию по боли в локтевом крае запястья. Пациент пускай пока не отжимается.
    [ Ответить ]

    • Re: у кого какие мнения по тактике диагностики и лечения боли в лучезапястном суставе?
      Отправитель: Anton Bekhterev 30 Ноябрь 2017, 22:45
      https://www.vumedi.com/video/ulnar-wrist-pain/?utm_campaign=Arthroscopic+Bankart%2C+Capsular+Plication%2C+and+Remplissage&utm_term=Extensor+Carpi+Ulnaris+Tendonitis&utm_content=Ulnar+Wrist+Pain&utm_source=USER+Hand+%26+Wrist_23355&mail_id=23355&utm_medium=Video&token=42d44ab5-864e-46bc-b421-a01c16b35558

      [ Ответить ]
    • Re: у кого какие мнения по тактике диагностики и лечения боли в лучезапястном суставе?
      Отправитель: Anton Bekhterev 30 Ноябрь 2017, 22:45
      https://www.vumedi.com/video/ulnar-wrist-pain/?utm_campaign=Arthroscopic+Bankart%2C+Capsular+Plication%2C+and+Remplissage&utm_term=Extensor+Carpi+Ulnaris+Tendonitis&utm_content=Ulnar+Wrist+Pain&utm_source=USER+Hand+%26+Wrist_23355&mail_id=23355&utm_medium=Video&token=42d44ab5-864e-46bc-b421-a01c16b35558

      [ Ответить ]

     

    ( Ответить )

    Powered by Zope  Squishdot Powered MedLink
    Посетитель: 0194476
      "По форме правильно, а по существу - издевательство" В.И.Ленин
    ©2001-2019Orthoforum Coordinator.
    [ Главная | Отправить сообщение | Поиск | Админ ]