ВХОД ДЛЯ ПАЦИЕНТОВ
вверх
поиск
админ
главная
|
Нужен совет - удалять ли из таза? |
 |
 |
 |
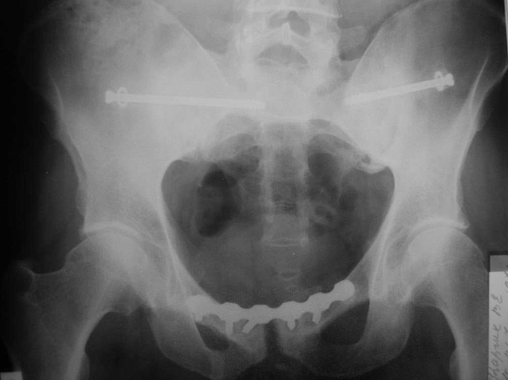
Прислано Михаил 30 Ноябрь 2017, 02:13
из
Доброго времени суток, уважаемые коллеги! Помогите советом.
Пациент 43 лет. Травма в ноябре прошлого года. Оперирован у нас в отделении. Послеоперационный период гладкий. В настоящий момент пациента ничего не беспокоит, вернулся к прежней тяжелой работе (промывальщик цистерн). Категорически настаивает на удалении металла. Проблема в том, что оперируем таз мы достаточно часто, а вот удалять не приходилось. Вопрос: стоит удалять, и если стоит, то не рано ли? Спасибо всем откликнувшимся.
Обратите внимание: Поля с жирными названиями обязательны.
Старайтесь отвечать в рамках обсуждаемой темы, а не начинать новые обсуждения.
Указывайте адекватную тему сообщения, чтобы было ясно, о чем оно.
Не послайте сообщений не по теме (оффтопик), раздраженных, грубых или обидных комментариев. Здесь это неуместно.
|